来源:医博士 | 2021-05-24 作者:风清扬
病例介绍
患者60岁,上腹不适2个月,自行服用法莫替丁。患者称喉咙痛和舌痛越来越重。于2015年10月就诊,患者第一次就诊时舌面粘膜完好(图1),但是触诊时发现舌背有一个硬的粘膜下肿块,未发现明显的颈部淋巴结病变。

图1 患者第一次就诊时舌面粘膜完好
磁共振成像(MRI)显示舌内肌内1.5×2.3×2.0cm的肿瘤。肿瘤在T1加权像上呈低信号,在T2加权像上呈非均匀高信号(图2)。PET/CT发现舌肿瘤;胰腺体肿瘤从脾静脉侵犯到前面肾旁间隙;多发性肝肿瘤;肺肿瘤;盆腔内的腹膜肿块被认为是播散性的(图3A和B)。CT增强扫描显示胰体肿瘤广泛侵犯脾窦静脉至肾旁前间隙。附着在胰腺肿瘤上的胃浆膜层被破坏,肿瘤侵入胃壁(图4)。因为胃的大部分解剖形态保持不变(图4),所以被认为是胰腺癌侵犯胃,而不是胃癌侵犯胰腺。
图2 MRI对T2加权图像进行轴位观察。MRI在T2加权像上表现为不均匀的高强度异质性病变。肿瘤贴附于右侧舌下腺。

图3(A)PET/CT成像的三维最大强度投影。PET/CT成像的三维最大强度投影显示高达18F-FDG积累的肿瘤占据舌、胰腺、沿胃左动脉的淋巴结、肺的淋巴结和肝脏的多个部位。(B)PET/CT轴位观察。胰腺的病变附着在胃的浆膜层上。胰腺18F-FDG高蓄积性病变由脾静脉至肾旁前间隙。

图4对比增强CT。增强CT显示胰腺体肿瘤。附着在胰腺肿瘤上的胃浆膜层被破坏,肿瘤侵入胃壁(黄色箭头)。胃左动脉淋巴结肿大(红色星号)。然而,胃的浆膜层大部分保持形状。
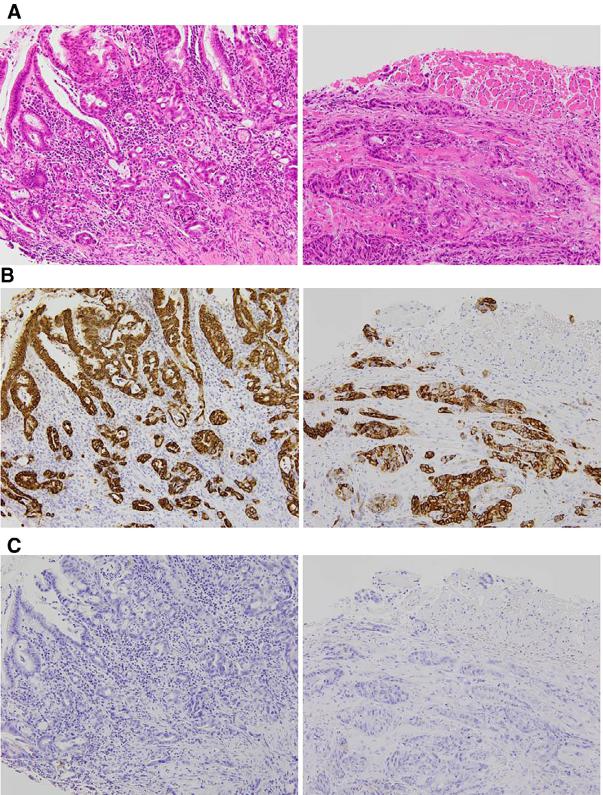
为进一步确诊,进行了舌活检和胃粘膜溃疡性病变活检。H&E染色显示胃腺癌。免疫组化染色显示MUC5AC和MUC6阳性,MUC1和MUC2阴性。这些免疫组化结果表明,该肿瘤是胃癌而不是胰腺癌,因为胰腺癌通常MUC6为阴性,MUC1为阳性。根据上述检查,确诊为低分化胃腺癌断。舌活检显示病变特点与胃癌病变相似,免疫组化显示MUC5AC、MUC6阳性,MUC1、MUC2阴性。最终诊断为转移性胃腺癌。病理图像如图5A-C所示。

图5病理图像。(A)H&E染色。左:胃活检与腺癌的特征一致,腺癌由不同直径的小管、不规则的索和簇组成。腺癌从粘膜表面到粘膜肌层,主要在固有层。观察到具有印戒细胞成分的高分化至低分化管状腺癌(×200)。右图:舌活检标本的H&E染色显示腺癌主要由不规则的索和簇组成,偶见导管结构。腺癌侵犯了舌肌。中、低分化腺癌伴舌肌破坏(×200)。(B)MUC5AC染色。左:胃肿瘤细胞:非肿瘤性小凹上皮细胞均呈阳性(×200)。右:舌肿瘤:MUC5AC染色阳性(×200)。(C)MUC1染色图像(×200)。左:胃部肿瘤细胞和邻近的非肿瘤细胞MUC1(×200)呈阴性。右:舌肿瘤细胞MUC1(×200)呈阴性。
综合这些影像学和组织病理学检查结果,临床诊断为胰腺癌和胃癌,并伴有腹膜播散和舌转移。作为一线治疗,FOLFIRINOX按以下方案分9个周期进行治疗:奥沙利铂85mg/m2静脉滴注2小时以上,亮氨酸200mg/m2静脉滴注2小时以上,伊立替康180mg/m2静脉滴注90分钟以上,5-氟尿嘧啶(5-FU)400mg/m2,然后2400mg/m2,在一个周期内持续输注46小时。
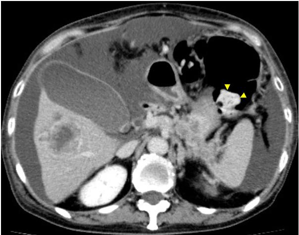
在开始使用FOLFIRINOX后的CT评估中,胰腺和淋巴结的大小减小,多发性肺和肝转移性病变和腹膜病变没有生长,但胃和舌肿瘤的大小在6个月时有所增加(图6)。完成9个周期的FOLFIRINOX治疗,并按照以下方案开始FLTAX治疗:5-FU60mg/m2/天作为一个静脉滴注,l-亮氨酸250mg/m2/天作为一个2小时的静脉滴注,紫杉醇80mg/m2/天作为一个1小时的静脉滴注,在第1、8和15天每28天重复一个周期。因为口服困难,所以给病人进行了剂量为30Gy、分为10个部分的姑息性照射,之后口服治疗。

图6 造影开始后6个月,增强CT轴位。胃肿瘤增大(黄色箭头)。
右侧小脑半球有转移。病人在第一次就诊的8个月后,经过2个周期的FLTAX治疗后死亡。在姑息性放疗后1个月的增强MRI上,观察到
医博士编译自:Yumi M, Hiroyuki H, Jun O, et al. Metastatic gastric adenocarcinoma of the tongue with initial symptoms of glossodynia. Current Problems in Cancer. 2019; 43(6):100481. doi:10.1016/j.currproblcancer.2019.05.004.
参考链接:https://pubmed.ncbi.nlm.nih.gov/31146958/
声明: 所有注明“来源:医博士”的文字、图片和音视频资料,版权均属于医博士所有,转载须注明“来源:医博士”;所有转载文章系出于传递更多信息之目的,且明确注明来源和作者,不希望被转载的媒体或个人可与我们联系,我们将立即进行删除处理。