来源:医博士 | 2021-01-15 作者:李胜佳
本病案介绍了一个PPMM的病例,总结了临床特征,诊断检查和PPMM的管理。
病例介绍
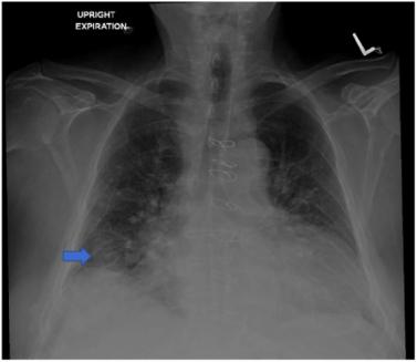
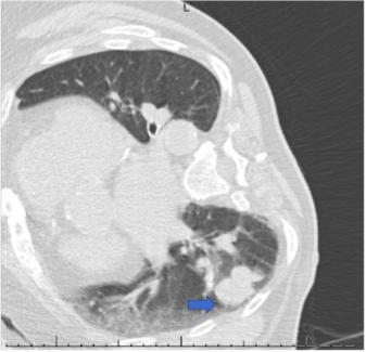
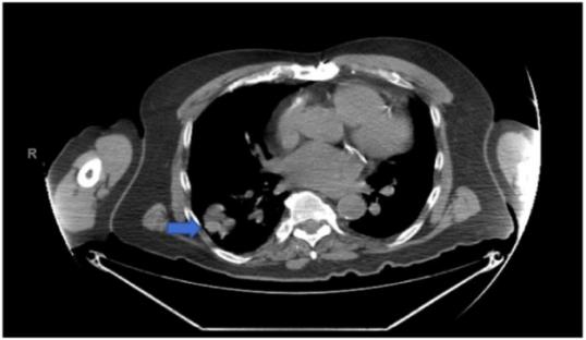
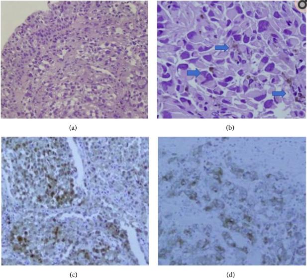
76岁男性患者,无吸烟史,有阻塞性睡眠呼吸暂停病史,接受选择性左膝全关节置换术。第二天,患者出现了非进展性连续咳嗽。胸部X线提示右肺结节状不规则阴影(图1)。胸部电脑断层扫描(CT)显示右下叶上段有一个3.2x2x4.3厘米的肿块和一个1.6厘米的颈下淋巴结(图2)。正电子发射断层扫描(PET)显示早期和延迟成像时右下叶都有活动(图3)。在身体其他部位未发现异常病灶。右下叶病变活检显示一个侵袭性,低分化,恶性黑色素瘤(图4)。患者出院后接受肺部药物治疗,两个月后接受选择性支气管镜下右下叶楔形切除术,进行淋巴结清扫和活检,并取呼吸道多处组织进行活检。最终,患者被诊断为3.7厘米的恶性黑色素瘤,边缘阴性,没有转移的迹象;因此,未发现化疗及放疗的指征。连续重复的CXR和CT扫描显示术后变化稳定,无复发迹象。到目前为止,在诊断后3年零8个月,病人继续每6个月随访一次,没有复发的记录。

图1. CXR图像。箭头:右下叶不规则肿块样阴影,无气胸、积液及实变迹象。

图2. 胸部CT。箭头:右下叶上段3.2x2x4.3厘米的肿块。

图3. PET扫描。箭头:右下叶肿块的代谢活动中度到强烈增加,无其他病灶异常迹象。

图4. HE染色(a)200x; (b)400x,肿瘤细胞位于支气管粘膜下,由上皮样肿瘤细胞组成,胞浆呈酸性,细胞核明显。很容易找到有丝分裂象。肿瘤细胞中的深棕色色素(箭头)。免疫组织化学检测,肿瘤细胞S-100和HBM 45呈阳性(c)和(d)。
在呼吸道中,恶性黑色素瘤很容易与常规的肿瘤混淆。尽管没有确定的危险因素,但非吸烟者原发性肺恶性黑色素瘤的发生率极少。迄今为止,文献中仅描述了两例。
由于其在支气管内的位置,PPMM经常表现出咳嗽,咯血,胸闷乏力,阻塞性症状如肺炎,大叶塌陷或肺不张的症状。疲劳,不适,夜间发汗的症状以及体重减轻及淋巴结肿大的症状也可能伴随临床表现。
状态,可能需要化学疗法或放射线治疗。近年来,生物化学疗法和免疫疗法已成为一种很有前途的治疗方法。完全手术切除是治疗的最佳选择;但是,取决于肿瘤的位置和/或转移状态,可能需要化学疗法或放射线治疗。近年来,生物化学疗法和免疫疗法已成为一种很有前途的治疗方法。
医博士编译自:Figueroa RF, Uddin A & Nasr J. Primary Pulmonary Malignant Melanoma Found While Evaluating New Onset Cough: A Case Presentation and Literature Review. Case reports in pulmonology. 2019; 2019:3867831. doi:10.1155/2019/3867831.
声明: 所有注明“来源:医博士”的文字、图片和音视频资料,版权均属于医博士所有,转载须注明“来源:医博士”;所有转载文章系出于传递更多信息之目的,且明确注明来源和作者,不希望被转载的媒体或个人可与我们联系,我们将立即进行删除处理。