来源:医博士 | 2021-08-24 作者:宋小跃
内镜逆行性胰胆管造影术(ERCP)是胆管疾病的重要诊断和治疗方法,但ERCP术后也可能出现严重的并发症,包括胰腺炎,胆管炎,十二指肠穿孔等。本病案报道一例ERCP术后患者发生逆行性感染,引起化脓性肝脓肿,分享其临床经验。
病例介绍
一名69岁的男性患者因过度饮食后出现右上腹痛,于我院急诊科就诊。既往患者糖尿病,高血压,缺血性心脏病病史,行冠状动脉搭桥手术,阑尾切除术和腹股沟疝修补术。
查体发现患者右上腹压痛明显,墨菲在阴性;抽血检查发现患者白细胞计数正常,肝功能酶学改变,总胆红素和直接胆红素正常;肝胆脾彩超提示脂肪肝,胆囊大小形态正常,胆囊壁未增厚,胆囊结石。患者通过抗炎及对症治疗后,症状体征明显好转,抽血检查基本恢复正常,建议出院。
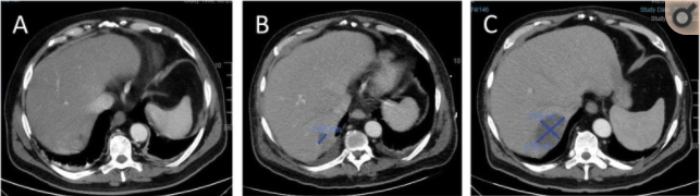
患者出院两周后因再次出现腹痛症状,行超声内镜检查,发现胆囊结石,胆汁淤积,同时发现胆总管轻度扩张,两处充盈缺损,遂行ERCP治疗,术中切开十二指肠乳头,网篮取出胆总管结石,术后24小时患者出现寒战发热症状,肝功能异常明显(AST224U/L,ALT121U/L,ALP160U/L,GGT570U/L),经验性使用头孢和甲硝唑治疗,但寒战发热症状并未好转,血象持续升高,术后第三天行全腹CT检查,发现肝脏VII段可见一低密度病灶,如图1。

图1 ERCP术后腹部CT可见肝脏VII段可见一低密度病灶,3天(a),7天(b),26天(c)
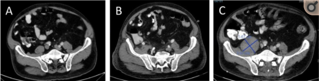
术后第8天,血培养结果回报克雷伯杆菌及肠球菌感染,将抗生素升级为亚胺培南,但患者仍有腹痛症状,无腹膜炎体征,C-反应蛋白160mg/L,白细胞计数13x109,中性粒细胞比例83%,再次复查全腹CT,发现肝脏VII段低密度灶增大,考虑化脓性肝脓肿,如图1b,但此次增强CT发现患者右侧腰大肌脓肿,如图2a,决定继续抗炎及对症治疗,未行引流,两天后,患者腹痛减轻,肝功能基本恢复正常。患者出现腰痛及行走困难,查体发现L4-L5棘突压痛,行腰椎磁共振(MRI),出现了脊髓神经根压迫,并在ERCP术后第19天出现了骨脓肿,转至骨科行手术治疗,术中行L5椎间盘局部切除,骨膜外脓肿切开引流,留置引流管。术后脓液培养为克雷伯杆菌阳性,继续抗炎治疗,但患者仍有发热症状,术后第7天出现肝脓肿,病灶为肝VII段低密度不规则病变,大小约4.8cm,如图1C。后续患者继续抗炎治疗6周,引流通畅,切口预后良好,复查腹部CT,脊髓MRI,肝脓肿和骨脓肿消失,出院6周后再次行腹腔镜胆囊切除术。

图2 ERCP术后复查腹部CT,发现腰大肌脓肿,3天(a),7天(b),26天(c)
小结
本病案报道了一例ERCP术后发生胆管炎,形成肝脓肿患者,随后发生了克雷伯杆菌感染的菌血症,发生化脓性骨髓炎,通过多科学协助治疗,患者得以康复。虽然ERCP普及程度越来越广泛,但临床医生应注意术后并发症发生的可能性,早期发现并诊断并发症对患者的预后至关重要。
医博士编译:Merei F, Shapiro G, Shakra IA, et al. A unusual case of multifocal pyogenic abscess formation following ERCP procedure. BMC Surgery. 2020; 20(1):92. doi:10.1186/s12893-020-00759-y.
声明: 所有注明“来源:医博士”的文字、图片和音视频资料,版权均属于医博士所有,转载须注明“来源:医博士”;所有转载文章系出于传递更多信息之目的,且明确注明来源和作者,不希望被转载的媒体或个人可与我们联系,我们将立即进行删除处理。