来源:医博士 | 2021-11-09 作者:刘雅丽
胶质异位症是一种罕见的先天性发育性疾病,神经胶质组织形成于颅外部位,通常位于中线。由于胶质异位症常发生在鼻内或鼻周围,故常被称为鼻胶质异位症(NGH)。据报道,先天性鼻部肿块的发病率为1/2万至1/4万活产婴儿。在这里,我们报道了一个2个月龄的男婴患有NGH。
病例介绍
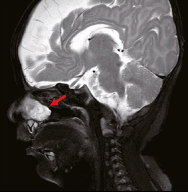
一名2个月大的男孩因出生后出现的鼻塞而接受治疗。右侧鼻腔阻塞明显,持续存在,并逐渐加重,导致奶瓶喂养时窒息。纤维支气管镜检查显示右鼻腔靠近咽部有2.0cm×1.5cm的息肉样物质(图1)。鼻咽计算机断层扫描(CT)显示右鼻腔软组织中有小面积高密度影。

图1
肿块的放射密度约为26-35个Hounsfield单位,未见明显增强;此外,颅底无明显骨缺损,肿瘤与大脑不相通。磁共振成像(MRI)显示右侧鼻腔和前庭软组织有高密度影(图2)。软组织肿块大小约为22.1mm×17.3mm×10.9mm,呈不均匀强化。此外,肿块延伸至右鼻骨后部,并与鼻中隔和鼻骨(右下鼻甲附着于肿块的外侧边缘)粘连。鼻中隔左侧稍凸出弯曲,右侧鼻道增宽;右侧鼻骨稍塌陷变形,右侧上颌窦腔稍狭窄。肿块底部从鼻腔侧壁延伸,肿块前界位于下鼻甲前端水平,肿块后界位于中鼻甲后端水平。肿块的上边界距离鼻咽顶部约2-3毫米。肿块整体呈息肉样。术前诊断为先天性鼻内肿瘤。

图2
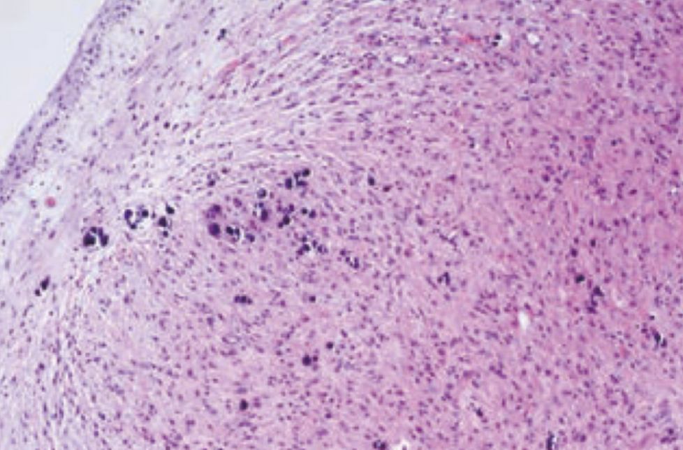
在全身麻醉下用鼻内窥镜切除鼻咽肿块。肿块基底部广泛,位于鼻腔外侧壁的中鼻道。肿块的前后边界与MRI所观察到的一致;值得注意的是,后边界没有超过后鼻孔,也没有达到鼻咽和口咽的水平。肿块的上边界也与MRI所见一致。病理组织学分析显示,该肿块是一种神经胶质异位症(图3)。免疫组化分析显示胶质纤维酸性蛋白和微管相关蛋白2的存在,以及神经元细胞核(NeuN)的缺失(图4)。患儿的鼻塞在手术后减轻。术后3个月,MRI证实右侧鼻腔无阻塞,无异常密度影。在1年的随访中,患儿没有出现异位复发。
、
图3

