来源:医博士 | 2021-08-12 作者:毛毛虫
病例介绍
患者为49岁男性农民,入院前10天因咯血转至笔者医院。有咯血史,突然开始时血量约为200cc,随后几天逐渐减少为轻度咯血。患者有声音嘶哑的病史但没有胸痛、发热或胸部创伤的病史。病人的病史没有任何先天性或获得性全身性疾病。没有服用任何特殊药物,在家庭问题的研究中也没有发现任何项目。患者烟瘾很大,对酒精没有依赖。
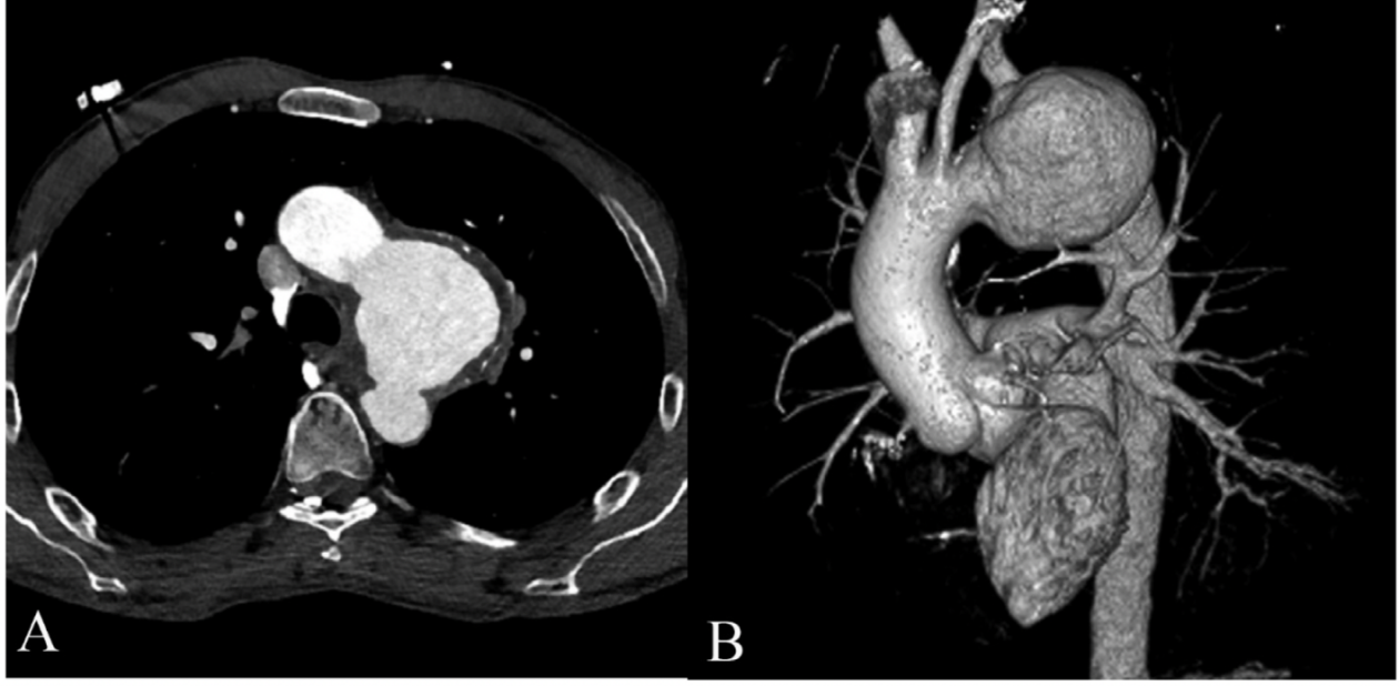
患者双臂血压125/85 mmHg,心率正常85 bpm。体格检查的其余部分都很正常。螺旋CT血管造影显示主动脉弓有一个巨大的动脉瘤,从左颈总动脉的起点开始,并延伸到降主动脉第一节(图1A-B)。仔细寻找动脉瘤部分与气道之间的联系,但没有发现任何联系。由于过去几天有大量咯血病史,因此开始为患者提供紧急治疗;因此,应用了混合程序。

图1: A)主动脉瘤螺旋CT血管造影。B)动脉瘤三维重建后
病人被转移到手术室。 在全身麻醉和双腔气管插管后,进行正中胸骨切开术。 给予1 mg / kg肝素后,心包打开,并仔细解剖主动脉弓,无名动脉和左颈总动脉。使用Dacron Y型移植物(尺寸16-8)对所提到的主动脉弓分支进行分支。 它向近端倾斜,并吻合到升主动脉的前外侧。然后将左侧颈总动脉缝合处近端结扎,远端与Dacron Y涤纶移植物内侧肢体吻合。对无名动脉采用相同的程序。 肝素可通过硫酸鱼精蛋白逆转,而在常规过程中止血后可闭合胸骨和伤口。
手术期间双侧脑血氧饱和度在正常范围内。首先使用血管内装置闭合左锁骨下动脉(SCA),然后使用覆盖支架从升主动脉至降主动脉近端置入胸廓血管内主动脉修复术(TEVAR)。在TEVAR程序中,使用2个ProGlide装置(闭合装置)经皮插入了股总动脉(CFA)。首先,左SCA被18毫米PDA阻塞器阻塞。封堵器位于SCA口与椎动脉分离之间。闭塞SCA后,将38-34-209真力时Alpha胸腔近端组件装置通过CFA插入并放置在足弓处。同时,通过CFV插入了临时起搏器(TPM)导线,其尖端放置在右心室(RV)的顶点。