来源:医博士 | 2021-01-07 作者:小挪吒
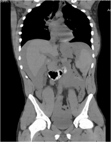
一名23岁男性患者因腹痛于我院急诊就诊,既往有酗酒史,入院前一天患者鼻内吸入可卡因,随即发生多次腹痛和呕吐。查体发现患者意识状态清醒,GCS评分15分,心率120次/分,血压105/55mmHg,腹膜炎迹象明显。行腹部CT检查提示腹腔内出血,脾破裂,如图1,图2。患者血红蛋白11mg/dL,尿液测试检测可卡因阳性,而患者并无任何外伤史。


图1、2 全腹CT提示:腹盆腔内大量出血,脾破裂
患者脾破裂,腹膜炎体征明显,有急诊手术指征,立即行急诊下剖腹探查术。术中发现腹腔内大量积血,依次探查腹部脏器,发现脾门处有出血灶,行脾切除术,术中失血量约1500ml,输入红细胞400ml及3500ml晶体,术后送往重症监护室。术后第三天,患者血红蛋白6.9g/dL,再次输入200ml血。术后第四天,患者转入普通病房,术后第八天,患者顺利出院。
可卡因可对脾的脉管系统产生影响,可抑制神经末梢释放去甲肾上腺素,从而导致肾上腺素反应,使心率增加,血管收缩明显。可卡因的血管收缩可导致终末器官的缺血及损伤,引起脾出血的原因可能是药物导致血管痉挛,血氧升高,血管破裂。
创伤是脾破裂常见的病因,而ASR很少发生,可能是由于可卡因的药物特性引起。临床医生应注意ASR的病因,及时诊断及处理,方能使患者预后良好。
医博士编译:Lee Ramos J, Farr M, Shin SH, et al. Atraumatic splenic rupture in young adult following cocaine use. International Journal of Surgery Case Reports. 2019; 65:168-170. doi:10.1016/j.ijscr.2019.10.081.
声明: 所有注明“来源:医博士”的文字、图片和音视频资料,版权均属于医博士所有,转载须注明“来源:医博士”;所有转载文章系出于传递更多信息之目的,且明确注明来源和作者,不希望被转载的媒体或个人可与我们联系,我们将立即进行删除处理。