来源:医博士 | 2021-06-10 作者:宋小跃
胆囊疾病和消化系统溃疡的临床表现非常相似,而妊娠期消化道溃疡可因雌激素和孕激素水平变化导致。本病案报道了一名产后女性患者发生消化道溃疡,其临床表现、症状及体征与急性胆囊炎相符,而术中发现十二指肠穿孔,且形成了胆肠瘘,分享其临床经验。
病例介绍
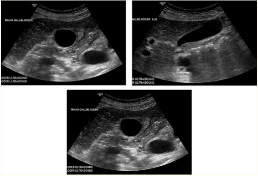
一名产后34岁女性患者,孕3产2,产后5天因右上腹疼痛于我院急诊就诊,尤其以餐后疼痛为主,伴有恶心呕吐,24小时内患者疼痛加重。查体发现患者生命体征平稳,上腹偏右侧区域压痛明显,伴有轻度腹胀,无腹膜炎体征,但患者墨菲征阳性。实验室检查回报,白细胞升高,钾低。肝胆脾彩超检查发现患者胆囊壁增厚,0.45cm,胆囊周围可见积液,未见胆结石,胆总管直径正常,如图1-3所示。

图1-3 胆囊壁增厚,0.45cm,胆囊周围可见积液,未见胆结石,胆总管直径正常
因患者病情渐重,行腹腔镜下胆囊切除术。术中见子宫体积较大,腹盆腔可见血性积液,胆囊与十二指肠粘连较重,分离粘连处,可见胆囊与十二指肠瘘,如图4。首先将胆囊切除,在处理十二指肠穿孔部位,用腹腔镜贴片修补溃疡穿孔部位,大网膜将其覆盖,如图5所示。患者术后恢复良好,两天后开始恢复流食,四天后拔除引流管,无腹痛,饮食正常,无发热,予以出院,术后病理回报为慢性胆囊炎。

图4 胆囊十二指肠瘘,可见胆囊及十二指肠全层穿孔

图5 修补后的十二指肠,大网膜覆盖
妊娠期消化性溃疡疾病是一种少见疾病,临床表现包括恶性,呕吐,上腹痛等,可伴随整个孕期。发病原因可能是孕酮水平身高,刺激胃液分泌增加,导致消化道穿孔,感染,出血的风险升高,而产后服用非甾体类药物可能加重消化道溃疡。
小结
胆囊炎症与消化道溃疡表现相似,溃疡穿孔的临床表现症状更突出。尽管曾报道过胆总管结石合并胆管炎导致十二指肠穿孔的案例,但发病起初症状定位模糊,容易漏诊。胆肠瘘通常是因胆囊结石伴慢性胆囊炎引起,特别是胆囊与十二指肠瘘最为常见,外科医生应注意此疾病发生。但究其原因是胆囊炎引起的胆囊十二指肠瘘还是因十二指肠溃疡引起的胆囊十二指肠瘘,尚不清楚,需要进一步研究。
医博士编译:Jain A, Azzolini A & Kipnis S. A unique presentation of perforated duodenal ulcer in a postpartum woman: a case report. International Journal of Surgery Case Reports. 2020; 2020(12):rjaa459. doi:10.1093/jscr/rjaa459.
声明: 所有注明“来源:医博士”的文字、图片和音视频资料,版权均属于医博士所有,转载须注明“来源:医博士”;所有转载文章系出于传递更多信息之目的,且明确注明来源和作者,不希望被转载的媒体或个人可与我们联系,我们将立即进行删除处理。