来源:医博士 | 2021-01-19 作者:刘雅丽
一名19岁男子因过去两周内出现右髋疼痛及无法行走被送至急诊室接受评估。患者既往无行走困难,其病史包括歌舞伎综合征、肥胖症、发育迟缓、自身免疫性溶血性贫血、特发性血小板减少性紫癜和需要进行心脏直视手术的右心室双出口。我们的机构对病人进行了密切跟踪,包括内分泌学的评估。病人没有已知的内分泌失调。在没有发现任何内分泌紊乱的情况下,进行了全面的实验室和遗传学研究。体检时,患者右腿外旋。右髋的任何运动都会引起剧烈的疼痛和保护动作,限制了检查。患者使用拐杖页无法走动。
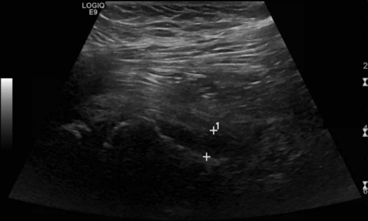
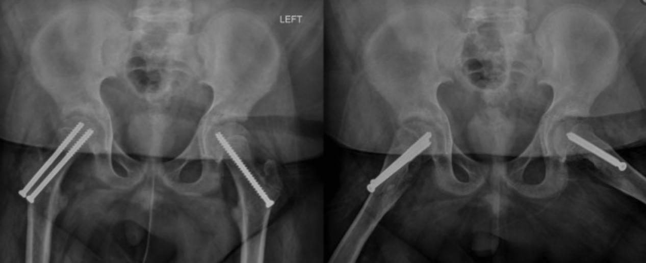
骨盆和右侧髋关节的x线片显示右侧SCFE,骺骨干角度(Southwick角)为75°(图1)。超声检查显示右侧髋关节积液(图2)。这些图像和检查证实患者目前诊断为急性严重不稳定的SCFE。病人在手术室进行了前Smith-Peterson入路,并进行了囊膜切开术,显示出有关节出血的情况。在干骺端前部轻轻按压复位。在干骺端放置两个空心螺钉以保持复位。对侧髋关节也被预防性固定非典型SCFE(图3)。
患者在6周内右侧髋关节不负重,同时在左侧保持可耐受的负重。术后8周开始独立行走。术后7个月随访,患者恢复正常,x线片未见股骨头坏死征象。双侧股骨近端的股骨仍然开放。

图1

图2

图3
在PubMed和Google Scholar上进行文献搜索,寻找所有已发表的迟发性SCFE病例。所有先前报告的病例均经过复查,以确定SCFE的可能原因。检索发现歌舞伎综合征患者既往SCFE病例物报告。文献复习27篇报道32例迟发性SCFE。其中31例与内分泌紊乱或垂体瘤有关。与迟发性SCFE相关的内分泌紊乱包括甲状腺功能减退、性腺功能减退和全垂体功能减退。垂体腺瘤和颅咽管瘤也与迟发性SCFE相关。
这是首次报道的歌舞伎综合征患者的SCFE病例。歌舞伎综合征(Kabuki syndrome)是一种已知会导致生长迟缓的遗传病。文献检索显示,几乎所有先前描述的迟发性SCFE病例都与内分泌紊乱或垂体瘤有关。建议对所有诊断为迟发性SCFE的患者进行内分泌疾病、垂体肿瘤和/或遗传疾病的评估,这些疾病可能导致骨骼发育延迟,因为这些疾病的范围从严重的内分泌疾病到颅内肿瘤均有涉及。
医博士编译自:Speirs JN, Morris SC & Morrison MJ 3rd. Slipped Capital Femoral Epiphysis in an Adult Patient With Kabuki Syndrome. Journal of the American Academy of Orthopaedic Surgeons. 2019; 3(10). doi:10.5435/JAAOSGlobal-D-19-00084.
声明: 所有注明“来源:医博士”的文字、图片和音视频资料,版权均属于医博士所有,转载须注明“来源:医博士”;所有转载文章系出于传递更多信息之目的,且明确注明来源和作者,不希望被转载的媒体或个人可与我们联系,我们将立即进行删除处理。