来源:医博士 | 2021-08-11 作者:李胜佳
肺朗格汉斯组织细胞增生症(PLCH)是一种罕见的炎症性疾病,主要影响吸烟者的肺部。影像学上可表现为多发性、上叶为主、实性及空洞性结节,但表现为孤立性肺结节(SPN)者少见。本病案描述了一例通过低剂量肺癌筛查CT(LDCT)上发现的SPN,在正电子发射断层扫描(PET)上可疑,最终手术病理发现为PLCH。
病例介绍
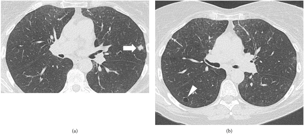
63岁女性患者,吸烟,有15包/年的吸烟史,在另一家医院接受肺部LDCT检查以评估和处理一个肺部结节。LDCT胸部显示左上叶11 mm结节,边缘有毛刺。其他影像学特征包括上叶为主的小叶中心气肿,一些微小的钙化结节,可能是陈旧性肉芽肿,以及两个小的薄壁囊肿(图1)。患者按照建议完成了全身PET/CT扫描。PET/CT扫描显示结节具有(18)F-氟脱氧葡萄糖(FDG)的亲和力,标准摄取值(SUV)为4.2(图2),身体其他部位无异常摄取。患者的症状包括偶尔咳嗽,否认有明显的呼吸急促、发烧、发冷、盗汗、体重减轻及咯血等症状。

结节,1.1 cm,,边缘有毛刺(箭头),右下叶薄壁实质囊肿(箭头),右上叶一个微小的钙化结节(细箭头)。左上叶不规则形状图1. (a,b)胸部CT轴位图像显示

图2. 轴向,PET–CT图像显示左上叶结节FDG摄取增加,SUV为4.2(箭头)
考虑到患者的年龄、吸烟状况和影像学特征,高度怀疑为肺癌。经过多学科的评估,决定进行诊断性楔形切除术和随后的左上叶切除术(如有必要)。在手术过程中,楔形切除术的冰冻切片分析显示一个10 mm的结节伴有非典型肺泡II型细胞增生。怀疑有鳞状腺癌特征,左上叶切除完成。患者出院时没有出现并发症。
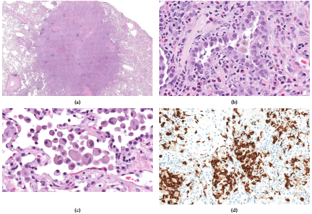
福尔马林固定石蜡包埋结节切片显示肺泡间隔扩张伴大量嗜酸性粒细胞、肺泡巨噬细胞积聚和局灶性机化性肺炎(图3)。肺泡Ⅱ型细胞增生,在以前的冰冻切片中表现为非典型,现在看起来是反应性的。组织学表现与肺朗格汉斯组织细胞增生症一致。免疫组化显示病灶内有成簇的S100、CD1a和langerin阳性Langerhans细胞,证实了诊断。

图3. 肺结节的组织学特征。(a)低倍图像显示一个实体结节,边缘模糊(苏木精-伊红染色,放大8倍)。(b)高倍镜下可见明显的反应性肺泡Ⅱ型细胞增生。肺泡间隔扩张并含有分散的嗜酸性粒细胞(苏木精-伊红染色,放大400倍)。(c)另一高倍镜显示肺泡巨噬细胞聚集在结节边缘(苏木精-伊红染色,放大400倍)。(d)免疫组化显示结节内有成簇的朗格汉斯细胞(放大400倍)
在门诊,建议患者戒烟作为预防疾病进展最重要的干预措施。最初建议每3-6个月定期随访一次,进行肺功能检查和胸部CT检查,以评估是否进一步发展为以结节性或囊性疾病恶化和纤维化形式的肺实质受累。
讨论
SPN的评估涉及恶性肿瘤的适当风险分层和权衡干预措施的潜在危害,特别是在肺癌CT筛查时。肺癌筛查中发现的肺结节的病因主要是良性的,如感染、炎症或肉芽肿性疾病。PLCH表现为孤立性肺结节者十分罕见,仅有少数几例与SPN类似的恶性肿瘤并被切除。在用于肺癌筛查的低剂量CT扫描时代,需要进一步对筛查出的结节进行诊断检查,并且需要仔细考虑所有病因,包括那些较不常见的病因。
医博士编译自:Baig H, Sonavane S, Makey I, et al. Pulmonary Langerhans Cell Histiocytosis Presenting as a Solitary Pulmonary Nodule on a Lung Cancer Screening CT. Case Reports Pulmonology. 2020; 2020:8872111. doi:10.1155/2020/8872111.
声明: 所有注明“来源:医博士”的文字、图片和音视频资料,版权均属于医博士所有,转载须注明“来源:医博士”;所有转载文章系出于传递更多信息之目的,且明确注明来源和作者,不希望被转载的媒体或个人可与我们联系,我们将立即进行删除处理。