来源:医博士 | 2021-04-21 作者:刘雅丽
第三窗综合征(TWS)最早见于上半规管骨裂(SCD),现在包括耳蜗颈内动脉裂开、后半规管颈静脉球部裂开、耳蜗面神经裂开等。本文报告了一位CT-TWS患者,在右镫骨足板中央有0.5毫米的骨缺损,缺损部位被膜状结构所覆盖。这种开裂导致长期的压力性眩晕,压力变化导致了镫骨的膜性足板破裂,导致严重的旋转性眩晕和听力损失。外淋巴液渗漏是通过影像学检查和生化检测来证实的。
病例介绍
一位32岁的女性患者在擤鼻后突然出现右耳听力丧失和严重的旋转性眩晕。患者接受了皮质类固醇和卧床休息1周,前庭眩晕症状初步缓解。然而,在第7天,眩晕复发,听力持续下降。
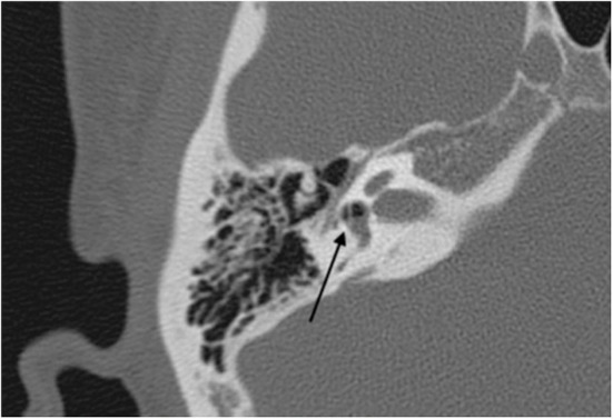
耳镜检查显示双侧鼓膜完整。纯音测听显示严重的右侧混合性听力损失(图1)。左侧跳动性水平旋转性眼震以仰卧位为主。第10天的高分辨率颞骨CT扫描显示右前庭有迷路积气(图2)。

图1

图2
患者再次接受卧床休息和皮质类固醇治疗。然而,经过保守治疗后,眩晕和严重听力损失没有得到缓解。于第17天进行外淋巴瘘修补手术。手术在全麻下进行,经外耳道入路,可以观察到镫骨足板中央有一个直径为0.5毫米的骨缺损,由膜组织覆盖,并且在膜上发现了一处撕裂(图3)。

图3
术中观察到少量外淋巴液渗漏,术中收集0.3ml生理盐水中耳灌洗液进行CTP检测。足板内瘘用结缔组织封闭,圆形窗口用结缔组织和软骨加固,进一步稳定迷路。术后前庭眩晕症状和眼球震颤立即消失,在1个月的随访评估中,患者听力有所改善(图4)。

图4
术后CTP检测结果显示浓度为0.84ng/ml,为阳性。更详细的病史显示,15年来,当患者擤鼻时会感到眩晕。真正的旋转性眩晕会持续3到4秒。当停止擤鼻后,眩晕症状缓解。患者无耳鸣,如回声、共振、脉搏、心跳,或眼睛移动或眨眼的声音。患者否认头部和耳部外伤史。根据病史、术中发现和术后前庭症状的改善,镫骨足板的裂开导致压力性眩晕症状。术后1年,前庭眩晕症状无复发,耳蜗功能无变化。
讨论
第三窗综合征的研究表明,完整的骨迷路以及卵圆窗和圆窗的硬度差异对耳蜗和前庭的正常功能至关重要。在患者急性入院之前,镫骨足板开裂引起的病理性压力诱发内耳液体机械波,引起压力性眩晕,这是TWS的症状之一。虽然患者从17岁起就有过因擤鼻涕而引起的眩晕,但病因未确诊。擤鼻涕引起的中耳/颅内压迅速变化,导致膜破裂、外淋巴液渗漏和迷路积气。
诊断以CT+TWS为主,具有典型症状和CT表现。Ward等人综合了SCD的诊断标准。另一方面,由于缺乏特异性生物标志物,PLF的临床表现一直是争议的话题。PLF伴渗漏的表现包括广泛的神经耳科症状,如听力丧失、眩晕/头晕、失衡、耳鸣和认知功能障碍。听力损失可从高频到低频,可模拟梅尼埃病或耳蜗内淋巴水肿。因此,对PLF做出明确诊断的困难已经引起了关于其流行率、自然历史、管理,甚至其存在本身的长期争论。
如果能用适当的生物标志物对有渗漏的PLF进行明确的诊断,就可以克服这一争议。基于蛋白质组学分析已经鉴定出Cochlin-CTP的一种亚型,是一种外淋巴液特异性蛋白,在血液、脑脊液或唾液中不表达。我们建立了人CTP酶联免疫吸附试验(ELISA),并确定了CTP≥0.8阳性,0.8>CTP≥0.4可疑,0.4>CTP阴性(ng/ml)的临界标准。检测外淋巴液渗漏的敏感性和特异性分别为86.4%和100%。中耳CTP的检测表明存在瘘管和外淋巴液渗漏。CTP试验是迄今为止研究最广泛的生物标志物。
总结
这个病例证明了PLF是一个真正的临床实体。值得注意的是,与其他引起感音神经性听力损失和头晕的原因不同,PLF可通过手术封闭瘘管进行矫正。通过封闭瘘管,PLF是一种可通过手术治愈的疾病。此外,适当的识别和治疗可改善患者的病情,从而提高生活质量。
医博士编译自:Matsuda H, Tanzawa Y, Sekine T, et al. Congenital Membranous Stapes Footplate Producing Episodic Pressure-Induced Perilymphatic Fistula Symptoms. Frontiers in Neurology. 2020; 11:585747. doi:10.3389/fneur.2020.585747
声明: 所有注明“来源:医博士”的文字、图片和音视频资料,版权均属于医博士所有,转载须注明“来源:医博士”;所有转载文章系出于传递更多信息之目的,且明确注明来源和作者,不希望被转载的媒体或个人可与我们联系,我们将立即进行删除处理。