来源:医博士 | 2021-03-08 作者:多巴胺
Bouveret综合征是指胆囊结石从胆肠瘘或Adiss括约肌进入肠道引起的一种少见的机械性肠梗阻,约占小肠梗阻的1%-3%,本病案报道一例Bouveret综合征病例,分享其临床经验。
病例介绍
一名86岁女性,便秘,厌食,恶性,呕吐四天,伴有腹部绞痛及餐后消化液反流;既往患有高血压,骨关节炎及维生素D缺乏症,曾患有急性胆囊炎,未手术,行保守治疗。经检查,患者生命体征均正常,触诊发现中下腹胀痛,听诊肠鸣音活跃。
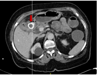
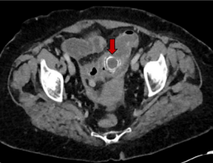
抽血检查发现患者炎性标记物升高,白细胞计数15.6x109,C反应蛋白(CRP)为67mg/L,肝功能中胆红素,碱性磷酸酶,谷丙转氨酶等均升高,提示肝功能异常,有梗阻性黄疸可能。腹部CT检查发现十二指肠近端和结肠远端分别两块结石,大小约3cm和3.3cm(如图1和图2);同时报告了胆囊结石伴急性胆囊炎,胆总管扩张,约1.7cm,验证了胆囊结石引起的Bouveret综合征。

图1 十二指肠近端梗阻,梗阻原因为结石嵌顿

图2 乙状结肠梗阻,梗阻原因为结石嵌顿
患者术前补液、留置胃肠减压,预防性使用抗生素,行剖腹探查手术,术中发现十二指肠球部和乙状结肠远端均有明确的梗阻点,尝试将十二次中胆石挤压至扩张的胃中,未果,遂行十二指肠切开取石,如图3。乙状结肠因结石引起的梗阻,行乙状结肠切开取石。术中探查其他肠管时,左侧大肠中有多个憩室,其余均正常。而对较小且无症状的小憩室不需特殊处理,由于胆囊炎症重,解剖结构不清,未行胆囊切除、瘘管切除及胆总管探查。患者术后恢复良好,顺利出院并进行随访。

图3 十二指肠近端和乙状结肠中分别取出两块结石(左3cm,右3.3cm)
讨论
有关Bouveret综合征报道有很多,通常为胆囊结石引起的胆瘘,导致结石嵌顿,引起消化道梗阻,Bouveret综合征的发病率和死亡率高达60%和30%,常见症状包括恶心呕吐,腹痛腹胀伴有腹膜炎体征。通常性腹部CT和MRCP(磁共振胰胆管逆行造影)检查,腹部CT是首选的影像学检查方法,但MRCP对胆汁液态成像较好,对胆肠瘘的诊断有特异性。手术作为一线的干预手段,Bouveret综合征常见切口为十二指肠切开,胃切口术或梗阻部位切开;缝合方式普遍采用横向闭合,避免术后肠管发生狭窄,同时术中应仔细探查整个消化道,避免遗漏风险。
结论
本病案报道了一例Bouveret综合征病例,发生了十二指肠及乙状结肠两处梗阻,实属罕见,外科治疗为首选治疗手段,解决梗阻是治疗原则,若治疗不及时,死亡率及后续相关并发症发生率极高。
医博士编译:Park S, Balasooriya J & Ncube T. A Rare Case of Gallstone Ileus: Bouveret Syndrome Presenting with Concurrent Gallstone Coleus. Case Reports in Surgery. 2020; 2020:8844199. doi:10.1155/2020/8844199.
声明: 所有注明“来源:医博士”的文字、图片和音视频资料,版权均属于医博士所有,转载须注明“来源:医博士”;所有转载文章系出于传递更多信息之目的,且明确注明来源和作者,不希望被转载的媒体或个人可与我们联系,我们将立即进行删除处理。