来源:医博士 | 2021-05-17 作者:李胜佳
病例介绍
88岁女性患者,入院接受右侧胸部肿瘤的评估和治疗。一个月前,患者出现饱腹感,并抱怨右侧胸壁局部疼痛和发热。但无发烧、呼吸困难、咳嗽、咯血、乏力及体重减轻。局部疼痛和发热在没有干预的情况下逐渐消失,然而,饱腹感却越来越严重。超声波检查后怀疑是软组织肿瘤。患者正在接受阿尔茨海默病、高血压和慢性心力衰竭的药物治疗,既往有25包/年的吸烟史,但在3年前戒烟。没有任何免疫抑制症状。入院时,患者没有发热,生命体征稳定,右侧胸部有肿块。肿块不柔软,不易移动。未发现淋巴结病及可触及的淋巴结。
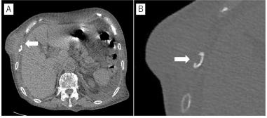
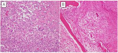
实验室检查显示白细胞计数为7200/μL,C反应蛋白水平为5.03 mg/dL。计算机断层扫描(CT)显示约65 × 30 mm的肿块(图1a)伴有溶骨性改变,累及右侧第8肋(图1b),而没有明显的胸内肺部病变。根据快速生长率和CT表现,强烈怀疑为恶性胸壁肿瘤。因此,通过第8肋整块切除肿瘤。从宏观上看,标本为一个灰白的固体块,大小为7.5 ×5.5 ××4.0厘米。切取标本时,排出大量粘稠脓液。显微镜下,标本表现为坏死灶和非干酪样上皮样细胞肉芽肿伴多核巨细胞(图2a)。肉芽肿性病变延伸至肋骨,浸润骨皮质(图2b)。脓涂片的Ziehl-Neelsen染色显示抗酸杆菌的存在,其培养显示鸟分枝杆菌的生长。最后确诊为第8肋鸟分枝杆菌脓肿。术后,由于患者年龄大,病变解剖切除完整,未接受任何抗生素治疗,术后第12天顺利出院。出院后1个月的随访中,无感染迹象及其他与手术相关的不良事件。

图1. 计算机断层扫描。A:胸壁肿块,约65 × 30 mm。B:右第8肋有溶骨性改变。

图2. 苏木精伊红染色(放大200倍)。非干酪样上皮样细胞肉芽肿伴多核巨细胞形成。肉芽肿性病变浸润骨皮质
讨论
NTM是指除结核分枝杆菌、麻风分枝杆菌和溃疡分枝杆菌以外的分枝杆菌。NTM可引起肺部疾病、淋巴结炎、皮肤病和其他肺外感染。虽然原发性胸壁结核在不同的文献中有报道,但是没有一个孤立的NTM肿块形成脓肿伴胸壁溶骨性改变的报道,特别是在免疫功能正常的患者中。
一般来说,对于NTM病的诊断,必须排除其他感染性疾病。对于皮肤和皮下组织的局限性NTM感染,诊断基于引流物的微生物培养或组织活检。怀疑感染性疾病的可能性,应该在手术前进行简单、紧急和微创的手术,如穿刺活检,以及更先进的影像学检查,以便快速处理病例并降低传播风险。
由于目前可用的抗生素相对缺乏敏感性,并且由于其不良反应难以耐受多种药物的长期疗程,NTM感染的治疗较困难。局部感染性疾病常需手术治疗,但手术标准尚未明确。对有多种药物潜在风险的患者,彻底手术切除局部感染性病变可能是一种可行的选择。
医博士编译自:Shishido Y, Hamakawa H, Minami K, et al. Chest wall pseudotumor: a case of non-tuberculous mycobacterial infection. BMC Infectious Diseases. 2021; 21(1):196. doi:10.1186/s12879-021-05843-z.
参考链接:https://pubmed.ncbi.nlm.nih.gov/33607951/
声明: 所有注明“来源:医博士”的文字、图片和音视频资料,版权均属于医博士所有,转载须注明“来源:医博士”;所有转载文章系出于传递更多信息之目的,且明确注明来源和作者,不希望被转载的媒体或个人可与我们联系,我们将立即进行删除处理。