来源:医博士 | 2021-07-12 作者:毛毛虫
髋关节一过性骨质疏松症(TOH)通常是特发性疾病,具有良好的预后和自我限制。 在生命的第4或第5期的男性、妊娠的第三个月和产后早期,孕妇中常观察到TOH。 在临床病史和检查后最重要的诊断方法是磁共振成像(MRI)。在此病例报告中,TOH的诊断和治疗将超过男性TOH。
病例介绍
患者男,43岁,因左髋疼痛在一个月左右恶化及行走困难而入院。患者自述疼痛为突发性,无外伤史,行走时疼痛加重。有吸烟史,无饮酒史,无病史,及服用药物史。疼痛发生后服药,但并无缓解。
在检查患者时,发现髋关节活动范围右侧开放,左侧内旋20°,其他方向开放。左侧FABER检验为阳性。据观察,患者走路时避免扭伤左腿。
实验室检查c反应蛋白(CRP)水平为6 mg/L, 25-羟基维生素D水平为20.6 ng /mL,血象生化检查均在正常范围内。骨盆正位片无明显病理改变。因此,要求对髋关节进行核磁共振成像。
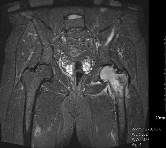
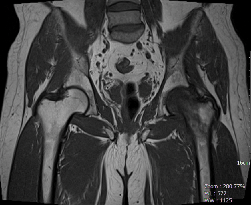
MRI显示股骨头和颈部出现严重的髓样水肿,左髋关节有叶状积液,还有一个小小的松散体(图1,2)。没有创伤史的患者被认为是TOH。

图1:T1 涡轮反转恢复幅度(TIRM))冠状位MRI

图2;T1涡轮自旋回波(TSE)冠状位MRI
随后,使用双能X线吸收仪(DXA)测量了骨矿物质密度(BMD),腰部2-4 T评分为-1.3,股骨颈T评分为-1.7。首先计划保守治疗,嘱患者休息,建议使用助行器减轻股骨头负荷,使用非甾体抗炎药(NSAID)控制疼痛。并建议使用双膦酸盐疗法,但由于患者拒绝,因此没有启动。加用碳酸钙,胆钙化醇片剂和维生素D滴剂治疗,一个月后患者到门诊复诊。
小结
由此病例可以发现,髋关节疼痛的鉴别诊断也应考虑TOH。使用MRI以明确诊断,并注意应用保守治疗。
医博士编译自:Ciftci S, Dogu B, Terlemez R, et al. Transient Osteoporosis of the Hip: A Case Report. Sisli Etfal Hastansi Tip Bulteni. 2020; 54(4):505-507.
声明: 所有注明“来源:医博士”的文字、图片和音视频资料,版权均属于医博士所有,转载须注明“来源:医博士”;所有转载文章系出于传递更多信息之目的,且明确注明来源和作者,不希望被转载的媒体或个人可与我们联系,我们将立即进行删除处理。