来源:医博士 | 2021-05-21 作者:宋跃
1958年,库尔斯公司(Coors Company)推出了现代铝制饮料罐。它提供的压力罐可以薄到一张纸,但每平方英寸最多可以承受90磅的压力,这种革命性和实用性得到了全美国的广泛接受。但是在此后的20年中,不断有各科医生反映了由于其铝制弹出式拉环带来的误食和误吸事件。一旦有类似事件发生,大部分患者可以通过食道镜或开胸手术来去除通常包裹在食物、脓液或肉芽组织中的拉环。但其中也包括一位11个月大婴儿被拉环侵袭主动脉弓带来的死亡事件。
病例介绍
患者为一名22岁现役军人,没有明显的既往病史,大约在午夜时分因腹部剧烈的绞痛出现在其单位的医疗站,位置左侧多于右侧下象限。他的症状开始于晚餐后轻度的餐后不适,强度和持续时间逐渐增加。他透露自己有4年随机但反复发作的类似症状。经检查,他的肠鸣音正常,没有腹胀。腹部和骨盆的平片和计算机断层扫描(CT)(图。1)发现异物位于回肠,伴有慢性狭窄。笔者对其进行了小切口回肠段切除术,并发现了嵌入的弹出式标签(图2)。通过吻合钉吻合术以标准的侧面方式重建了肠的连续性。病理检查图3)提示出伴有回肠粘膜下水肿和良性的慢性炎症。2周后患者恢复了正常生活。20周后,活动和饮食都恢复到了正常水平。

图1.腹部成像。(A)腹部平片。一个2.4×1.2 cm的长方形放射密度,其中两个透明区域位于骨正中线的正央。(B)腹部/骨盆CT。回肠远端可见2.4厘米的高密度。(C)腹部/骨盆CT,轴向切片。回肠远端可见2.4厘米的高密度。粪便充满扩张的回肠末端,右结肠增厚,相邻绞股。刚好在这个充满粪便的扩张性回肠末端附近发现了高密度。少量骨盆液(箭头)。(D)腹部/骨盆CT。回肠远端可见2.4厘米的高密度。回盲肠交界处增厚,右结肠增厚。

图2.回收异物。(A)回收的异物和(B)仍附着在饮料罐上的弹出拉环以进行比较。

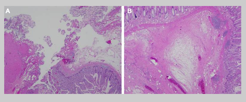
图3.狭窄回肠的组织病理。(A)肠壁中纤维蛋白沉积的缺损区域。(B)良性小肠组织,有粘膜下水肿和慢性炎症。未发现发育异常。
讨论
笔者考虑了该患者的3种治疗选择:开放性切除,腹腔镜切除和内镜取回。根据患者的病史,异物已在肠道中停留了至少4年,而CT成像结果可疑嵌入到肠壁,内窥镜取回又不能解决相关的慢性肠狭窄,这意味着仅去除异物并不一定能防止将来发生腹痛,因此开放性切除似乎是最明确的治疗方法。最终选择了有限的4厘米小切口开腹手术来取出异物并切除了4厘米的狭窄回肠。
放射成像在异物的诊断和定位中起着至关重要的作用。而异物必须与周围的组织形成足够的对比,以便在平片上识别出它们。但是铝具有2.7克/cm3的密度使得难以从周围的软组织以区分,这件事很多病例都报道过该现象。有趣的是,可能由于在腹内时间很长,使得我们这个特殊案例可以在平片和CT上容易识别出来。
小结
此案例表明,铝制弹出式拉片带来的腹痛可能会延迟出现。但是铝不像其他金属那样容易在普通胶片上看到,因此,为了及时诊断和避免继发性损伤,这可能需要结合内镜检查和辅助影像学检查,而这一点即使熟练的医师也时常忽略铝制品。
医博士编译:Ogrydziak CE, Kirkland JW & Falta EM. The aluminum beverage tab and a soldier with chronic abdominal pain. Radiology Case Reports. 2020; 16(1):51-54.
参考链接:https://pubmed.ncbi.nlm.nih.gov/33193928/
声明: 所有注明“来源:医博士”的文字、图片和音视频资料,版权均属于医博士所有,转载须注明“来源:医博士”;所有转载文章系出于传递更多信息之目的,且明确注明来源和作者,不希望被转载的媒体或个人可与我们联系,我们将立即进行删除处理。