来源:医博士 | 2021-06-30 作者:宋小跃
乳房容积计算是乳房重建手术前的重要评估过程,它影响着乳房植入物的选择或者自体组织重建的组织量。但是由于缺乏每种方法准确性相比较的信息,因此至今没有一个得到广泛接受的测量方法。
目前已有的乳房体积测量方法包括:钼靶、磁共振成像(MRI)、计算机断层扫描、铸形、人体测量和三维(3D)成像技术。当下医学界普遍认为MRI扫描准确性和可重复性最高,但是,该项目最大问题在于费用昂贵且费时。3D成像具有良好的耐受性,非侵入性,并且可在短时间内执行且易于处理。但现今整形外科医生更喜欢根据临床经验来评估乳房体积,这无疑增加了手术难度以及术后不对称等并发症的概率。
方法
本项研究意在根据3D成像结果所测体积与MRI值进行比较,调查3D成像是否是在临床实践中确定客观乳房体积的可靠工具。
为了确定乳房边界,3D成像软件会自动在以下位置识别界标:胸骨切迹(SN),锁骨中部,乳头,乳晕,内侧乳沟(MMF)和外侧乳沟(LMF)。如果自动标记检测不成功或不令人满意,则可以手动放置或调整标记。3D成像系统具有使用集成在系统中的方法来计算乳房体积(ROI的封闭对象和定义的胸壁)的算法。它会自动处理,仅需几秒钟。

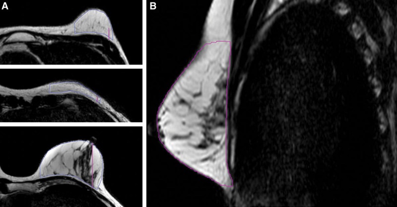
(图. 乳房的MRI图像。A,对于此目标区域,使用乳房凸面的轮廓来定义上下边界。B,在上下边界之间的轴向图像上绘制了目标区域。)
使用SPSS(IBM SPSS Statistics,v 23.0.0,IBM Corporation)执行统计分析。时间从2016年12月至2017年6月。
结果
3D成像所测的乳房体积测量显示出极好的可靠性(类内相关系数:0.991),与MRI测量的可靠性(类内相关系数:0.990)相当。使用3D乳房体积测量的平均(SD)乳房体积为454 cm 3(157),而MRI则为687 cm 3(312)。这些体积显着不同,但可以发现线性关系:y(MRI)= 1.58×(3D)–40。三维乳房体积与整形外科医生对体积的估计没有显着差异(472 cm 3(69)) ,P=0.323)。
讨论
三维乳房测量值低于MRI乳房测量值,容量的结果和差异取决于乳房的大小,对于较小的乳房体积显示较小的差异,对于较高的乳房体积显示较大的差异。
MRI的临床应用的缺点是其测量位置。在MRI检查期间,患者处于俯卧姿势,因此腋窝组织向前方移动,并有可能将体积加到乳房上。而3D成像中,患者处于站立位置,外侧及边缘组织对其影响不大。因此,受试者的姿势从仰卧到直立的变化会导致乳房皮肤某些部位的明显拉伸,尤其是在乳头上方,从而导致不同患者位置的体积不同。
结论
3D成像系统测量的乳房体积小于MRI。但是,3D测量显示与MRI呈线性关联,并具有出色的可靠性,使其成为适用于临床实践的客观且可重复的测量方法。由于3D成像不会因个人经验而异,这意味着医学界正在向标准化的乳房评估和手术方法中迈出的重要一步。
医博士编译: Killaars RC, Preuβ MLG, de Vos NJP, et al. Clinical Assessment of Breast Volume: Can 3D Imaging Be the Gold Standard? Plastic and Reconstructive Surgery – Global Open. 2020; 8(11):e3236. doi:10.1097/GOX.0000000000003236.
声明: 所有注明“来源:医博士”的文字、图片和音视频资料,版权均属于医博士所有,转载须注明“来源:医博士”;所有转载文章系出于传递更多信息之目的,且明确注明来源和作者,不希望被转载的媒体或个人可与我们联系,我们将立即进行删除处理。