来源:医博士 | 2021-05-14 作者:姜胖丫
在血液系统恶性肿瘤患者中,几乎没有证据表明HHV6导致重大疾病,2甚至在自体移植后的情况下。然而,在异体移植后,HHV6可以重新激活,导致移植后急性边缘脑炎。患者表现出明显的临床特征,包括顺行性遗忘、抗利尿激素分泌不当综合征(SIADH)、轻度脑脊液(CSF)胞浆增多和颞叶脑电图异常,磁共振成像(MRI)确认在T2上的钩回杏仁核和海马高强度,液体衰减反转恢复(FLAIR)和扩散加权成像序列。这里提出一个axio -cel治疗后罹患HHV6脑炎的患者病例。
病例介绍
患者,男,55岁,接受过axi-cel CD19 CAR-T细胞治疗。15个月前诊断为原发性难治期IVB弥漫性大B细胞淋巴瘤。他的初始治疗包括6个周期的利妥昔单抗,环磷酰胺,阿霉素,长春新碱,强的松龙,3个周期的高剂量甲氨蝶呤,导致疾病进展的正电子发射断层扫描(PET)完成。患者继续接受了2个周期的利妥昔单抗、地塞米松、(大剂量)阿糖胞苷、顺铂治疗,但癌症广泛的扩散到盆腔、腹部和腋窝。在等待axi-cel生产的白细胞分离后,他进行了1个周期的吉西他滨/奥沙利铂的桥接化疗,然后是地塞米松冲击疗法,并在开始淋巴衰竭之前停止。
在第5天开始用氟达拉滨和环磷酰胺进行淋巴衰竭治疗,共3天。患者在此期间身体状况良好,特别是没有发热发作;然而,停止类固醇治疗后c反应蛋白(CRP)升高,在第-2天达到296mg /L的峰值。患者败血症检查呈阴性,他在第0天按计划开始CAR-T细胞治疗。24小时内,他出现了1级CRS,并开始使用广谱抗生素。CRS持续到+5天,出现与2级CRS一致的液体无反应性低血压。这需要使用托西珠单抗治疗(他总共接受了2剂),以及静脉注射一剂地塞米松。这使他的血压暂时得到改善,但发热无改善。在此期间,患者免疫效应细胞相关脑病(ICE)评分保持10/10,无神经毒性特征。
在第8天,他出现了肢体震颤,由于他的笔迹恶化,他的ICE评第一次降到了9/10。第14天,他的ICE评分急剧下降到0/10,伴有混乱、定向障碍和失语症。患者被送入重症监护室,开始使用地塞米松10 mg qds治疗3级ICANS。颅脑计算机断层扫描和核磁共振成像无显著差异。由于血小板减少<20,在此阶段未进行腰椎穿刺(LP)。在48小时内,他的ICE分提高到8/10分,但还没有恢复正常。由于体位性低血压,患者仍有轻度言语障碍和中度共济失调的迹象。他慢慢停止使用类固醇,在第+23天完全停止使用。

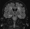
(图一、第31天MRI头显示双侧海马和脑室周围高强度。)
在第+24天,他的ICE分数进一步下降到6/10,简易精神状态检查(MMSE)评分为12/30。由于神经毒性复发,患者重新开始服用地塞米松。尽管重新开始使用类固醇,但他的认知功能继续下降,特别是有证据表明有顺行性和逆行性失忆症。因此开始对疑似脑膜脑炎使用大剂量阿昔洛韦静脉注射和广谱抗生素。在此期间,他的CRP保持在低水平(最近使用了托西珠单抗),并发急性重度低钠血症(最低为116 mmo/L),渗透性提示潜在的SIADH。仍然存在严重的细胞减少症。患者因急性低钠血症和认知状态恶化再次入院接受重症监护。他开始使用高渗盐水,并继续使用广谱抗菌剂。第31天进行MRI头部检查(图1),发现对称T2/FLAIR型高信号伴相关的受限扩散,涉及整个海马体、头部和杏仁核。这在他+28日的 PET扫描中也得到了证实,该扫描也发现了一个完全的代谢反应,在以前疾病部位的残留软组织中无法检测到摄取,但注意到对称的、强烈的海马回信号,与MRI异常相对应。这两种变化都与脑炎过程相一致。
腰椎穿刺发现高脑脊液蛋白1.06 g/L,葡萄糖4.5 mmol/L,红细胞315/mm3,未检测到白细胞。未发现克隆B细胞。脑脊液中HHV6 DNA阳性(定性分析),这在重新检测时得到证实。第一次LP后一周采集的全血是HHV6 DNA阳性,但低于定量下限5000 copies/mL。
此时,在临床和放射学上可以诊断,患者患有脑炎,脑脊液HHV6 DNA阳性,提示这是病因。患者随后在第37天开始静脉注射膦甲酸盐治疗,并持续3周。脑脊液HHV6 DNA在治疗开始12天后定性阴性;全血HHV6 DNA维持在相同水平,低于定量下限5000 copies/mL。这后来没有复发。但在这期间和之后,患者有进一步的感染并发症,如大肠杆菌败血症、医院获得性肺炎、鼻病毒以及bk相关出血性膀胱炎。尿液和血液中均检测到BK病毒DNA,水平分别为6,658,947国际单位(IU)/mL和256 IU/mL。自发恢复,不需要西多福韦治疗。患者患有低伽马球蛋白血症,这是在CAR-T治疗之前;输注后继续下降,并在第77天静脉注射免疫球蛋白。他的血细胞减少持续到+70天,3 - 4级中性粒细胞减少(对粒细胞集落刺激因子无反应)和3 - 4级血小板减少,需要补充血小板。
除了几乎完全的顺行性遗忘和少量的逆行性遗忘外,患者的认知能力持续改善。他的MMSE提高到16/30, 他的正规阿登布鲁克认知测试分数是66/100,在记忆任务中有严重缺陷。在语言流畅性任务的表现上也有显著的损害,部分是由于失忆症,即难以记住任务参数。第82天重复MRI检查发现海马信号改变和肿胀消失,但现在双侧海马萎缩。然而,第82天PET显像发现胃和小肠的小体积疾病复发。患者转至当地养老院进行康复治疗,但在第130天死于进展性疾病,认知功能无明显改善。
该病例明确了接受CAR-T治疗的患者感染并发症的重要性。这与接受同种异体干细胞移植的患者相当,特别是这些患者接受了大量预治疗,并伴有严重的细胞减少和低伽马球蛋白血症。此外,一项单中心回顾性研究发现了四种ICANS的MRI模式;其中,一种以桥脑和海马对称白质改变为特征的自身免疫性脑炎被鉴定出来。HHV6脑炎也可以解释这些发现,并应积极考虑作为一个重要的鉴别诊断,评估患者可能的神经毒性。
医博士编译自:Shah M, Kuhnl A, Shields G, et al. Human Herpesvirus 6 Encephalitis Following Axicabtagene Ciloleucel Treatment for Refractory Diffuse Large B Cell Lymphoma. Hemasphere. 2021; 5(3):e535. doi:10.1097/HS9.0000000000000535.
来源:https://pubmed.ncbi.nlm.nih.gov/33623881/
声明: 所有注明“来源:医博士”的文字、图片和音视频资料,版权均属于医博士所有,转载须注明“来源:医博士”;所有转载文章系出于传递更多信息之目的,且明确注明来源和作者,不希望被转载的媒体或个人可与我们联系,我们将立即进行删除处理。