来源:医博士 | 2021-07-13 作者:多巴胺
肿瘤睾丸转移很少见,除白血病和淋巴瘤之外,最常见的原发肿瘤部位为前列腺,其次是肺,黑色素瘤,肾脏和胃。本病案报道一例罕见的大肠癌睾丸转移,分享其临床经验。
病例介绍
一名37岁的男性患者近两年来患者体重明显降低,近期出现明显腹痛,既往无疾病史,近亲无肿瘤疾病史。
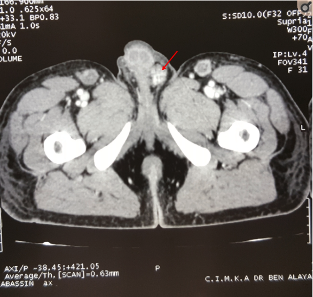
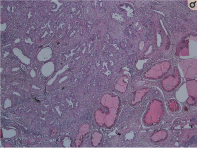
行胸腹部CT检查,提示直乙交接肿瘤狭窄,左侧结节性睾丸,如图1所示。睾丸超声提示左侧异位结节,睾丸鞘膜积液;结肠镜检查提示直肠肿瘤性梗阻。因患者出现腹膜炎体征,行急诊手术,术中见直乙交界肿瘤,横结肠肿瘤,左半肝肿瘤转移,行横结肠肿瘤切除术,结肠双腔造瘘,左侧睾丸切除,肝转移癌活检。术后病理提示结肠腺癌,肝脏病灶与结肠同源,睾丸病理未见睾丸实质,可见癌性增生,仅可见曲细精管结构,如图2。

图1 睾丸左侧混杂密度影,可见结节性睾丸

图2 睾丸癌性增生 可见曲细精管结构
结直癌发生率高,首先发生局部的淋巴结转移,可转移至肝肺,而睾丸转移很少见,通常在尸检中发现。1988年,专家Meacham报告了一例32岁男性患者因结肠癌出现睾丸疼痛,证实了结肠癌睾丸转移。1950年至2017年,共报告了5例结直肠癌睾丸转移病例。睾丸转移属于远处器官转移,阴囊温度较低,血液循环较差,是睾丸转移少见的原因,一些专家认为睾丸转移的患者预后较差,而部分专家认为睾丸的转移的预后好于其他器官转移,有待进一步研究。
小结
结直肠癌患者睾丸转移罕见,预后通常具有一定未知性。对于结直肠癌患者以及淋巴增生性疾病患者的化疗随访中,睾丸检查应纳入常规检查一部分。
医博士编译:Gabsi A, Mnif A, Adouni O, et al. Testicular metastasis of colorectal carcinoma: A new observation. Case Reports in Urology. 2020; 35:101544. doi:10.1016/j.eucr.2020.101544.
声明: 所有注明“来源:医博士”的文字、图片和音视频资料,版权均属于医博士所有,转载须注明“来源:医博士”;所有转载文章系出于传递更多信息之目的,且明确注明来源和作者,不希望被转载的媒体或个人可与我们联系,我们将立即进行删除处理。