来源:医博士 | 2021-01-13
大麻是美国国家药物监管局管控药物,但违法使用者甚多。大麻可缓解慢性疼痛,化疗引起的恶心,睡眠障碍等,随着使用量及使用人数的不断增加,相应的并发症人群逐渐增多,包括恶心呕吐,腹痛等症状。服用大麻的患者包分为两种,一种是医疗性,另一种为娱乐性(吸毒),通常发生并发症时于急诊科就诊,行腹部CT检查,发现部分患者发生肠套叠,但例数有限。本病案目的在于探究服用大麻和肠套叠的发生是否有直接或间接的关系,指导临床工作。
方法
回顾性分析了2016-2018年两家教学医院11例急性腹痛患者,均为使用大麻后引起的肠套叠,患者年龄范围18-38岁,多数患者表现为弥漫性腹痛,一半以上患者表现为肠梗阻症状,行腹部CT检查,均报告空肠肠套叠,如图1.2所示。两名患者行诊断性腹腔镜探查,一名患者行腹腔镜手术,其余患者行保守治疗,患者住院时间中位数2天,腹腔镜干预的患者住院平均时间2.5天,保守治疗的患者住院平均时间2.4天,具体患者人口统计学,临床表现及治疗过程如表1。

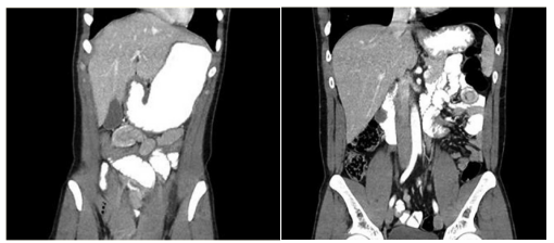
图1 一名24岁女性,腹部CT提示梗阻部位位于中腹部,肠套叠
图2 一名30岁男性 腹部CT提示梗阻位于左上腹,肠套叠

表1 患者人口统计学,临床表现,病例转归
讨论
大麻呕吐综合症发生于吸食大麻的烟民中,发病特点为顽固性恶心和呕吐,可行戒烟缓解。其细胞水平层面,大麻可与全身的G偶联受体(CB1和CB2)结合,产生相应的反应;在神经中枢方面,外源性的四氢大麻酚(THC)与中枢神经系统的CB1受体结合,可改变精神行为,引起胃肠道改变,呕吐等症状,而大麻可与内源性和外源性G偶联受体结合,可引起肠蠕动改变,甚至引起肠套叠改变。
结论
本研究中11例肠套叠患者均有一个共同特点,均使用过大麻,大麻酚可与肠道内G偶联受体结合,可能是引起肠套叠的病因,而治疗方法包括手术治疗及非手术治疗,但样本量过少,日后需对慢性烟民伴有空肠肠套叠患者进行随机临床试验研究,期待更有利的证据。
医博士编译:Kakish D, Alaoudi M, Welch B, et al. Small bowel intussusception in marijuana users. International Journal of Surgery Case Reports. 2020; 2020(9):rjaa335. doi:10.1093/jscr/rjaa335.
声明: 所有注明“来源:医博士”的文字、图片和音视频资料,版权均属于医博士所有,转载须注明“来源:医博士”;所有转载文章系出于传递更多信息之目的,且明确注明来源和作者,不希望被转载的媒体或个人可与我们联系,我们将立即进行删除处理。