来源:医博士 | 2021-06-09 作者:李胜佳
严重急性呼吸综合征冠状病毒2型(SARS-CoV-2)是导致目前全球范围内冠状病毒肺炎(COVID-19)流行的病原体。随着资源的耗竭和疾病的持续传播,人们很容易忘记对肺炎最常见的病因进行筛查。本病案描述了三例SARS-CoV-2感染并发肺炎链球菌感染病例的表现,影像学改变和临床结局。
病例1
51岁男性,既往有肺气肿、阿片类药物滥用和HIV病史,未接受抗逆转录病毒治疗,因酒精中毒和右侧胸膜胸痛就诊。不能确定是否有发烧、咳嗽或气短的病史。
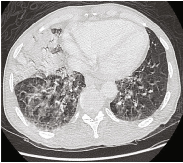
患者就诊时体温为98.8华氏度,血压为143/82mmHg,心率为84bpm,呼吸频率为21bpm,室内空气中的氧饱和度为82%。呼吸系统检查显示双侧湿罗音,双侧空气进入不良。胸部CT显示双侧磨玻璃样阴影和右中叶实变(图1)。

图1
患者的氧合状态逐渐恶化,需要以每分钟15升的速度吸氧。患者接受了哌拉西林和他唑巴坦治疗社区获得性肺炎。入院时的全血细胞计数显示白细胞为5.1,除了AST和ALT分别升高至108和78以外,其余均正常。动脉血气显示pH值为7.31,pCO2为47 mmHg,pO2为66 mmHg。降钙素原升高至0.13ng/mL。入院第二天,患者检测出SARS-CoV-2阳性,并在下呼吸道培养中检测到了肺炎链球菌。
患者的抗生素治疗方案改为强力霉素。尽管CD4计数低至10.2,但该患者没有其他机会性感染。由于同时使用美沙酮和担心QT间期延长,患者没有接受羟氯喹治疗。在入院的第3天和第5天患者分别发烧100.8华氏度和100.7华氏度,但在住院8天期间一直没有发烧,使用无呼吸面罩进行的氧疗逐渐减少到2 L鼻插管。患者出院回家时情况稳定,不需要任何氧气供应。
病例2
62岁男性,既往有高血压、糖尿病和冠状动脉疾病病史,主诉全身无力、肌痛、劳累性呼吸困难、胸膜胸痛和持续5天的干咳。入院时,患者体温为102.8华氏度,血压为150/79mmHg,心率为120 bpm,呼吸频率为20bpm,室内空气中的氧饱和度为90%。患者通过4 L鼻插管补充氧气。
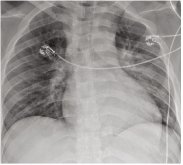
入院时的全血细胞计数显示白细胞为11200/mcL,中性粒细胞计数升高。患者患有急性肾功能衰竭,血尿素氮和肌酐分别为28mg/dL和1.69mg/dL。降钙素原升高至2.18 ng/mL。胸部X光片显示双侧下叶浸润(图2),患者因社区获得性肺炎接受多西环素治疗。

图2
入院第二天,通过鼻拭子PCR检测SARS-CoV-2阳性,此外肺炎链球菌阳性。患者开始服用普拉奎尼并继续抗生素治疗。入院第二天,不再需要补充氧气,患者成功出院回家后,口服了5天的多西环素。
病例3
21岁男性,既往有1型糖尿病病史,因虚弱、发烧、咳嗽、胸膜胸痛以及血糖升高就诊。入院时,患者的体温为100.2华氏度,血压为135/97mmHg,心率为131bpm,呼吸频率为30bpm,室内空气中的氧饱和度为95%。入院时的全血细胞计数显示白细胞升高,为27900/mcL。血糖为408mg/dL,阴离子间隙升高,血清碳酸氢盐为10mmol/L。患者被诊断为糖尿病酮症酸中毒,并接受胰岛素滴注和静脉输液治疗。
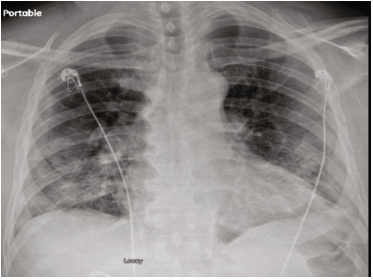
胸片显示双侧肺门周围浸润,开始服用头孢曲松进行抗生素治疗(图3)。出于对SARS-CoV-2肺炎的担忧,他开始服用羟基氯喹。患者症状在24小时内好转,2天后出院回家。出院后,诊断显示SARS-CoV-2阳性,血培养呈肺炎链球菌生长。患者被召回医院治疗菌血症和COVID-19肺炎。

图3
恢复使用头孢曲松,完成5天疗程的羟氯喹。在4天的住院期间,患者一直保持着无发热和血流动力学的稳定。不需要补充氧气治疗。反复血培养呈阴性后,患者出院回家后口服青霉素治疗。
总结
全球正在应对SARS-CoV-2大流行,目前已有上千万人感染,数十万人死亡。以往的呼吸道病毒大流行中,细菌复合感染可以导致更高的死亡率和发病率。然而,目前关于SARS-CoV-2大流行和相关联感染的文献有限,根据各种横断面研究报告感染率在1%到8%之间。目前的文献不赞成在确诊的SARS-CoV-2感染中使用经验性的广谱抗生素。本病案报告三例确诊的SARS-CoV-2感染合并肺炎链球菌感染。这些病例表明,尽管需要抗生素管理,但同时检测常见病原体的重要性。
医博士编译自:Pal C, Przydzial P, Chika-Nwosuh O, et al. Streptococcus pneumoniae Coinfection in COVID-19: A Series of Three Cases. Case reports in pulmonology. 2020; 2020:8849068. doi:10.1155/2020/8849068.
声明: 所有注明“来源:医博士”的文字、图片和音视频资料,版权均属于医博士所有,转载须注明“来源:医博士”;所有转载文章系出于传递更多信息之目的,且明确注明来源和作者,不希望被转载的媒体或个人可与我们联系,我们将立即进行删除处理。