来源:医博士 | 2021-03-23 作者:墨香
肺水肿是指由于某种原因引起肺内组织液的生成和回流平衡失调,使大量组织液在很短时间内不能被肺淋巴和肺静脉系统吸收,从肺毛细血管内外渗,积聚在肺泡、肺间质和细小支气管内,从而造成肺通气与换气功能严重障碍。在临床上表现为极度的呼吸困难,端坐呼吸,发绀,大汗淋漓,阵发性咳嗽伴大量白色或粉红色泡沫痰,双肺布满对称性湿啰音。
非心源性肺水肿的原因有很多。气胸或胸腔积液导致的肺复张可引起非心源性肺水肿,但是非常罕见。复张性肺水肿(REPE)的危险因素包括年龄较小(<40岁)、肺塌陷时间过长(>4d)、胸腔镜/微创心脏手术中的单肺通气、大量气胸/胸腔积液(>30%肺容积)和快速再扩张。近期,Medical Journal Armed Forces India杂志上报告了1例自发性气胸经肋间引流管(ICD)置入术后发生REPE的病例,现介绍如下。
病例介绍
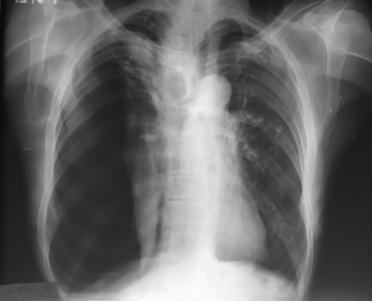
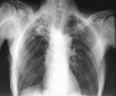
患者70岁,有慢性吸烟史和慢阻肺病史。因“呼吸困难1周”入院。临床检查:脉搏106次/分钟、血压110/78mmHg,呼吸24次/分钟,血氧饱和度90%。气管偏左,右半肺各区域无呼吸音,叩诊音高共振。实验室检查正常,除白细胞增多。胸片检查显示右侧气胸,肺塌陷,气管向左移(图1)。置入右侧ICD,气体排出,患者呼吸困难有所改善。胸片显示塌陷肺复张(图2)。

图1 胸片显示右侧气胸

图2胸片显示ICD置入后气胸
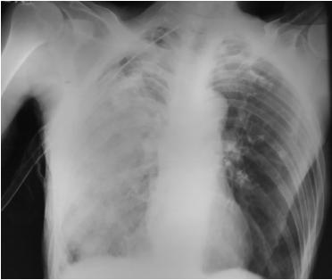
病人继续使用高流量氧气。两小时后,病人出现严重的胸部不适、咳嗽和呼吸急促。临床上有心动过速(脉率110/min)和低血压(血压64/46mmHg),血氧饱和度降至68%。胸部检查显示胸部右侧有粗糙的纹理。心电图及心肌酶测定排除了急性肺栓塞。行急诊床边便携式胸片正位片,显示右侧肺淤血和右侧ICD部位浑浊(图3)。根据上述检查结果,诊断为REPE。患者接受静脉输液和无创通气(NIV)支持。

图3 胸片显示右半胸非均匀性混浊
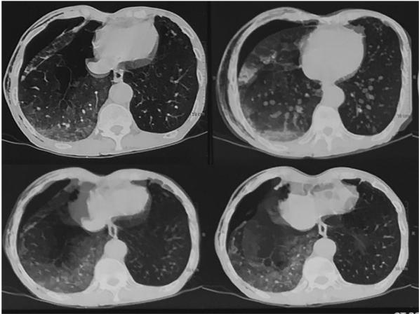
第二天进行高分辨率计算机断层扫描(HRCT)胸片检查,显示右侧气胸和肺水肿消失(图4)。继续保守治疗24h,患者病情继续改善2d,复查胸片显示右肺扩张和肺水肿消退。持续给予NIV和肌力支持48h,同时给予高流量氧治疗。6天后,ICD的漏气停止。ICD取出,观察1天后出院,建议戒烟并继续使用支气管扩张剂。随访1个月和6个月,呼吸储备良好,无气胸复发。

图4 24小时后胸部HRCT显示肺水肿和气胸消退
病例启示
REPE是胸腔穿刺术中一种相对未知但有潜在生命危险的并发症。参与手术的专业人员应该意识到胸腔排空后可能发生的不良反应。必须采取必要的措施避免这种情况,因为它与高死亡率有关。如果临床或放射学怀疑REPE,应采取积极的早期治疗措施。
医博士编译自:Prabhakara R & Khan HA. Reexpansion pulmonary edema after drainage of pneumothorax. Medical Journal Armed Forces India. 2019; doi:10.1016/j.mjafi.2019.07.005. [Epub ahead of print]
声明: 所有注明“来源:医博士”的文字、图片和音视频资料,版权均属于医博士所有,转载须注明“来源:医博士”;所有转载文章系出于传递更多信息之目的,且明确注明来源和作者,不希望被转载的媒体或个人可与我们联系,我们将立即进行删除处理。