来源:医博士 | 2021-07-09 作者:李胜佳
阴沟肠杆菌是一种厌氧革兰氏阴性菌,主要存在于肠道,广泛分布于土壤、水和污水等环境中。有报告发现,由于某些手术清洗液和手术设备的定植,细菌污染了医疗设备,从而导致医院内爆发。在过去的几十年里,阴沟肠杆菌已经成为最常见的医院内病原体之一,特别是重症监护病房和烧伤病房。细菌通常引起败血症、尿道炎和下呼吸道感染,但很少引起败血症性骨关节炎。
肩周炎是一种疼痛和活动受限的疾病,在40-65岁的女性中相对普遍,临床特征与肩袖撕裂相似。本病案报告一位52岁女性,有6年右肩疼痛和活动受限的病史。在核磁共振发现脓肿和肩袖撕裂之前,患者被诊断为肩周炎,接受了无效的治疗。
病例介绍
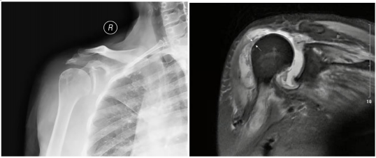
一位52岁女性因发烧、喉咙痛、急性严重右肩疼痛伴烧灼感、红肿入院。患者有高血压、高脂血症、肾结石和肾积水的病史,为此每天服用苯磺酸左旋氨氯地平和阿托伐他汀钙。患者无任何感染性关节炎的常见危险因素,如免疫抑制、糖尿病、近期创伤或手术。六年前,患者感到右肩慢性疼痛,活动受限。大约在急性发作前一个月,她在当地诊所接受了5次右三角肌注射曲安奈德,以缓解最近恶化的疼痛,之后症状暂时缓解,同时出现反复发热。最后一次给药后两天,患者肩关节剧烈疼痛,被动活动极少,局部皮肤温度升高,出现红肿,喉咙痛。右肩关节X线片检查发现右肩关节退行性变(图1)。
患者体温为38.3℃,血液检查显示白细胞水平升高至12.70×109/L(正常范围为4.0-10.0×109/L),血沉(ESR)为65 mm/h(正常范围为0-20 mm/h),C-反应蛋白(CRP)水平显著升高至41.2 mg/dL(正常范围为0.8-8 mg/dL)。根据血液检查结果和临床症状,患者被诊断为肩周炎伴上呼吸道感染。服用消炎止痛药塞来昔布8天后,病情没有得到改善。

图1. 后前视图显示退行性改变
图2. 右肩MRI显示冈上肌腱撕裂(箭头)和巨大脓肿。
为了进行全身治疗,患者被转诊到骨科。MRI结果显示肩关节脓肿(图2)。从关节中取出26ml红色脓液(正常范围0.1-2ml),随后进行分析。细胞数量为46000个/mm3(正常范围200–700/mm3)、97%为多形核(PMN)白细胞(正常范围 < 25%),阴沟肠杆菌阳性,真菌培养试验为阴性。
结合物理、临床、放射学检查和实验室检查,诊断为化脓性关节炎,并实施外科治疗方案,包括关节镜下清创和冲洗。关节镜下可见关节盂肱关节滑膜增生,散在淡黄色絮状物,肩袖大量撕裂。考虑到肩关节感染,没有立即进行肩袖撕裂修补术,但关节腔内充分冲洗。根据抗菌药物敏感性试验结果,患者从手术当天开始静脉注射左氧氟沙星(300 mg,q12h)。5天后,她的肩部疼痛明显减轻,体温恢复正常。出院后口服左氧氟沙星抗生素进行抗菌治疗(0.5g,qd)。
不幸的是,患者疼痛加重、关节肿胀、局部皮肤温度升高等症状在12天后复发。体温升高至38.1℃,白细胞水平为11.72×109/L,血沉升高至75 mm/h,CRP升高至69.1 mg/L。考虑到患者上次手术留下的伤口尚未完全愈合,再次静脉注射左氧氟沙星(300毫克,q12h),而未进行手术清创和冲洗。患者的病情在再次住院期间逐渐好转。19天后,症状明显缓解,白细胞水平降至8.66×109/L,血沉降至19 mm/h,CRP降至3.53 mg/L。因此,静脉注射改为口服。在再次住院的第24天,患者出院并口服左氧氟沙星(0.5g,qd)2周。出院后电话随访2年。虽然患者拒绝接受肩袖撕裂修补手术,但随访资料显示她不再有肩关节肿胀和剧烈疼痛,但轻度疼痛和活动受限仍然存在。
讨论
阴沟肠杆菌是引起各种医院感染的机会病原体,越来越多的证据表明其是骨关节炎的常见病因。截至目前,这是第一例有文献记载的免疫功能正常的病人患阴沟肠杆菌性肩关节炎,而且没有明显的易感危险因素。通过本病案可提醒临床医生,当亚临床炎症标志物增加时,即使患者的临床特征与肩周炎相一致,也应考虑感染性关节炎的可能性。此外,无论术后是否无症状,接受侵入性手术的患者都可能发生骨关节感染。
医博士编译自:Huang J, Xu Q, Liu F, et al. Enterobacter cloacae infection of the shoulder in a 52-year-old woman without apparent predisposing risk factor: a case report and literature review. BMC Infectious Diseases. 2021; 21(1):13. doi:10.1186/s12879-020-05699-9.
声明: 所有注明“来源:医博士”的文字、图片和音视频资料,版权均属于医博士所有,转载须注明“来源:医博士”;所有转载文章系出于传递更多信息之目的,且明确注明来源和作者,不希望被转载的媒体或个人可与我们联系,我们将立即进行删除处理。