来源:医博士 | 2021-04-09 作者:多巴胺 编辑:小米
病例介绍
一名34岁的女性患者于德黑兰医科大学伊玛目霍梅尼医院结直肠外科就诊,患者既往患有溃疡性结肠病5年,每日两次口服美沙明,近期顺产一名男婴,但产后第四天,患者β-人绒毛膜促性腺激素(βhCG)水平为417mIU/mL,怀疑妊娠相关组织宫内残留(RPG)或妊娠滋养细胞肿瘤。
行阴道超声检查,发现子宫内中等回声物,大小4.5*9mm,高度提示妊娠滋养细胞肿瘤。
对患者进行了刮宫治疗,过程并不顺利并伴有宫内出血,妇科医生决定化疗方案,一周内行两次甲氨蝶呤(MTX)治疗。
停用MTX一个月后,进行β-人绒毛膜促性腺激素测定,反而升至1500 mIU/mL。复查了全腹部CT,提示:子宫左侧2cm*2cm病变。两个月内连续使用3次MTX,长春碱(抗肿瘤药物)及放线菌素治疗,但βhCG仍未低于300 mIU/mL。后使用铂莱霉素,依托泊苷,顺铂化疗方案,但效果也不理想。
治疗期间,患者出现了直肠出血,行结肠镜检查,提示距离肛门边缘8-10cm处粘膜下息肉样病变,其他结肠部位也显示出多个浅表糜烂,病理活检提示:滋养细胞分化,结肠炎性浸润癌。经结直肠外科,产科,病理学等多学科会诊,讨论方案为手术治疗,患者行全结肠及直肠癌切除术,回肠肛门吻合;经腹子宫切除术和双侧输卵管及卵巢切除术,进行了主动脉旁淋巴结廓清。
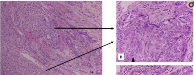
术后标本提示乙状结肠和直肠息肉样肿块,并伴有大量的坏死淋巴结;浸润的肿瘤有绒毛膜癌成分,成为与腺癌共同增殖的双生肿瘤,如图1所示。

图1 术后病理提示绒毛膜癌与腺癌共同增殖的双生肿瘤
患者术后第四天出院,术后一周,患者βhCG水平升高至2000 mIU/mL,并进行吉西他滨和顺铂治疗,但3个月后,患者βhCG水平升至20000 mIU/mL。5个月后,患者放弃治疗,发生了恶病质,体重显著降低,于术后20个月因急性呼吸窘迫症死亡。
结论
炎性肠病背景下的结直肠恶性肿瘤同时具有生殖细胞肿瘤的生物学特性,实属罕见,多学科综合治疗是治疗关键,但此类患者预后通常较差,需要进一步研究。
声明: 所有注明“来源:医博士”的文字、图片和音视频资料,版权均属于医博士所有,转载须注明“来源:医博士”;所有转载文章系出于传递更多信息之目的,且明确注明来源和作者,不希望被转载的媒体或个人可与我们联系,我们将立即进行删除处理。