来源:医博士 | 2021-09-07 作者:姜胖丫
特发性颅内高压(Idiopathic intracranial hypertension, IIH)在临床上定义为颅内压(ICP)升高,但没有可检测到病因的证据。肥胖育龄妇女的发病率最高,每年这类妇女的发病率为每10万人中12至20人。相比之下,普通人群每年的发病率仅为每10万人0.5-2例。IIH最初被认为是良性颅内高压,但由于它可能导致严重和永久性失明,现在已经不这样认为。IIH的确切发病机制尚不清楚;然而,对于静脉高血压中出现的异常压力梯度是否可能导致IIH有推测。
据报道,缺铁性贫血(IDA)是一种罕见的与IIH相关的疾病。自1840年Praël首次描述以来,文献中报道的此类病例不到100例。虽然孤立性IIH和贫血的病例已经被描述为仅通过治疗贫血就完全缓解了症状,但这两种实体之间的因果关系仍存在疑问。
特发性颅内高压(IIH)合并缺铁性贫血(IDA)是比较罕见的情况。
病例介绍
患者,女性,31岁,牙买加和英国混血,第一次就诊于一般事故和急诊科,有4周月经过多史和3周嗜睡、心悸、劳力性呼吸困难、体位性头晕、晕厥发作、头痛和呕吐的病史。起初,她否认有任何视觉症状,并被送入妇科接受治疗和监测。她的身体质量指数为24,她的医疗、药物和家族史均无显著差异,除了在孩童时期患有先天性左侧内斜视并伴有双侧内直肌萎缩。
第二天,患者表示在过去的两周内,出现过搏动性耳鸣、间歇性视力模糊和短暂性视力模糊。入院前3天患者出现颈部疼痛和畏光症,入院前2天患者出现右臂和手轻度笨拙,右侧头皮和右侧指尖麻木。患者接受紧急眼科和正视检查,发现严重的视乳头水肿(Frisén评分为5级)和部分右侧直肌麻痹。患者无发热,轻度低血压(血压87/62 mmHg)。最佳矫正视力(BCVA)为右眼6/9,左眼6/6。用石原板进行的标准色觉测试是右眼16/17,左眼15/17。未见相对传入瞳孔缺损。眼内压及前段无明显变化。周围视网膜、血管及其他脑神经正常。同时进行了紧急住院神经系统复查,周围神经系统检查正常。
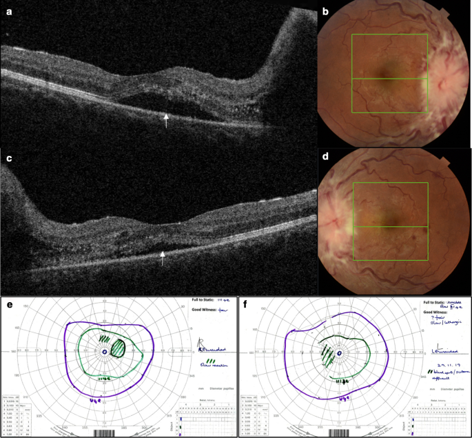
Goldmann视野测试显示左眼盲点扩大,双眼周边视野狭窄(图1)。超广域成像(Optos®)证实严重的视乳头水肿(图2),光学相干断层扫描(OCT)显示视网膜下液体位于视乳头周围和黄斑区域(图1)。

图1. 初始光学相干断层扫描(OCT)显示乳头周围和黄斑视网膜下液体(白色箭头)。彩色眼底照片(b右;d左)突出显示OCT图像的行扫描位置(a右;c左)。最初的Goldmann视野图(e右;(左)显示狭窄的视野和扩大的左侧盲点

图2. 光学超广域成像显示的严重视乳头水肿。a.右眼;b.左眼
血检血红蛋白74 gm/L,平均细胞体积63.0 fL,符合小细胞性贫血;血小板计数584 × 109/L,提示血小板增多。外周涂片示小细胞低色素性红细胞增多症。与缺铁相关的铁含量研究如下:血清铁2.2 μmol/L,血清总铁结合能力94.7 μmol/L,转铁蛋白饱和度2.3%,铁蛋白2 μg/L。其余全血计数、血清化学、肝功能、肾功能、甲状腺功能、血沉、凝血筛检、c反应蛋白、维生素B12、叶酸等结果均正常。经阴道超声未见子宫异常。综合感染和自身免疫筛查均为阴性。除月经过多外,未发现其他病因。
紧急行头部CT及静脉CT检查,无脑内病变,但左侧横窦及乙状窦交界处双侧局灶性狭窄更明显。右侧乙状窦近端充盈缺损,感觉与蛛网膜颗粒吻合,未见静脉窦血栓形成。在突出的视神经周围有脑脊液(CSF)空间,巩膜轻度扁平,左侧尤甚。腰椎穿刺时脑脊液开口压力63 cmh2o,闭合压力27 cmh2o。脑脊液细胞学和生化分析正常。细菌培养、病毒聚合酶链反应和恶性细胞学检查均为阴性。没有发现其他激素或代谢原因升高的ICP。随后的脑部磁共振成像(MRI)与静脉造影显示双侧乙状窦横向狭窄,视神经周围间隙突出,鞍区空,符合IIH,排除静脉窦血栓形成。
患者输2单位红细胞,开始口服补铁和乙酰唑胺1 g,每天1次。术后所有症状迅速改善,第10天血红蛋白水平恢复到105克/升。随访1个月,重复腰椎穿刺显示打开压力显著降低27cmh2o。在接下来的2个月里,视乳头水肿逐渐消退,BCVA保持不变,视野改善。在逐渐减少乙酰唑胺治疗后,患者在仅进行铁替代的情况下仍无症状,并在我们的神经眼科诊所进行定期随访。
结论
尽管IDA很罕见,但应该始终考虑和适当地调查所有IIH患者,因为仅治疗贫血便可能可以挽救患者视力。
医博士编译自:Sim PY, Taribagil P, Woollacott IOC, et al. Idiopathic intracranial hypertension presenting as iron deficiency anemia: a case report. Journal of Medical Case Reports. 2021; 15(1):45. doi:10.1186/s13256-020-02631-2.
声明: 所有注明“来源:医博士”的文字、图片和音视频资料,版权均属于医博士所有,转载须注明“来源:医博士”;所有转载文章系出于传递更多信息之目的,且明确注明来源和作者,不希望被转载的媒体或个人可与我们联系,我们将立即进行删除处理。