来源:北京清华长庚医院耳鼻咽喉头颈外科 | 2018-11-02 作者:李树杉 编辑:小米
男患54岁,1年半前曾行柯-陆氏切口左上颌骨肿物切除术。术后病理为左上颌骨造釉细胞瘤,半年前在原肿物上约1cm长出。

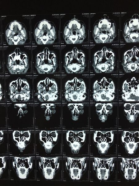
鼻窦CT

螺旋CT

切口

暴露肿物

切除肿物,电钻磨除骨质,保留眶底约1~2mm。

逐层缝合伤口,5个0可吸收线缝合伤口。

造釉细胞瘤易复发,原则上应行上颌骨全切,考虑到患者还比较年青,上颌骨全切后患者左眼视力必将逐渐丧失。本例手术得于振坤老师指导,在此致谢!手术可能存在不足,敬请同道批评指征。

声明: 所有注明“来源:医博士”的文字、图片和音视频资料,版权均属于医博士所有,转载须注明“来源:医博士”;所有转载文章系出于传递更多信息之目的,且明确注明来源和作者,不希望被转载的媒体或个人可与我们联系,我们将立即进行删除处理。