来源:医博士 | 2021-08-12 作者:毛毛虫
黏液瘤是一种罕见的良性肿瘤,其病因不明。根据已发表的资料,眼睑神经鞘黏液瘤和眼眶黏液瘤的报道很少。眼睑神经鞘黏液瘤与各种黏液样神经鞘瘤有相似的表现,历史上这两种诊断被认为是可以相互替换的。目前,可以通过组织学染色的蛋白免疫反应来找到正确的诊断方法。 当前,在已发表的文献中,还没有关于诊断为神经鞘粘液瘤的患者眼睑生长的家族史的文献。
病例介绍
患者为19岁男性,左下眼睑病变经历了多次切除后复发。患者主诉过去几个月中左下眼睑复发性增长。值得注意的是,该患者母亲、姨妈和表弟的眼睑都有相似的病变。否认有任何吸烟或非法药物使用史。
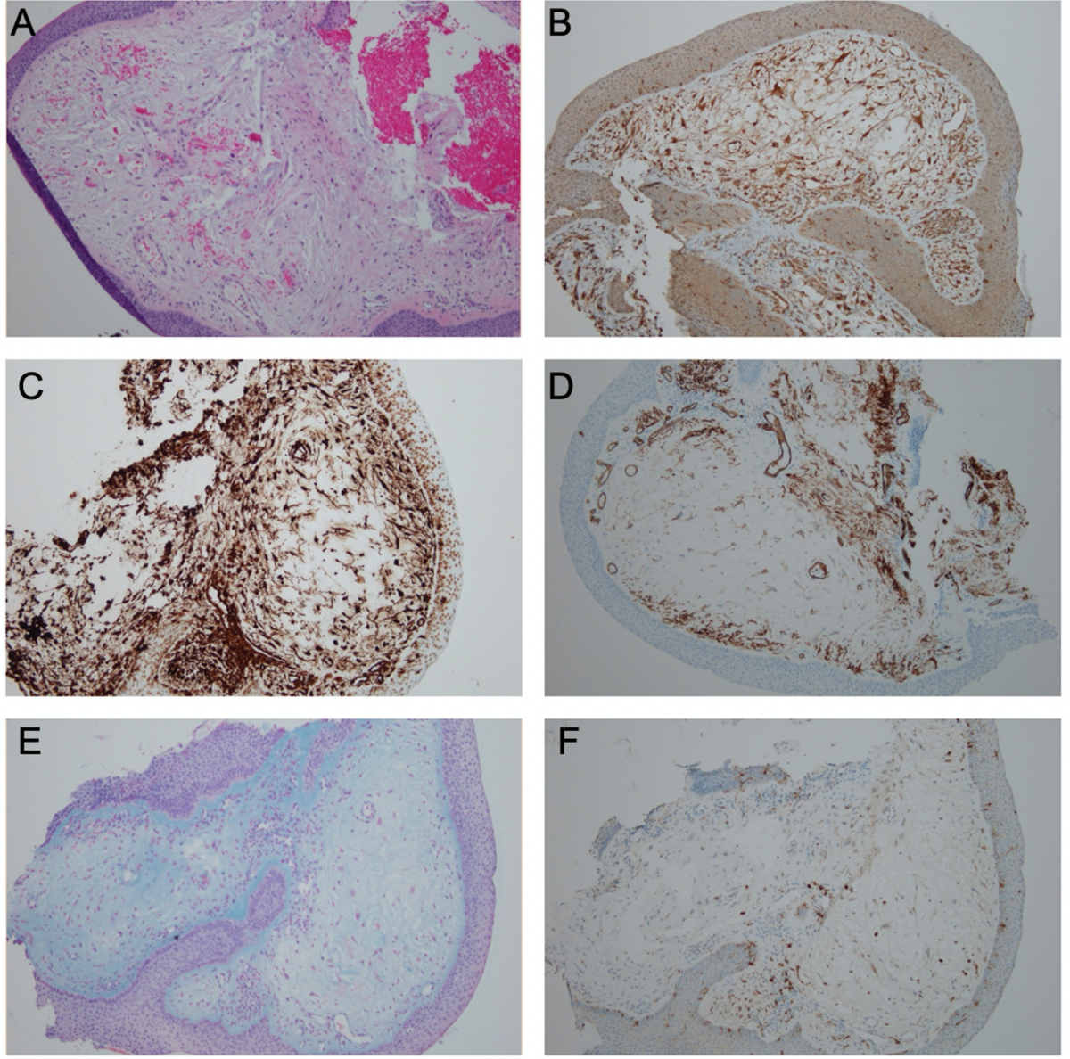
患者主诉左眼视力模糊,但否认有任何其他眼疾。对于直径约5 mm的左下眼睑囊性病变,检查显着,左眼撕裂时间缩短。其余的眼部检查无异常。在没有任何并发症的情况下,在诊所进行了切除活检,并将组织送去进行组织病理学评估。粗略地看,组织样本由两个形状不规则的黄/灰/白色团块组成,其大小为0.3×0.3×0.1 cm。常规苏木精和伊红染色显示良性梭形星状细胞和上皮样细胞嵌在黏液样间质中(图1A)。基于这些信息,鉴别诊断包括神经鞘黏液瘤、神经鞘瘤和黏液样神经纤维瘤。胶质纤维酸性蛋白(GFAP)(图1B)、波状蛋白(图1C)、CD34(图1D)、阿尔辛(图1E)和S-100(图1F)免疫染色阳性,但上皮膜抗原(EMA)免疫染色阴性。

图1: 该图显示了从患者活检样品中放大100倍得到的免疫组织化学(IHC)结果。 (A)H&E染色的黏液样基质中包埋的良性纺锤状星状和上皮样细胞的图像(B)GFAP IHC染色的图像强烈弥散(C)Vimentin IHC染色的图像为阳性(D)CD 34 IHC染色显示阳性结果(E) 阿尔辛蓝色染色的图像显着为阳性,突出了粘液样基质(F)S100 IHC染色的图像显示为局灶性弱阳性
