来源:医博士 | 2021-09-01 作者:李胜佳
假肠膜明串珠菌是明串珠菌属的一种。明串珠菌是乳制品生产、发酵、酿造和制糖工业中的一种必需细菌,不是一种常见的病原体,由其引起的感染非常罕见。本病案报告一例淋巴瘤患者肺部弥漫性浸润病灶,经支气管冷冻活检(TBCB)获得满意的肺活检标本。在肺组织中,培养出假肠膜明串珠菌,并通过质谱得到证实。这是首例假肠膜明串珠菌引起肺部感染的报告。
病例介绍
一名55岁妇女5年前因上腹部疼痛入院。体格检查发现浅表淋巴结肿大,行淋巴结活检,病理诊断为弥漫性大B细胞淋巴瘤,给予NCID、NCOD、NCID、ECHOP、ECHOP、CHOP化疗方案6次,疗效良好,病情得到控制,之后定期随访。
1年前,左颈淋巴结进行性肿大,考虑淋巴瘤复发,患者再次接受RCHOP和CHOP方案两次治疗。化疗后白细胞减少,长期维持在2~3×109/L之间。4个月前,患者反复低热,无明显诱因,活动后体温升高。
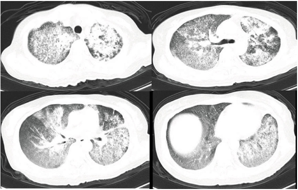
1个月前,患者接受胸部CT扫描,CT显示双肺弥漫分布的微小结节,镜面状毛玻璃密度影及实变影,边缘模糊,胸膜下区相对较少,双肺纵隔和肺门可见多发钙化淋巴结影,双侧胸腔有轻微积液(图1)。

图1. 患者胸部CT改变特点
患者入院进行第四次诊断和治疗。入院后体温在38℃~39.5℃波动,血常规显示白细胞在1.8~2.5×109/L之间波动,两次血培养均为阴性。骨髓穿刺提示骨髓增生不活跃,组织细胞占2%。入院后多次对患者进行痰培养,均为阴性。由于患者基础免疫力低下,合并血源性肿瘤,怀疑感染引起肺部病变。先后给予头孢西丁、亚胺培南/西司他丁钠、万古霉素和伏立康唑。但体温尚未恢复正常,呼吸困难症状仍较严重。
为了确定患者的肺部主要表现是否为感染或淋巴瘤转移,对患者进行支气管镜下冰冻肺活检。2016年1月8日,在全身麻醉下进行经支气管冷冻活检。活检前收集肺泡灌洗液进行培养。肺泡灌洗液结果显示,微生物培养阴性,未发现淋巴瘤细胞。病理结果:可见肉芽肿性炎症、坏死物质及少量玻璃样组织。免疫组化结果包括CK(-)、EMA(-)、CD68(+)、Ki67 5%(+)、PAS(-)、CD45(+)、CD20(-)和CD3(+)。排除淋巴瘤肺浸润。5天后,肺组织培养显示假肠膜明串珠菌(图2)。随后,临床实验室及质谱法再次确认细菌类型。

图2. 假肠膜明串珠菌的显微图像
假肠膜明串珠菌对万古霉素具有天然的耐药性。青霉素是治疗的首选。由于患者持续服用万古霉素500毫克q12h*10天,亚胺培南/西司他丁钠1克q8h*12天,伏立康唑200毫克q12h*7天,直到获得培养结果,决定患者使用青霉素1.92克q8h和伏立康唑治疗。不幸的是,即使更换药物后,该患者也因严重的呼吸衰竭而死于多器官功能衰竭。
讨论
明串珠菌属不是人类正常微生物菌群的一部分,免疫力低下和危重病人是这种病原体的高危人群。尤其应重视万古霉素使用过程中耐药菌的鉴定。肺组织活检为了解这种细菌的致病过程提供了新的思路。经支气管冷冻活检(TBCB)可帮助临床医生诊断弥漫性病变,即使是危重病人仍然可以在呼吸机支持下进行手术。尽快完善病理活检有助于提高患者的治疗率,减少经验性治疗的错误率。
医博士编译自:Dai L, Li Y, Zhang X, et al. The First Case of L. pseudomesenteroides Pulmonary Infection and Literature Review. Case Reports in Pulmonology. 2020; 2020:8818491. doi:10.1155/2020/8818491.
声明: 所有注明“来源:医博士”的文字、图片和音视频资料,版权均属于医博士所有,转载须注明“来源:医博士”;所有转载文章系出于传递更多信息之目的,且明确注明来源和作者,不希望被转载的媒体或个人可与我们联系,我们将立即进行删除处理。