来源:医博士网 | 2021-04-23
卵巢的神经内分泌肿瘤(NET)仅占所有NET的0.5%,占所有卵巢癌的0.1%,与传统的表面上皮肿瘤或畸胎瘤有关。单纯卵巢NET(47%),通常体积较大,转移和类癌综合征的发生率较高。
卵巢NET可能表现为相对良性的卵巢类癌(有四种亚型:岛状癌、小梁癌、基质和粘液性癌)或LCNC(非小细胞癌),均与患者预后不良有关。在这里,本病案报告一例非小细胞类型的神经内分泌癌合并浆液性癌的病例。
病例介绍
80岁女性患者,有冠状动脉疾病、高血压和慢性阻塞性肺疾病病史,因腹痛和腹胀入院。在体格检查时发现右腹股沟区有一个可触及的肿块,通过腹部CT(计算机断层扫描)对腹部进行进一步检查,发现右卵巢可见一巨大囊性肿瘤,需要手术探查。
术中在右侧卵巢发现一个大的囊肿。考虑到患者的年龄以及心血管和呼吸系统的合并症,为避免长期麻醉的并发症,对患者进行了最少的手术干预。对患者进行了右输卵管摘除术。对侧卵巢的冷冻切片也在手术期间进行,证明是阴性的。没有腹水及腹膜转移的迹象。
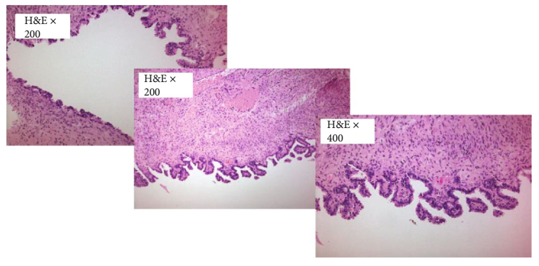
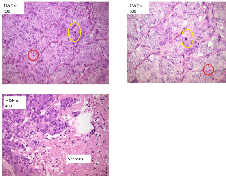
病理报告显示混合性卵巢肿瘤,有囊性成分和实性成分。囊性成分包含浆液性交界性/非典型增生性肿瘤(图1),而实性成分似乎是一种高级LCNC,在囊壁浆液性肿瘤下形成,占肿瘤的40%(阶段pT1a/AJCC/2017)。显微镜下,LCNC的特征是岛状、片状和小梁状结构,间质少,细胞坏死,有丝分裂活性高(图2)。免疫组化显示,嗜铬粒蛋白和CD56(分化簇56)部分表达,而突触素在神经内分泌细胞中广泛表达(图3)。CDX-2(尾型同源盒转录因子2)、TTF-1(甲状腺转录因子1)以及抑制素和钙视网膜蛋白均为阴性。Ki-67增殖指数在多达80%的细胞中呈阳性。有丝分裂率为17/10HPFs (高倍镜视野)。

图1. 浆液性交界性肿瘤/非典型增生性浆液性肿瘤

图2. 大细胞神经内分泌癌。有丝分裂(黄色圆圈)和凋亡(红色圆圈)活跃。坏死面积扩大

图3. 阳性神经内分泌标记物(嗜铬粒蛋白,突触素和CD56)。Ki-67增殖指数高
随后,患者每三周接受辅助化疗,六个疗程的卡铂和紫杉醇。每隔六个月对她进行一次CT扫描随访,几乎两年后没有任何疾病复发的迹象。
讨论及总结
LCNC是比类癌更高级别且更具侵略性的肿瘤。它们表现出类器官生长模式以及细胞异质性。肿瘤细胞通常为中型到大型,并表现出中度非典型性,高有丝分裂活性和广泛的细胞坏死。患者表现出腹痛和腹胀症状,并可能主诉腹部不适甚至明显肿块。
诊断NET的最重要工具是免疫组织化学。诊断卵巢NET最常用的标志物包括突触素,嗜铬粒蛋白和CD56。Ki-67高度阳性表示预后不良。免疫组化已成为鉴定和鉴别诊断其他原发性或转移性肿瘤的神经内分泌癌的重要检查。
肿瘤的手术切除是治疗的基本。没有标准的全身治疗方案。晚期或转移性卵巢类癌的一些治疗选择包括链佐星,5-氟尿嘧啶,卡培他滨和顺铂。可以使用生长抑素类似物,特别是如果存在类癌综合征的症状。
尽管存在罕见的肿瘤,但近几年来LCNC的报道越来越多,这可能归因于免疫组织化学诊断工具的可用性和认知度的提高。尚未就其标准疗法达成普遍共识,但由于这些肿瘤的生物学侵袭性,早期诊断至关重要。
医博士编译自:Galanis I, Floros G, Bompoula SM, et al. Mixed Large Cell Neuroendocrine Carcinoma of the Ovary: Report of a Rare Case. Case Reports in Obstetrics and Gynecology. 2020; doi:10.1155/2020/8896070. [Epub ahead of print]
声明: 所有注明“来源:医博士”的文字、图片和音视频资料,版权均属于医博士所有,转载须注明“来源:医博士”;所有转载文章系出于传递更多信息之目的,且明确注明来源和作者,不希望被转载的媒体或个人可与我们联系,我们将立即进行删除处理。