图4
讨论
NGH被认为是一种失去了颅内连接的脑膨出。大多数报告的NGH涉及单侧鼻或鼻外眶、鼻咽、中耳或头皮肿胀。NGH主要发生在鼻腔内或鼻腔附近,60%的患者发生在鼻外,30%的患者发生在鼻内,10%的患者同时发生在鼻内外。值得注意的是,15%-20%的NGH显示颅内连接。在我们的病人中,NGH位于鼻内。虽然神经胶质异位是良性病变,但它们可以引起与其位置相关的临床问题。鼻内病变可引起本报告所述的鼻阻塞、鼻出血或鼻畸形。
此患者病灶是在出生时出现的,没有显示连接到颅内空间。胶质组织的存在可以通过评估对胶质纤维酸性蛋白或S100蛋白的免疫组织化学染色反应来证实。神经生长激素中神经元很少或缺失,这与我们患者的研究结果一致。虽然室管膜组织并不总是在脑膨出中发现,但它的存在更有可能导致脑膨出的诊断。在组织学检查中,NGH通常无法与脑膨出区分,因为这两种类型的病变都可能含有不同比例的神经元和胶质细胞。两种病变有相似的胚胎起源,都可以表现为鼻内肿块。
鼻腔脑膨出的部位可能在额部或基底部。在额窦脑膨出中,脑组织通过额骨或筛骨缺损疝入额骨、鼻骨和眼眶的软组织,这些部位的脑膨出分别被称为鼻额部、鼻窦部或鼻眶部。基底部脑膨出发育性疝位于筛板后面。脑膨出患者相关发育异常的发生率从0%到40%不等。脑膨出最常见的部位是枕叶(75%),其次是额叶(25%)。NGH和鼻腔脑膨出是非常罕见的疾病。用组织学很难区分它们。诊断更依赖影像学、肿瘤定位和术中探查,需要多学科的评估和处理。
NGH的临床表现与先天性血管瘤相似,产前超声难以区分先天性血管瘤和NGH。先天性血管瘤多普勒血流速度快,NGH血流速度慢。在T2加权MRI上,两个病灶均显示高信号,但NGH的信号强度低于先天性血管瘤。虽然可能很难区分NGH和先天性血管瘤,但这并不直接影响治疗;两种病变都需要手术治疗。
CT和MRI是诊断NGH的重要工具。CT在骨缺损评估中的应用较多。发育异常患者的骨缺损可能与NGH有关,但与颅内组织无关。 MRI在获取软组织的详细信息方面优于CT;在识别颅内连接方面也更有用。在我们的病人中,核磁共振显示没有颅内连接。术前活检和切除是禁忌的,应避免活检以防止并发症,如脑脊液漏、脑膜炎或脑膨出。因此,我们的病人术前没有做活检。
NGH的首选治疗方法是完全手术切除。在考虑如何手术治疗先天性中线肿块以防止脑脊液漏的风险时,必须始终牢记颅内连接的可能性。NGH生长缓慢,为良性,无恶性转化的可能。然而,提倡早期手术治疗,因为持续的胶质增生可能导致畸形和面部骨质侵蚀。NGH需要多学科治疗,但预后良好。鼻内窥镜手术被推荐用于鼻内胶质异位症患者。由于内窥镜设备和技术的进步,鼻内胶质异位症现在可以适当暴露和完全切除。对于大多数鼻内胶质异位症或混合性NGH患者,鼻内窥镜手术是可行的,不会增加手术时间,也不会增加残余疾病或并发症的发生率。病人在1年的随访中没有复发。本报告的临床应用要点是胶质瘤切除前应进行彻底的术前影像学检查。
医博士编译自:Zhang W, Tang L & Ge W. Intranasal glial heterotopia in an infant boy. Pediatric Investigation. 2021; 5(1):69-72.
声明: 所有注明“来源:医博士”的文字、图片和音视频资料,版权均属于医博士所有,转载须注明“来源:医博士”;所有转载文章系出于传递更多信息之目的,且明确注明来源和作者,不希望被转载的媒体或个人可与我们联系,我们将立即进行删除处理。