来源:医博士 | 2021-07-01 作者:李胜佳
产生甲胎蛋白(AFP)的食管腺癌(EAC),通常预后较差,因为这些肿瘤常在晚期阶段被发现,并且具有隐匿性。大多数病例均无法通过手术和化学疗法治疗。血清AFP的连续测量可能有助于监测临床状况和治疗反应。本病案报告一例极为罕见的产生AFP的EAC。
病例介绍
75岁女性,既往有胃食管反流病病史,多次上消化道镜检查和结肠镜检查后出现Barrett食管状态,表现为进行性虚弱、疲劳、食欲减退和弥漫性腹痛,持续3周。患者表示,她正在积极接受针灸治疗,在过去3-5年中,针灸治疗缓解了她的胃食管反流病症状,直到入院前1个月症状恢复。她否认有胃肠道恶性肿瘤家族史。患者承认偶尔有固体食物吞咽困难,最近一个月体重减轻了约5磅,进行性全身无力和跌倒。入院时,除心率为123次/分的心动过速外,生命体征均无异常。体检时,患者反应灵敏,腹部柔软,伴有轻微的上腹部压痛。考虑到患者的心动过速,进行肺部CT血管造影以排除肺栓塞。偶然发现了胃壁增厚,腹腔淋巴结肿大和多个肝脏肿块(图1)。

图1. 有/无静脉或口服造影剂的腹部和骨盆的CT检查显示肝转移灶
实验室检查结果显示CEA显著升高742ng/mL(正常≤3ng/mL),AFP为46135ng/mL(正常<12ng/mL),CA19-9为6842u/mL(正常0-37u/mL)。上消化道内视镜检查发现食管远端有一个大肿块,并没有完全阻塞管腔,但肿块延伸到胃中(图2)。

图2. 内镜检查发现食管远端有大肿块伴出血,肿块从远端食管延伸到胃
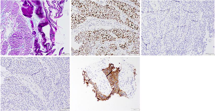
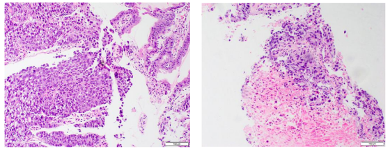
组织切片及免疫组化染色证实EAC。患者的肿瘤标记物未证实Barrett上皮的任何发现及任何反映反流性食管炎的粘膜变化。组织中HER-2阴性,高达20%的胃食管腺癌可见,并且免疫组化染色CDX2、CK7和Heppar1呈阳性,CK20呈阴性。根据组织化学特性进一步证实肿瘤不太可能由肝细胞癌转移引起(图3)。对其肝脏中一个大病变进行穿刺活检并进行AFP染色后,显示有肝转移的EAC(图4-5)。通过普通外科手术放置一PORT-A-CATH,患者出院并计划接受门诊随访。

图3. 食管肿块100倍放大:阿尔辛蓝染色、CDX2染色、嗜铬粒蛋白染色、突触素染色,肝脏肿块100倍放大:CK7免疫组化染色

图4. 食管腺癌苏木精伊红染色100倍放大
图5. 肝转移癌苏木精-伊红染色100倍放大
在门诊部,患者接受了FOLFOX方案的姑息性化疗。开始治疗3-4天后患者开始出现虚弱,疲劳,恶心,食欲下降,体重减轻。重复CT扫描显示已知肝转移灶明显减小。
几个月后,患者因肿瘤性疾病的症状性贫血再次出院。患者表示,自上次住院以来的3个月内,她开始逐渐出现劳累性呼吸困难的恶化。通过胸部和腹部CT评估呼吸困难的症状,并显示肝脏转移性疾病的进展,最大转移灶的大小增加,尽管她的转移性淋巴结病保持不变。
讨论及小结
产生AFP的EAC是一种极为罕见的疾病,文献中也很少有病例报道。甲胎蛋白是一种糖蛋白,通常由胎儿肝脏和卵黄囊产生,在妊娠第六周开始产生。在婴儿出生后一年内,AFP水平正常为10–15ng/mL(正常<12ng/mL)。AFP水平升高是恶性转化的肿瘤标志物;然而,AFP水平升高很少与EAC相关。产生AFP的EAC可分为两种组织学亚型:肝样腺癌(HAC)和产生AFP的EAC。由于晚期表现和/或隐匿的症状,EAC肿瘤预后较差。有必要进行钡剂检查、活检或内窥镜检查以确认诊断,还需要通过免疫组织化学检查进行进一步研究,以避免分类错误以及亚型分化。免疫组化染色可进一步确定肿瘤起源于食管胃交界处还是肝转移。肝细胞癌(HCC)的转移性疾病中,细胞角蛋白19或α-1抗胰蛋白酶阳性。在晚期表现的情况下,EAC的手术被认为是无效的,尤其是对于有多种合并症的患者。产生AFP的肿瘤和EAC以其对化疗药物的耐药性而闻名,这进一步增加了治疗方案的复杂性。血清AFP的连续测定已被证明可用于监测临床状况和治疗反应。临床医生在肝功能不全或AFP水平升高的情况下,尤其是在没有慢性肝病的情况下,在鉴别诊断时,应考虑产生AFP的EAC.
医博士编译自:Khalid Y, Dasu N, Reja D, et al. An Extremely Rare Presentation of an Alpha-Fetoprotein-Producing Esophageal Adenocarcinoma. Case Reports in Gastroenterology. 2020; 14(3):497–503.
原文链接:https://pubmed.ncbi.nlm.nih.gov/33250688/
声明: 所有注明“来源:医博士”的文字、图片和音视频资料,版权均属于医博士所有,转载须注明“来源:医博士”;所有转载文章系出于传递更多信息之目的,且明确注明来源和作者,不希望被转载的媒体或个人可与我们联系,我们将立即进行删除处理。