来源:医博士 | 2021-05-13 作者:刘雅丽

一名35岁的日本1型糖尿病男性患者(T1DM)被诊断为甲亢,血清TSH水平无法检测,TSH受体抗体滴度高。他立即开始每天服用30毫克甲巯咪唑。几周后,由于皮疹和中性粒细胞计数减少,停用甲巯咪唑。他开始接受丙硫氧嘧啶(PTU)300毫克每天,此后PTU的日剂量增加到600mg。大约2年后,当他37岁时,主诉双侧听力损失和耳鸣,耳鼻喉科医生诊断为突发性感音神经性听力损失(图1A)。虽然他接受了鼓室注射地塞米松,但听力未恢复。他最终需要助听器改善听力。停用地塞米松后,他的听力出现波动。

图2
两年后,患者39岁时,因听力迅速恶化,到我院耳鼻咽喉科就诊。听力图显示,与诊断时相比,他的听力明显恶化(图1B)。耳部检查显示鼓膜无红肿,鼓室无积液。计算机断层扫描显示内耳骨结构无改变(图2,A和B)。如前所述,1.5mg地塞米松间歇鼓室给药对患者听力无明显作用。类固醇给药开始后,尽管多次基础和大剂量注射胰岛素类似物,并根据血糖水平调整剂量,但他的血糖明显恶化,并伴有频繁的空腹低血糖。我们开始调查其潜在的全身疾病。尽管白细胞、红细胞、炎症标记物、补体因子和免疫球蛋白的每个亚类都在正常范围内(表1),但他显示抗中性粒细胞胞浆抗体(ANCA)的血清阳性。

表1

表2
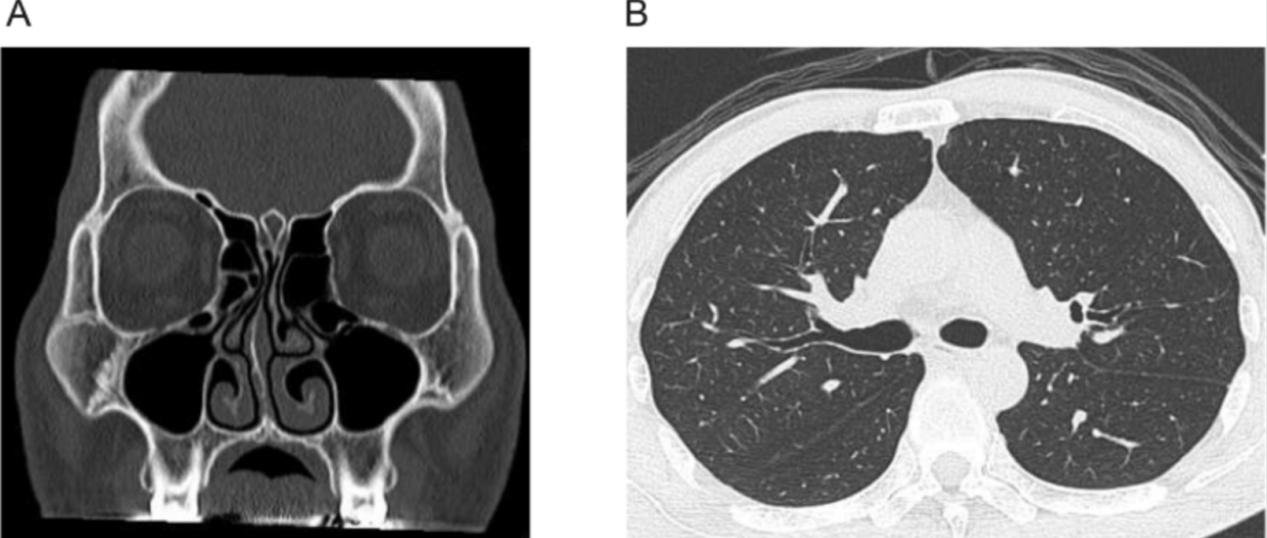
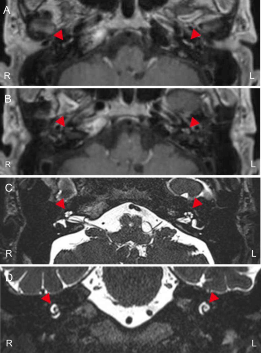
用化学发光酶免疫分析法测定抗蛋白酶3(PR3)和髓过氧化物酶(MPO)的ANCA水平,分别上升到31.2 U/ml和159 U/ml,两个参考范围均小于3.5 U/ml(表1)。同时,还检测到高效价的环瓜氨酸肽(CCP)和谷氨酸脱羧酶(GAD)抗体。然而,这个病人没有其他器官受累,例如小血管炎或类风湿关节炎。他肾功能无明显异常,无蛋白尿和尿潜血(表1和表2),计算机断层扫描显示无副鼻窦和肺部受累(图3,A和B)。然而,核磁共振图像显示两个耳蜗的T1加权图像存在对比度效应(图4,A和B),尽管T2加权图像中耳蜗的结构似乎保持不变(图4,C和D)。

图3

图4
根据这些发现,我们认为他的双侧感音神经性听力损失是由与ANCA相关的局部小血管炎引起的。当时,尽管TSH受体抗体的滴度仍然明显增加,但每天服用600毫克PTU后,他的甲状腺功能正常。因此,我们停止了PTU。在PTU停药后大约2周,他的听力开始改善,此时患者未使用地塞米松。在PTU停药后4周,听力图显示在250Hz、1000Hz和4000Hz的频率下双侧听力恢复(图5)。在平常的谈话中证实他的听力有了改善。PTU停药后两个月,行甲状腺次全切除术,术后用左旋甲状腺素替代物维持甲状腺功能。在PTU停药24周后,患者的听力仍在改善,无需服用免疫抑制剂(图5),并且没有其他器官受累。停药后24周,PR3-ANCA和MPO-ANCA水平分别降至9.8u/ml和118.2u/ml(图6)。他的血糖控制稳定,血红蛋白A1c为6.7%。

图5

图6
所以当Graves病患者发生突发性听力损失时,即使没有其他表现,也应考虑停止ATD。
医博士编译自:Tanabe K, Nishimura S, Sugahara K, et al. A patient with sudden hearing loss induced by propylthiouracil. Heliyon. 2021; 7(2):e06196. doi:10.1016/j.heliyon.2021.e06196.
参考链接:https://pubmed.ncbi.nlm.nih.gov/33615009/
声明: 所有注明“来源:医博士”的文字、图片和音视频资料,版权均属于医博士所有,转载须注明“来源:医博士”;所有转载文章系出于传递更多信息之目的,且明确注明来源和作者,不希望被转载的媒体或个人可与我们联系,我们将立即进行删除处理。