来源:医博士 | 2021-05-24 作者:刘雅丽
MMP的病因尚不清楚,但可能与某些外源性因素或免疫介导的疾病有关。由于没有进展到浆细胞或其他血液肿瘤,所以确诊很重要。此病患者的中位年龄为60岁,年龄分布从17岁到84岁不等。从粘膜表面的红斑到真菌性肿块,各种临床表现均有报道。主要组织学特征包括上皮增生或银屑病样改变,多型浆细胞密集浸润。浆细胞可偶尔出现赤褐色小体,但无异型性。所有MMP病例均应进行免疫球蛋白(Ig)基因重排的分子研究,以排除浆细胞的克隆性扩张。在此,本文报道一个罕见的病例及超过15年的随访。
在此报告一位68岁女性,有慢性阻塞性肺病及吸烟史,主诉为喉部持续性病变而导致的长期吞咽困难,首诊于2002年。2002年对喉部病变的活检显示粘膜下浆细胞增多。免疫组化(IHC)和分子检测均未发现克隆性的确切证据。患者免疫球蛋白水平正常,单克隆蛋白免疫固定阴性。全血计数和化学测试均在正常范围内。血清蛋白研究显示游离kappa和lambda轻a链在正常范围内,免疫固定电泳未见单一型免疫球蛋白条带。未发现患者机体有其他肿块。病人在2002年有局限性的颈部淋巴结病,经活检发现良性反应性淋巴结。于2002年接受小剂量强的松治疗,缓解了吞咽困难。患者在接下来的15年中经历了逐渐减量的过程,相当于类固醇治疗。她于2017年再次出现喉乳头状瘤病灶轻度肿大,在免疫固定电泳上未发现单一型免疫球蛋白带,并对病灶进行了重复活检。
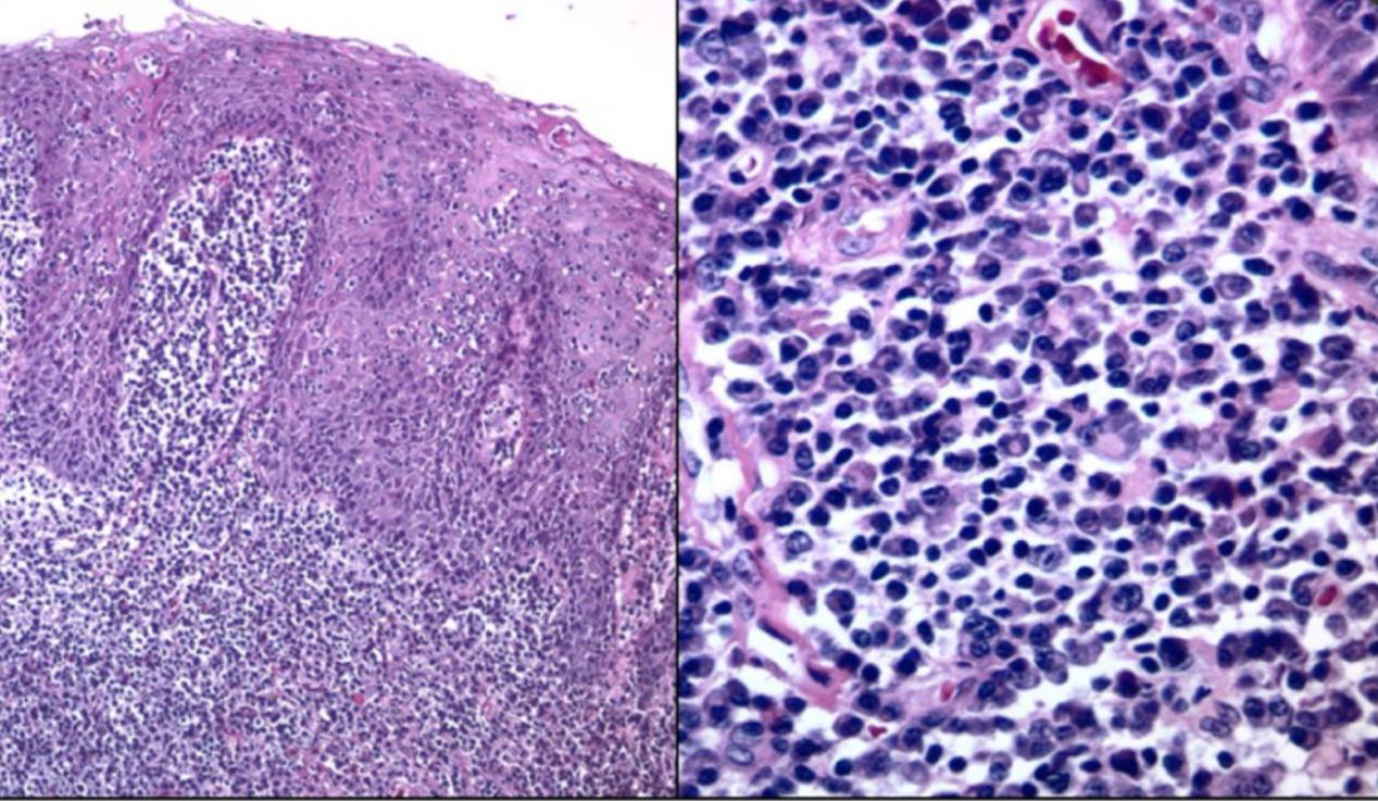
2002年和2017年活检的组织学结果相似。喉活检切片显示鳞状粘膜伴结节状银屑病样上皮增生(图1)。未见异常增生。上皮有中性粒细胞性炎症,偶见微脓肿。存在主要由浆细胞组成的突出的、致密的、粘膜下浸润。浆细胞成熟,细胞核圆形,无明显核仁。IHC研究表明,血浆细胞CD138(可变表达)和CD38呈阳性;CD56、CD20、cyclin D1和HHV8呈阴性(图2)。Kappa和lambda-IHC及原位杂交(ISH)研究显示Kappa:lambda比值升高,但未见单一型轻链表达的确切证据。EBER ISH是阴性的。GMS和螺旋体染色对微生物呈阴性。2002年进行的分子PCR研究表明,克隆性免疫球蛋白重链(IGH)基因重排为阴性。在2017年的活组织检查中,PCR研究显示IGH基因在多克隆背景下的基因重排模棱两可,并且没有IGK、IGL和IGK缺失元件的克隆重排。