TPM引起心率突然升高(约200 / min),血压下降至平均动脉血压50 ~ 60 mmHg;这一过程阻止了在主动脉弓0区部署时装置的移动。支架置入位置正确,移植部分放置在主动脉至头臂动脉和左侧颈总动脉搭桥术后;这促进了0区最长时间的封闭,同时使移植物正常灌注。在右心室快速起搏时,确定最佳位置后,尽快部署装置,以减少装置移位的风险。移植物部署后发生1A型肠内漏,在快速右心室起搏时在移植物近端进行顺应性球囊充气。最终结果令人满意,没有任何明显的内漏。撤回输送系统,并通过关闭Pro Glide缝合线实现止血。在完成主动脉造影上没有泄漏的迹象。
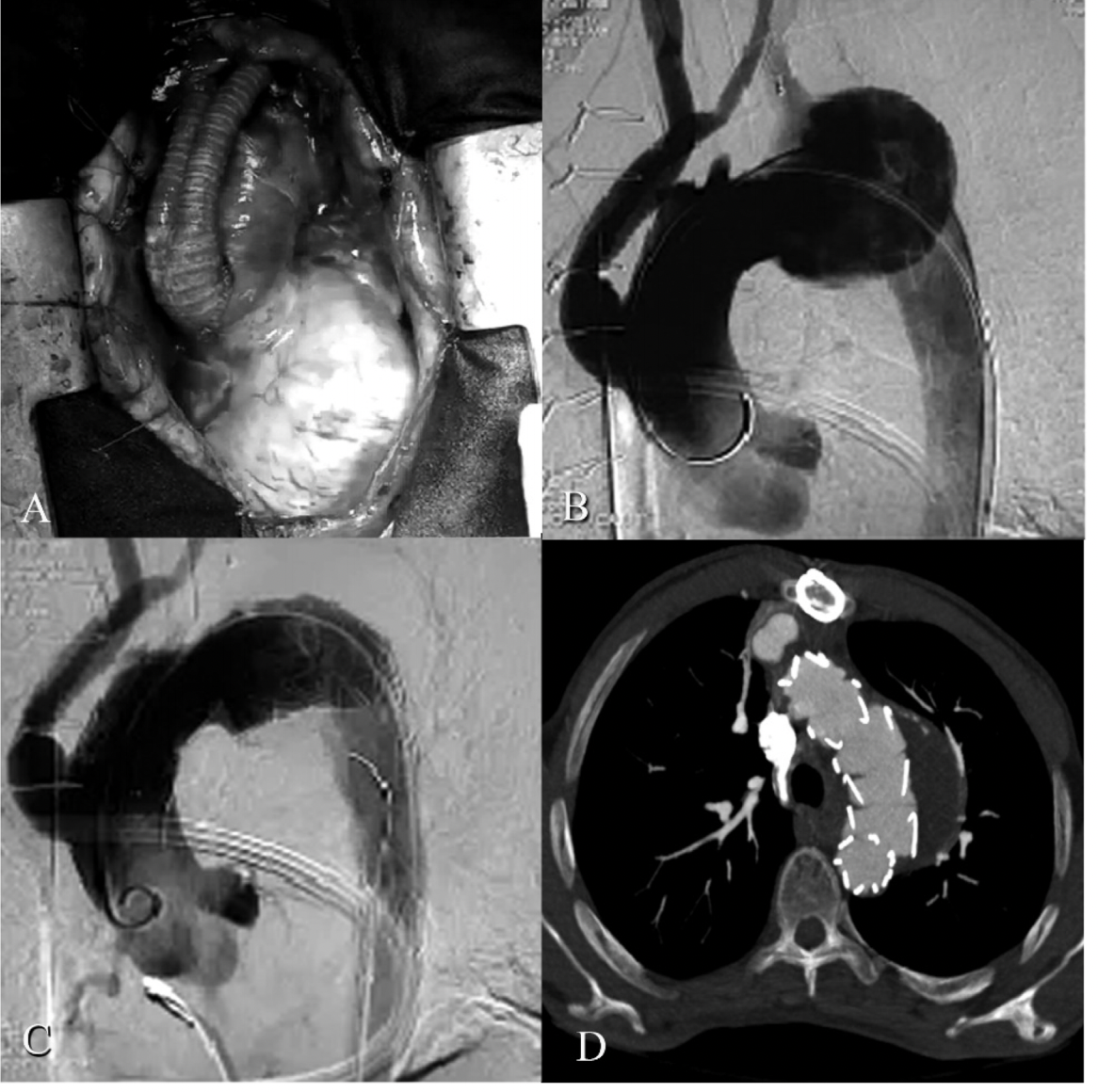
该患者没有神经系统并发症的证据,并且在24小时内出院,生命体征稳定,无症状。混合手术后5天内进行CT血管造影扫描(图2)。

图2: A)分支无名和左颈动脉后升主动脉的术中视图;B)主动脉根部注射后的造影图像; C)支架部署后相同的血管造影图像;D)手术后5天进行CT血管造影。动脉瘤囊血栓形成
小结
本病例中发现,对于需要紧急干预的TAA患者(例如该患者有大量咯血),混合方法似乎是有利的。
医博士编译自:Ali S, Amirhosein J, Sanaz A, et al. Hybrid management of thoracic aortic aneurysm in a patient with massive hemoptysis: A case report. International Journal Of Surgery Case Reports. 2020; 77:595-598. doi:10.1016/j.ijscr.2020.11.058.
声明: 所有注明“来源:医博士”的文字、图片和音视频资料,版权均属于医博士所有,转载须注明“来源:医博士”;所有转载文章系出于传递更多信息之目的,且明确注明来源和作者,不希望被转载的媒体或个人可与我们联系,我们将立即进行删除处理。