来源:医博士 | 2021-05-12 作者:李胜佳
肺静脉(PV)射频消融术(RFA)是针对部分抗心律不齐药物难治性房颤(AF)患者的有效技术。但是,肺静脉阻塞是一种潜在的罕见并发症,在临床上可能表现为非特异性呼吸道症状,常被低估或误诊,如果不及时干预并加以治疗会导致轻度狭窄发展为完全阻塞。本病案报告了一例在射频消融术三个月后因肺静脉阻塞而发生咯血(即晚期并发症),经计算机断层血管造影(CTA)诊断,显示四分之二的肺静脉阻塞。
病例介绍
33岁男性患者,在射频消融术后9个月出现顽固性房颤。因出现症状性心悸,患者接受氟卡尼和比索洛尔治疗。尽管进行了抗心律失常治疗,患者仍有明显的房颤症状,因此接受了第二次射频消融治疗。超声心动图显示心功能和肺动脉压正常。
术后超声心动图显示无心包积液。根治性消融治疗后,患者继续服用阿司匹林和利伐沙班,以预防房颤复发以及肺静脉和/或动脉血栓形成。
然而,两个月后,患者出现咳嗽并伴有咯血和轻微的左侧胸痛。他接受了计算机断层扫描肺血管造影(CTPA),显示左上叶和舌部有多个实变斑块和磨玻璃样混浊,并伴有少量左侧胸腔积液(图1a,b),推测可能是感染或肺梗塞。患者被给予广谱抗生素治疗,并转诊至呼吸科作进一步调查。同时,在心脏病门诊接受随访,由于在活动性咯血的情况下,患者的CHA2DS2-VASc评分为零,因此建议停止服用利伐沙班。

图1. 计算机断层扫描:(a)左侧胸腔积液(箭头);(b)左心室实变和GGO(箭头)。GGO:磨玻璃样混浊;LUL:左上叶

图2. CTPA:(a)单侧肺水肿伴小叶间隔增厚(箭头);(b)Lt.PVsO(箭头)。CTPA:计算机断层扫描肺血管造影;Lt.PVsO:左肺静脉阻塞
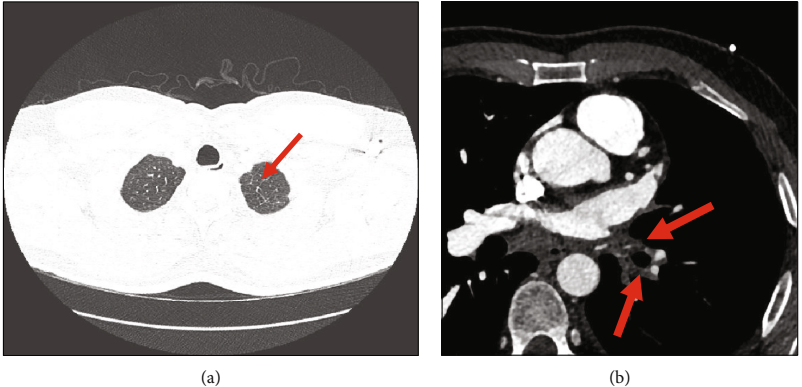
尽管如此,患者的咯血仍然持续。接下来进行了对比增强CTPA,显示单侧左肺静脉阻塞的特征,左上下肺静脉未见,均为闭塞,很可能由先前的消融术导致(如图2a,b)。除此之外,患者还接受了冠状动脉CTA检查,结果显示右上、下肺静脉造影清晰;但是,在动脉期左上肺静脉和下肺静脉均不可见(图3)。冠状动脉CTA的这些发现与左肺静脉阻塞的CTPA检查结果一致。患者还进行了一项肺灌注研究,结果显示在所有灌注视图中,左肺野均无灌注。在通气图像中,左肺通气良好,但低于右肺(图4)。支气管镜检查报告正常(无出血)。

图3. 心脏三维CT重建图像:AF消融后左肺静脉缺如(红色箭头)。Ao:主动脉(蓝色箭头);LA Ap:左心耳(绿色箭头);LA:左心房(黄色箭头);RSPV:右上肺静脉(棕色箭头);RIPV:右下肺静脉(白色箭头);AF:心房颤动

图4. 在所有灌注图像中,左肺野无灌注;在通气图像中,左肺的通气量较右肺低
讨论
AF是心律不齐的最常见形式之一,其患病率随年龄增长而增加。引起房颤的异位搏动中有90%以上发生在肺静脉中,其中近50%起源于左上肺静脉。射频消融治疗是抗心律失常药物难治性房颤患者的有效治疗方法,并且在世界范围内得到广泛的应用。由于技术和操作者经验的提高,PV阻塞(一种公认的肺静脉房颤消融术后并发症)的发生频率已经下降。AF消融后导致的PV阻塞症状取决于多种因素,例如累及的静脉数,疾病的病程和狭窄的严重程度。常见的症状包括持续咳嗽,咯血,呼吸急促和胸膜炎胸痛。PV阻塞的患者由于存在复发的风险,因此需要仔细评估和随访。
医博士编译自:Fori JA, Belushi MA, Shuraiqi MA, et al. Pulmonary Vein Occlusion and Lung Infarction after Radiofrequency Ablation of Atrial Fibrillation. Case reports in pulmonology. 2020; 2020:2357846. doi:10.1155/2020/2357846.
参考链接:https://pubmed.ncbi.nlm.nih.gov/32802544/
声明: 所有注明“来源:医博士”的文字、图片和音视频资料,版权均属于医博士所有,转载须注明“来源:医博士”;所有转载文章系出于传递更多信息之目的,且明确注明来源和作者,不希望被转载的媒体或个人可与我们联系,我们将立即进行删除处理。