来源:医博士 | 2021-05-13 作者:小哪吒
一名24岁年轻女性,因腹痛4个小时于当地医院急诊科就诊,起初疼痛位置位于脐周附近,随后扩散至下腹部,但转移性疼痛点略偏上。来院之前,自行服用可待因及扑热息痛治疗,疼痛未见明显减轻。查体发现右腿抬起可引起腹痛加重,前倾时疼痛可减轻。患者在出现疼痛前并未有恶性呕吐症状,并无排便改变,没有粘液或血便,没有泌尿系统感染等症状。
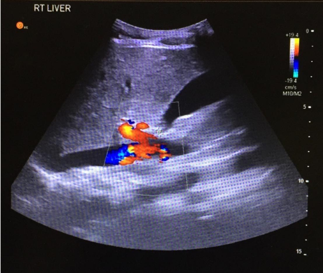
起初,考虑卵巢囊肿,然而尿液浸润阴性和妊娠试验阴性,排除妇科疾病。血液检查结果患者并无明显异常。腹部超声提示阑尾腔增粗,局部渗出,证实了急性阑尾炎的诊断,但特殊的是阑尾解剖变异,位于右肝下水平,如图1所示,考虑肝下阑尾。

图1 超声提示肝脏水平可见阑尾,直径约0.6cm
随后患者立即全麻下行腹腔镜阑尾切除术,术中发现小肠扩张明显,盲肠升至结肠肝曲处,可见阑尾根部位于肝下后方,阑尾解剖的变异多因盲肠旋转不良所致,而阑尾并未出现穿孔,未见脓液积存,探查发现乙状结肠,子宫,卵巢及输软管均正常。分离粘连的阑尾,镜下行阑尾切除术,术后患者恢复良好,顺利出院,并未进行随访。
盲肠和阑尾位于肝下很少见,本病案患者盲肠旋转不良导致高位盲肠及阑尾根部位于肝下界后方,这种变异通常因胚胎发育异常引起。诊断性腹腔镜对变异阑尾的诊断及治疗均有益,应作为一种新的探索性和治疗性技术。
医博士编译:Longani SK & Ahmed A. Classical Presentation of Acute Appendicitis in the Case of a Subhepatic Appendix. Cureus. 2019; 11(10):e6035. doi:10.7759/cureus.6035.
参考链接:https://pubmed.ncbi.nlm.nih.gov/31824802/
声明: 所有注明“来源:医博士”的文字、图片和音视频资料,版权均属于医博士所有,转载须注明“来源:医博士”;所有转载文章系出于传递更多信息之目的,且明确注明来源和作者,不希望被转载的媒体或个人可与我们联系,我们将立即进行删除处理。