来源:医博士 | 2021-08-13 作者:宋小跃
Madelung病(MD)也称为Launois-Bensaude综合征,是一种罕见疾病,其特征是近端上肢和颈部存在异常弥漫性脂肪瘤病。在大多数患者中,颈部受累会导致一种称为马德龙项圈或马项圈的特殊体征。在60%到90%的患者中,MD与慢性酒精中毒有关,尽管酒精摄入与MD之间的因果关系尚不清楚。
病例介绍
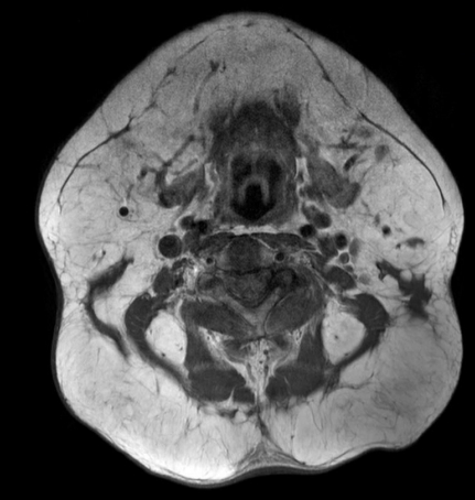
本例患者是一位66岁的男性,近在两年多的时间里出现了颈枕部大量的软组织生长(图1)。他酗酒严重,但没有相关病史。体格检查显示前颈部(马德龙项圈)弥漫性增大,后颈部有三个巨大隆起。内分泌检查结果正常,实验室检查(包括血脂)未发现异常。术前进行磁共振成像(MRI)以区别于其他疾病,如病态肥胖症、神经纤维瘤病、库欣综合征和淋巴瘤(图2),结果显示颞部和枕部以及颈部I-III和V级和后颈部的对称性大量脂肪增生,这与MD的诊断一致。
手术以解决颈部轮廓隆起为主,综合采用小切口抽吸祛脂和皮下解剖去除颈前、后深浅脂肪团,颈前附加一场约15cm切口去除多余皮肤。术后患者恢复良好,无不良并发症。

图1

图2

图3
讨论及小结
基于解剖脂肪分布,将MD分为两种类型。1型肥胖者脂肪分布对称,主要集中在颈部、肩部、锁骨上三角和上肢近端;2型肥胖者颈部和上干不受影响,腹部和大腿有脂肪沉积,容易与正常肥胖相混淆。在MD中,脂肪堆积是非包膜的,沿着血管和肌肉平面分布,而在脂肪瘤中,脂肪堆积则包裹在皮下空间。
目前治疗MD最佳的办法是手术,方法包括脂肪切除和吸脂,在这个过程中,医生要足够熟悉头颈部解剖关系,同时要做到充分止血。在所描述的病例中,笔者介绍的是经单一前横切口行脂肪切除术,并在前颈部和后颈部增加吸脂,以尽可能消除脂肪团,改善轮廓和对称性。然而,术中发现患者的脂肪浸润是弥漫性分布的,甚至靠近神经和血管,与正常结构的界限不清楚。由于非常容易损伤重要的组织结构,如脊髓副神经和颈外动脉和静脉,因此很难完全切除脂肪浸润。此外,此类脂肪沉积被纤维间隔包围,会导致更多出血,使得此类吸脂比脂肪瘤或肥胖患者的单纯吸脂更困难。
笔者认为MD 的治疗方法需要进一步完善,继续探究如何才能既改善外形又减少损伤。而此病例仅仅是通过吸脂结合单一前横切口矫正的一种方法。
医博士编译:Jang N, Shin HW, Kim J, et al. A case report of Madelung's disease. Archives of Craniofacial Surgery. 2020; 21(5):305-8.
声明: 所有注明“来源:医博士”的文字、图片和音视频资料,版权均属于医博士所有,转载须注明“来源:医博士”;所有转载文章系出于传递更多信息之目的,且明确注明来源和作者,不希望被转载的媒体或个人可与我们联系,我们将立即进行删除处理。