来源:医博士 | 2021-10-13 作者:李胜佳
新生儿腹部脓毒症的准确诊断和及时治疗是改善这一脆弱人群结局的关键。然而,由于无法获得病史,缺乏具体体征和症状以及放射学检查的局限性,诊断仍然具有挑战性。该年龄组的腹膜炎可归因于坏死性小肠结肠炎(NEC)、肠梗阻并发症以及医源性胃和十二指肠穿孔等。新生儿阑尾炎(NA)极为罕见,很容易被忽视,死亡率高达28%。既往报道中大多数病例是在术中或尸检后诊断的,并与早产和重大合并症相关。在这里,本病案报告了一名患有唐氏综合征和肺动脉闭锁并伴有室间隔缺损(PA-VSD)的6天足月新生儿急性阑尾炎穿孔的病例。
病例介绍
一名体重3000克的男婴在怀孕38周+4时经剖腹生产,母亲为35岁。患儿在妊娠5个月时通过产前超声诊断为唐氏综合征和PA-VSD。母亲没有产前感染史及其他医疗或外科疾病。患儿出生时出现黄疸和紫绀,室内空气中SpO2为78%。连续静脉注射前列腺素10ug/kg/min维持动脉导管通畅。患儿被转到新生儿重症监护室。正常排出胎粪。初检全血正常,未结合高胆红素血症符合生理性黄疸,C反应蛋白轻度升高10.0mg/L,肾功能正常,轻度电解质紊乱。
第5天,患儿出现腹胀,拒绝进食。体格检查38.5℃,没有呼吸急促。3升氧气的血氧饱和度为60-70%。肺部听诊清晰。腹部扩张,无明显压痛及红斑。肠鸣音低。进行腹部X线和超声检查,未发现气腹及游离液体,也未发现肠积气及门静脉气体(图1)。患儿的血液检查显示白细胞计数正常,为4210/ul。患儿被初步诊断为NEC,并接受了静脉注射抗生素,包括头孢曲松、阿米卡星和甲硝唑的经验性治疗。
图1. X线显示肠袢扩张,无肠积气,无游离气体,无门静脉气体
图2. 患儿腹部肿胀,出现腹壁红斑
第6天腹胀加重。腹部有全身压痛和红斑(图2)。直肠检查未发现血迹。重复腹部超声检查发现气腹及中度腹水。肠管扩张至28毫米。未发现门静脉气体及肠积气。重复血液检查显示白细胞计数为11780/ul,中性粒细胞占68.1%。C-反应蛋白明显升高224.3 mg/L。怀疑为腹膜穿孔所致腹膜炎,并迅速进行剖腹探查。
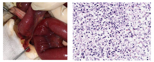
进行中线切口。术中见整个肠袢(小肠、结肠)扩张。腹膜腔的四个象限都充满了浑浊和淡黄色的液体。纤维蛋白渗出物主要分布在盲肠周围的右侧髂窝(图3)。阑尾中部发炎穿孔。腹部的其他器官未发现病变。使用Vicryl 2.0缝合线固定基底部,手术切断阑尾。用大量温生理盐水冲洗腹腔,然后将腹膜液送去培养。将腹膜引流放置在道格拉斯囊袋处,然后进行腹部缝合。

图3. 术中影像显示阑尾中部穿孔。可见淡黄色液体伴纤维蛋白渗出物
图4. 组织病理学检查显示中性粒细胞浸润和广泛的阑尾坏死(H&E,×400)
病理分析显示阑尾严重发炎,直径4毫米,长2.5厘米。显微镜下可见明显的炎性细胞浸润,包括变性的中性粒细胞和淋巴细胞。阑尾粘膜完全坏死(图4)。
患儿被转移到外科重症监护室。使用美罗培南和丁胺卡那霉素继续进行经验性广谱抗生素治疗。但是,由于败血症加重和血液动力不稳定性失代偿,患儿在术后第5天死亡。
讨论
急性阑尾炎是新生儿期急腹症的一种罕见病因,据报道发病率为0.04%~0.2%。新生儿腹膜炎最常见的诊断是NEC,其发病率为2%~7.5%,许多NA病例最初被误诊为NEC。虽然围产期保健已取得显著改善,但新生儿死亡率仍高达28%。原因之一是NA的症状和体征具有非特异性,包括腹胀、呕吐、嗜睡等,与新生儿急腹症的其他常见病因有明显的重叠,例如NEC或肠梗阻。另外,术前检查的低效率也会导致NA的延迟诊断。建议在超声和X线不能确定的情况下,使用紧急计算机断层扫描来帮助诊断婴儿急腹症。
小结
总之,NA是一种罕见的疾病,容易被误诊而且死亡率高。需要进一步研究以阐明其病因并确定及时诊断NA的更好方法。
医博士编译自:Nguyen TX, Dang NT, Phan HT, et al. Perforated Acute Appendicitis in a Six-Day-Old Neonate: A Rare Differential Diagnosis of Neonatal Peritonitis. Case reports in gastroenterology. 2021; 15(1):188-194.
声明: 所有注明“来源:医博士”的文字、图片和音视频资料,版权均属于医博士所有,转载须注明“来源:医博士”;所有转载文章系出于传递更多信息之目的,且明确注明来源和作者,不希望被转载的媒体或个人可与我们联系,我们将立即进行删除处理。