来源:医博士 | 2019-01-02 作者:刘雅丽 编辑:小米
基底细胞腺瘤在咽旁间隙中很难完全切除,目前的趋势是在安全和完全切除的前提下开发微创方法
基底细胞腺瘤(BCA)是一种罕见的良性涎腺肿瘤,其特征是同构的基底细胞。世界卫生组织将其分类为腮腺上皮性肿瘤的亚型,通常发生在腮腺,但远不及腮腺多形性腺瘤(PAs)和沃辛瘤(WT)常见,在腮腺良性肿瘤中排名第三。
由于咽旁间隙(PPS)周围解剖结构复杂,手术切除困难。到达PPS肿瘤的经典方法包括经颈部、经腮腺、经下颌及其组合,但是这些方法会造成相对较大的损伤并留下明显的面部疤痕。目前的趋势是在安全和完全切除的前提下开发微创方法。我们回顾性收集三例咽旁间隙的基底细胞腺瘤,完全经口途径切除。
病例1
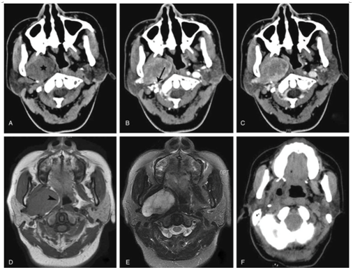
一位52岁的中国女性于2017年1月被送到耳鼻喉科门诊,主诉是喝草药酒后喉咙痛。体格检查显示右侧咽外侧壁肿胀,咽喉红肿,无异常分泌物或溃疡。口外检查肿胀、压痛或淋巴结肿大均隐形。增强型计算机断层扫描(CT)和磁共振成像(MRI)扫描显示右侧PPS主要为囊性肿块,直径为33mm。这种定位良好的肿块在静脉注射钆后表现为周边增强(图1)。

图1
患者在全麻下经口气管插管行经口肿瘤切除术。常规使用扁桃体切除术的位置。取出右扁桃体,切开口咽右外侧壁和部分咽上缩肌后,暴露出含有闪亮液体的肿块(图2)。术中冰冻切片显示肿瘤起源于涎腺上皮细胞,首先提示为BCA。然后,仔细分离肿瘤,发现它附着在腮腺外侧,但不附着在颈内动脉、颈静脉或任何神经上。手术时间60 min,无神经血管损伤。术中出血量为50mL,常规使用经验性抗生素预防术后感染。

图2
术后常规组织病理检查证实肿瘤为BCA(管型),局部生长活跃,包膜受侵。免疫组织化学检查显示肿瘤细胞角蛋白、钙调素(CP)、CD117阳性,胶质纤维酸性蛋白(GFAP)弱阳性。在基质中观察到S-100阳性染色(图3)。病人术后病程平稳,术后4天出院,无声音嘶哑、舌偏、颈部旋转困难或吞咽困难等颅神经病变。随访期至2017年12月无复发。

图3
病例2
一位48岁的中国女性于2016年4月来到耳鼻喉科门诊,她有间歇性右口咽部反复绞痛3个月的病史。体格检查显示右侧口咽侧壁隆起,无异常分泌物或溃疡。口外检查肿胀、压痛或淋巴结肿大隐性。随后的CT和MRI显示在右PPS中有椭圆形60×40毫米的肿块(图4)。

图4
在全身麻醉下,90分钟内通过经口途径切除肿瘤(图5)。

图5
在完全切除和止血后,使用内窥镜进一步评估残余腔(图6)。术中出血量为200mL,肿瘤较大,大小为60×40×30 mm,紧贴颈内动脉和颈静脉。被覆完整包膜,血管丰富,在手术过程中容易出血。

图6
术中冰冻切片显示肿瘤来源于涎腺。常规组织病理学检查显示包膜实性肿块,颜色为白灰色,由两层排列成筛状或管状的肿瘤细胞组成。免疫组化结果显示,CK(PAN)、p63阳性,SMA、CD43、GFAP阴性。S-100阳性肿瘤细胞阳性。某些肿瘤细胞对CP、CD117和CK18呈阳性反应。Ki-67弱染色,MIB-1指数低于10%。最终诊断为BCA,术后病程平稳,术后5天出院,无并发症。CT扫描在术后2周显示模糊的右PPS,没有残留病灶的迹象(图7),随访到2017年12月。
病例3
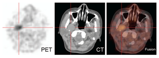
一位41岁的中国女性于2014年11月来到我们的耳鼻喉科门诊,她有2个月的咽异物感觉史。体检发现咽部轻微发红,肿胀、压痛或淋巴结肿大阴性。MRI显示在右PPS中有圆形和明确的肿块,大小为30×20μmm。由于有胃底类癌的病史,经胃镜取出后,建议病人接受18F-脱氧葡萄糖正电子发射断层扫描(18FDG PET)-CT检查,以区分转移性淋巴结与良性淋巴结。PET图像显示18FDG在右侧PPS中摄取增加,与CT上的肿块形状相对应(图7)。没有观察到胃底肿块或增加的摄取。无其他淋巴结、肺或肝转移明显。

图7
全麻下经口入路100分钟内切除肿瘤,肿瘤呈乳白色包膜,直径40×30mm。术中出血量为100mL。术中冰冻切片显示肿瘤起源于涎腺上皮细胞。常规组织病理学检查显示肿瘤由两层排列成管状和筛状结构的基底样细胞构成。最终诊断为BCA在右PPS。
手术顺利,术后第三天出院,无并发症发生。患者恢复良好,但报告轻度发音不清和夜间流涎直至手术后3个月,其后自发恢复。在2017年12月的随访中无复发。
小结
根据我们的经验,经口入路对于切除咽旁间隙中选定的基底细胞腺瘤似乎是有效的、安全的、且侵袭性较小的。内镜辅助有助于手术。
医博士编译自:Wu TT, Bao YY, Zhou SH, et al. Basal cell adenoma in the parapharyngeal space resected via trans-oral approach aided by endoscopy: Case series and a review of the literature. Medicine. 2018; 97(34):e11837. doi:10.1097/MD.0000000000011837.
声明: 所有注明“来源:医博士”的文字、图片和音视频资料,版权均属于医博士所有,转载须注明“来源:医博士”;所有转载文章系出于传递更多信息之目的,且明确注明来源和作者,不希望被转载的媒体或个人可与我们联系,我们将立即进行删除处理。