来源:医博士 | 2021-06-29 作者:刘雅丽
由于影像学检查的频繁使用,肾上腺肿块通常是在横断面成像后发现的。肾上腺偶发瘤的鉴别诊断包括骨髓脂肪瘤、嗜铬细胞瘤、先天性肾上腺增生、腺瘤和癌。生化测试和后续影像学检查通常用来区分这些肾上腺肿块。肾上腺髓质脂肪瘤(AM)是唯一具有病理影像学特征的肾上腺肿瘤,可通过x线诊断。这些良性肾上腺瘤保守治疗,快速生长或有症状的肿瘤可考虑手术切除。在这里,我们报告了一例巨大的右肾上腺脂肪肿块合并严重镰状细胞病(SCD)。
病例介绍
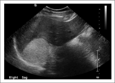
一名38岁男性,既往有2型糖尿病和血红蛋白SCD病史,于2014年在内分泌外科诊所接受初步评估。他在接受腹部超声检查时偶然发现右肾上腺肿块(图1)。患者无任何腹痛、体重增加或可归因于肿块效应的症状。他唯一的主诉是疲劳,他把这归因于他的SCD。此时,包括血浆后肾功能和低剂量地塞米松抑制试验在内的生化指标正常。

图1
考虑到在随访期间肿块的体积显著增大,患者被安排进行手术,但未能进行随访。他在2018年再次来到我们的诊所,重新建立护理并讨论手术。
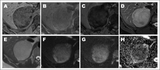
回顾以往针对不同临床指征进行的影像学研究,发现2001年和2011年右侧肾上腺肿物仅为1cm和4.4cm,在后续影像学研究中快速增长(图2)。2014年,无对比剂的腹部磁共振图像(评估肾功能不全)显示8.4 cm的右侧肾上腺肿物,呈T2信号,提示软组织信号强度。同相和反相T1图像和脂肪抑制序列分别证实了微观和宏观脂肪(图3)。2015年,无对比剂的计算机断层扫描(CT)显示进行性增大至9.6 cm和10.1 cm,可见大体脂肪。脾脏和骨性改变与已知的SCD一致。

图2

图3
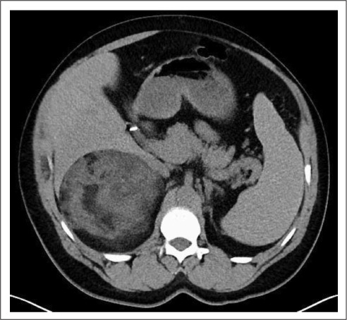
2018年的后续CT扫描显示右侧肾上腺肿物的最大尺寸为12.3 cm;同时也显示了明显更多的宏观脂肪(图4)。再次显示与SCD相关的脾脏和骨性改变。

图4
病人最初的实验室检查并不起眼。血红蛋白为13.1 g/dL(参考范围为13.7~17.5 g/dL),白细胞计数为7.4 103/μL(参考范围为3.7~10.3 103/μL),血小板计数为113 103/μL(参考范围为155~369 103/μL),平均红细胞体积为78 fL(参考范围为79~98 fL),平均红细胞血红蛋白为28pg(参考范围为26~32pg)。
他的生化检查也正常。甲状腺素为0.35 nmol/L(参考范围<0.9 nmol/L),后甲状腺素为<0.2 nmol/L(参考范围<0.5 nmol/L),血清胆红素为1.7 mg/dL(参考范围0.2~1.1 mg/dL),血尿素为8 mg/dL(参考范围7~21 mg/dL),血清肌酐为1.0 mg/dL(参考范围0.8~1.3 mg/dL),总钙为8.8%mg/dL(参考范围为8.9~10.2mg/dL),空腹血糖401mg/dL(参考范围为74~99mg/dL),丙氨酸转氨酶64IU/dL(参考范围为11~41IU/dL),天冬氨酸转氨酶43IU/dL(参考范围为12~40IU/dL)。低剂量地塞米松抑制试验显示,早晨皮质醇水平为1.7μg/dL(参考范围<1.8μg/dL)时,出现了适当的抑制。
患者于2019年因镰状细胞危象再次入院,血红蛋白为8.6 g/dL(参考范围为13.7至17.5 g/dL),血小板计数为83 103/μL(参考范围为155至369 103/μL),进行了一个简单的腹腔镜手辅助右肾上腺切除术。标本长17.0×14.5×8.0cm。肿块表面肾上腺组织稀少,大小为3.7×0.7cm,确诊与组织病理学证实,并显示AM。病人术后SCD管理一直欠佳,1年后发作一次镰状细胞危象。
小结
在血液病患者中可以看到罕见的AM快速增大的病例。AM是良性肿瘤,很难与EMH鉴别。如果诊断仍不明确,可进行经皮穿刺活检。AM的处理取决于其大小和症状。对于有症状或病灶≥10cm的患者,建议手术切除,较小或无症状的病变应保守治疗。
医博士编译自:Davari P, Lee CY, Lee JTA, et al. a rare case of rapidly enlarging myelolipoma in sickle cell disease. AACE Clinical Case Reports. 2020; 6(2):e54-e58.
声明: 所有注明“来源:医博士”的文字、图片和音视频资料,版权均属于医博士所有,转载须注明“来源:医博士”;所有转载文章系出于传递更多信息之目的,且明确注明来源和作者,不希望被转载的媒体或个人可与我们联系,我们将立即进行删除处理。