图1

图2
MMP的大多数诊断挑战源于其与浆细胞瘤和淋巴瘤的组织学相似性,也可表现为固有层中浆细胞样细胞的密集浸润。因此,有必要对Ig克隆性研究进行适当的诊断。实际上,所有具有MMP长期病史和治疗耐药性的病例,其上皮都有明显的变化,包括假性上皮瘤和/或银屑样变化。 MMP中的浆细胞通常不显示非典型特征,例如突出的核仁或Dutcher体,但Russel体并不少见。浆细胞对CD138和CD38染色呈阳性,而未表达诸如CD56的异常标记。评估组织的HHV8是合理的,因为在卡波济肉瘤中可以看到富含多型浆细胞的混合炎性浸润物。如前所述,通过表面Ig免疫化学染色或原位杂交评估浆细胞浸润的多克隆性质非常重要。评估克隆性的最可靠研究是通过PCR进行的Ig基因重排。考虑到在反应性多克隆背景下,特别是在长期存在的MMP中,存在非特异性选择,通过Ig基因重排解释浆细胞克隆性可能具有挑战性。这些情况应通过比较先前活检的亚克隆进行重新评估。
总之,几乎所有报告的病例都需要进行多次活检和大量的额外研究,才能得到明确的诊断。临床病理相关性是确诊的关键。
医博士编译自:Makarenko VV, Vaezi AE, Brettler DB, et al. Laryngeal mucous membrane plasmacytosis with 15 year follow-up: Case report and literature review. Leukemia Research Reports. 2019; 13:100190. doi:10.1016/j.lrr.2019.100190.
参考链接:https://pubmed.ncbi.nlm.nih.gov/31867207/
声明: 所有注明“来源:医博士”的文字、图片和音视频资料,版权均属于医博士所有,转载须注明“来源:医博士”;所有转载文章系出于传递更多信息之目的,且明确注明来源和作者,不希望被转载的媒体或个人可与我们联系,我们将立即进行删除处理。