来源:医博士 | 2021-04-16 作者:李胜佳
肺炎旁胸腔积液中最常见的病原微生物包括肺炎链球菌、流感嗜血杆菌和金黄色葡萄球菌。如果分离出不寻常的病原体,则需要进一步调查以确定主要来源。奇异变形杆菌作为肾盂肾炎和尿路结石的主要病因之一,很少有病例研究报告它在胸膜腔中的存在。现有的研究只描述了这种细菌存在于胸膜腔中,并伴有潜在的肾盂肾病/肾盂肾炎。
据目前所知,变形杆菌相关胸膜疾病和慢性肾脏疾病之间没有关联。本病案报告一位感染慢性肾囊肿的患者患有继发于变形杆菌的脓胸,以强调当在胸膜腔遇到不寻常的病原体,进一步诊断的重要性。
病例介绍
40岁女性患者,因上呼吸道症状和胸痛5周就诊。患者既往病史包括哮喘、2型糖尿病、高血压和镰状细胞性状。入院前,患者在紧急护理中心就诊,将其症状归因于病毒性疾病,建议给予支持性治疗。由于劳累导致呼吸困难加重,患者到急诊室作进一步评估。患者的生命体征为体温100.5华氏度、心率107、呼吸频率为每分钟30次、血压为126/75、每分钟补充氧气2 L时的血氧饱和度为95%。体格检查有发汗、呼吸急促、左肺底呼吸音减弱、左下肺野叩诊钝音、左上腹触痛。胸部CT血管造影(CTA)检查未显示肺栓塞的迹象,但发现左侧胸腔积液并伴有左下叶实变。患者开始接受经验性治疗,使用头孢曲松和阿奇霉素,并插入胸腔导管引流脓液。液体分析显示WBC为210200个/uL,LDH为12915个单位/L,胸水pH值为6.2。革兰氏阴性杆菌阳性。
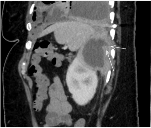
在有房颤的情况下,用组织纤溶酶原激活剂(tPA)和脱氧核糖核酸酶(DNAse)行胸膜腔内溶栓治疗72小时。纤溶治疗后无明显改善,患者被带到手术室进行大口径胸导管放置和电视胸腔镜手术(VATS)剥离左内脏胸膜。胸膜液培养出奇异变形杆菌(图1),因此患者接受了进一步的影像学检查,以确定主要来源。腹部/骨盆的计算机断层扫描(CT)显示左肾上极有一个复杂的囊性病变,与同侧横膈膜相通(图2,3)。尿液分析不明显。在脓肿内放置引流管,囊肿液培养也显示奇异变形杆菌阳性。

图1. 显微镜下观察到的患者胸膜液中的奇异变形杆菌

图2. 计算机断层扫描结果显示患者腹部的矢状面,白色箭头显示肾囊肿向后延伸至膈肌

图3. 计算机断层扫描结果显示患者的腹部的连续冠状横切面,白色箭头表示从肾囊肿到膈肌的后上方延伸的通道
通过这些干预措施,并将治疗方案转变为静脉注射头孢曲松和甲硝唑,患者的临床状况得到改善。住院12天后患者出院,口服阿莫西林-克拉维酸延。出院18天抗生素疗程结束后胸部和腹部/骨盆CT复查,显示肾囊肿和左侧脓胸的间隔消失。
总结
本病案提出首例由于肾囊肿感染与胸膜腔相通所致奇异变形杆菌脓胸的病例。这项研究强调,当胸膜腔中发现不寻常的病原体时,用横截面成像进一步评估是有必要的。影像学上明显的解剖异常可能有助于阐明感染源。
医博士编译自:Earasi K, Welch C, Zelickson A, et al. Proteus empyema as a rare complication from an infected renal cyst, a case report. BMC Pulmonary Medicine. 2020; 20(1):314. doi:10.1186/s12890-020-01346-w.
参考链接:https://pubmed.ncbi.nlm.nih.gov/33246448/
声明: 所有注明“来源:医博士”的文字、图片和音视频资料,版权均属于医博士所有,转载须注明“来源:医博士”;所有转载文章系出于传递更多信息之目的,且明确注明来源和作者,不希望被转载的媒体或个人可与我们联系,我们将立即进行删除处理。