来源:医博士 | 2021-03-09 作者:多巴胺
一名49岁的女性患者因上腹部疼痛伴恶性呕吐于当地医院急诊科就诊,两个月前患者因胆石症,胆总管扩张,梗阻性黄疸行内镜逆行行胰胆管造影术,,取出3块胆石,如图1、2。行腹部CT检查,提示小肠梗阻,胆石性肠梗阻,十二指肠瘘,如图3、4。患者立即行急诊手术治疗,术中发现扩张小肠有明显胆石阻塞及压迫痕迹,取出胆石,由于小肠压力过大,出现部分坏死,因此行小肠部分切除术,如图5。在距离回盲部60cm小肠处取出大小约3.5cm*3.5cm胆结石,如图3。用腹腔镜从Treitz韧带检查小肠,并未发现有残余结石,病人在手术后已康复,顺利出院。

图1 ERCP提示胆总管内可见多个结石

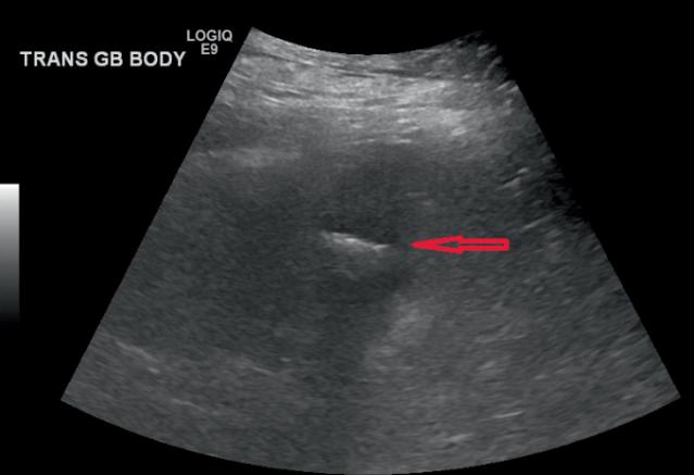
图2 腹部超声提示胆囊结石

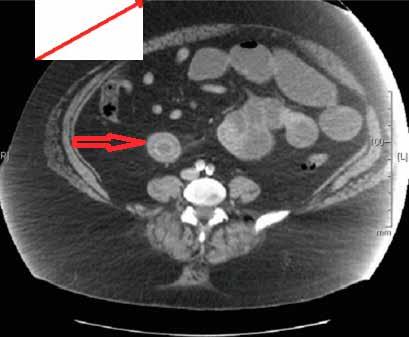
图3 腹部CT提示小肠内存在结石

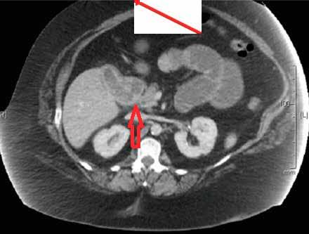
图4 腹部CT提示胆囊十二指肠瘘

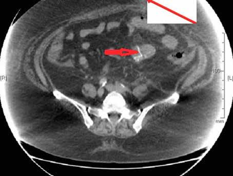
图5 第一次术后小肠端端吻合口处强化
一个月后,患者再次出现肠梗阻的症状及体征,复查腹部CT,显示肠管扩张,保守治疗五天,患者病情略有好转,但随后又出现了腹部剧痛,呼吸急促,心动过速及缺氧表现,行剖腹探查术,术中发现回肠一未钙化结石,导致吻合口远端小肠穿孔坏死,并形成了感染性憩室,术中诊断为复发性胆石性肠梗阻,由于感染及肠管水肿炎症较重,不能行肠切除,端端吻合术,行回肠造瘘术。术后患者顺利出院,择期行腹腔镜胆囊切除,去除根源。
腹部增强CT是胆石性肠梗阻常用的检查方法,有胆囊结石或既往患有胆石性肠梗阻病史的患者,当有不适症状或小肠梗阻的症状和体征,即使没有影像学表现,外科医生也应考虑胆石性肠梗阻的可能。小肠中有未钙化结石,肠管压力过大,肠穿孔或脓肿形成时,手术可快速解决肠梗阻症状并可使肠梗阻死亡率降至最低。
医博士编译:Osagiede O, Pacurari P, Colibaseanu D, et al. Unusual Presentation of Recurrent Gallstone Ileus: A Case Report and Literature Review. Case Reports in Gastrointestinal Medicine. 2019; 2019:8907068. doi:10.1155/2019/8907068.
声明: 所有注明“来源:医博士”的文字、图片和音视频资料,版权均属于医博士所有,转载须注明“来源:医博士”;所有转载文章系出于传递更多信息之目的,且明确注明来源和作者,不希望被转载的媒体或个人可与我们联系,我们将立即进行删除处理。