由于组织样本不足,小眼症转录因子(MiTF)染色无贡献。 除了阳性S-100染色外,GFAP的强表达还有助于诊断神经鞘粘液瘤。GFAP和S-100免疫染色通常阴性。明显的黏液样改变可能与最初怀疑的囊性病变相似。既往病史对这次遭遇发生前两年的左下眼睑生长具有重要意义,因此将其移除。有趣的是,当时的组织病理学报告是一个0.4×0.2×0.2 cm的灰色肿块。病理结果显示组织符合皮肤受刺激的纤维上皮息肉。真菌的周期酸-希夫(PAS)染色阴性。Ki-67没有显示增殖活性的增加。进一步的测试可能表明病变可能与这种情况下的病变相似。但笔者没有以前的活检组织病理学报告。
小结
综上所述,神经鞘黏液瘤是一种罕见的肿瘤,在眼睑上发生的频率更低。免疫组织化学染色可鉴别神经鞘黏液瘤和神经瘤。神经鞘黏液瘤的其他重要鉴别诊断包括浅表血管黏液瘤(皮肤黏液瘤)和神经鞘瘤。本病例强调免疫组化染色对鉴别神经鞘黏液瘤和神经瘤的重要性。由于文献中病例较少,考虑到患者有多个近亲属的相似眼睑病变病史,更多的病例报道可能提供更强的遗传易感。由于复发率高,切缘清晰、随访密切的全切除是最好的治疗方法。
医博士编译自:Rodney CG, Fareed R, Ma Jl, et al. A Case Report of a Nerve Sheath Myxoma of the Lower Eyelid in a Young Male. Cureus. 2020; 12(11):e11747. doi:10.7759/cureus.11747.
声明: 所有注明“来源:医博士”的文字、图片和音视频资料,版权均属于医博士所有,转载须注明“来源:医博士”;所有转载文章系出于传递更多信息之目的,且明确注明来源和作者,不希望被转载的媒体或个人可与我们联系,我们将立即进行删除处理。