来源:医博士 | 2021-11-10 作者:毛毛虫
中风患者倾向于久卧床的生活方式,导致心肺功能退化、肌肉萎缩和进一步的虚弱。据报道,中风后1个月的平均最大摄氧量(VO2 max)约为久坐健康个体标准值的60%,与先前报道的心肌梗死后1个月年龄调整后的VO2 max相当。脑卒中患者的有氧能力低于原发性心脏病患者。此外,中风患者也经常出现心脏问题。
在卒中幸存者中,约28.8%存在冠状动脉疾病,16.5%有心力衰竭。伴发中风和心脏病的患者比单独中风的患者有氧能力低。因此,这类患者需要高强度的运动项目,包括有氧和阻力训练。然而,传统的中风康复方案不能提供足够的运动,需要额外的心脏康复(CR)。
尽管CR很重要,但在之前的一项研究中,纳入CR的中风患者比例为4.8%。CR并不是韩国中风患者的常规指标。本文报告了一例中风和心脏病患者,他们进行了早期住院患者CR,然后在家里进行CR。
病例介绍
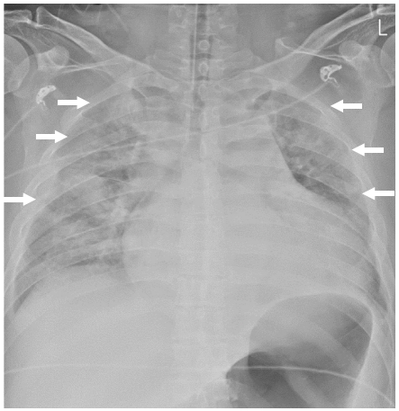
患者男,38岁,吸烟,有不明原因的心律失常史,无治疗,因右侧偏瘫入院。在初次检查时,患者处于昏迷状态,格拉斯哥昏迷评分为7分。患者被诊断为左大脑中动脉(MCA)区域梗死(图1A),左大脑中动脉M1段闭塞(图1B)。有房颤、心力衰竭伴左心室射血分数(LVEF) 27%(表1)、肺水肿、胸腔积液和轻度心脏扩大(图2)。

表1: 使用经胸超声心动图进行连续随访

图1: (A)脑磁共振成像显示左侧大脑中动脉区域梗死(箭头)(弥散加权图像,轴位视图)。(B)脑磁共振血管造影显示左侧大脑中动脉M1段闭塞(箭头)

图2: 胸部x线显示肺水肿,胸腔积液,和轻微的心脏扩大(箭头)
患者被收住在心脏病科的重症监护室,接受了气管切开术、机械通气和额外的治疗。治疗后,超声心动图显示LVEF从27%改善到47%,心电图显示窦性心律正常。
入院后第37天转入康复医科,给予脑卒中康复和CR治疗。反映认知功能的简易心理状态评估得分为30分。在手动肌肉测试中,右上肢被评为近端良好,远端正常。右下肢评分为良好。功能性行走类别(FAC)得分为4分,Berg平衡量表(BBS)得分为53分。修正Barthel指数(MBI)评分为77分。言语评价显示为命名性失语,失语商(AQ)为79。
入院后第38天,取下鼻胃管,在透视吞咽研究后开始口服喂养。在第43天确认患者有足够的咳嗽和咳痰能力后,拔除气管造口管。患者接受了物理治疗。入院后第45天进行了首次症状受限运动耐力测试(ETT)(图3A)。14分48秒后,由于患者腿部不适,ETT终止。使用Fitness Registry和运动重要性数据库(FRIEND)公式,反映年龄和体重的预测VO 2 max为42.15 mL/kg/min。测得的VO2 max为21.7 mL/kg/min(占预测值的51.5%),并且运动心电图和血流动力学反应无异常。该患者参加了2周的CR计划(每周1次,每次5次)(图3B)。开始使用4.6代谢当量(MET)进行心电图监测的运动训练,并且强度逐渐增加。

图3: (A)照片显示了症状受限运动耐力测试。B)图为心电图监测的运动训练
2周后,进行了一次ETT随访,并应患者的要求在15分53秒后停止了测试。VO2最大值从21.7mL/kg/min提高到27.3mL/kg/min(从预测值的51.5%提高到64.8%)。患者还接受了风险因素管理的教育计划,包括戒烟和营养。出院时(入院后60天),BBS评分由53变为56(小于最小临床重要差异[MCID] 12.5),MBI评分由77变为98(大于MCID 20.1),AQ评分由79变为88.2。
患者在出院8周后每周接受3次家庭CR计划。8周后随访气管插管,18分钟30秒后应患者要求停止插管,最大摄氧量进一步改善(31.3 mL/kg/min,为预测值的74.3%)。根据美国心血管和肺康复协会(AACVPR)的指南,患者的风险分层已从首次测试的中度风险更改为随访ETT的低风险。
小结
在韩国,本病例是第一个报告中风和心脏合并症患者安全执行CR程序的案例。中风后患者需要系统的指导,以接受安全有效的CR,以二级预防中风和心血管疾病。
医博士编译: Lee SC, Ko EJ, Lee JY, et.al. Safety and effectiveness of early cardiac rehabilitation in a stroke patient with heart failure and atrial fibrillation. Yeungnam University Journal of Medicine. 2021. doi:10.12701/yujm.2020.00885. [Epub ahead of print]
声明: 所有注明“来源:医博士”的文字、图片和音视频资料,版权均属于医博士所有,转载须注明“来源:医博士”;所有转载文章系出于传递更多信息之目的,且明确注明来源和作者,不希望被转载的媒体或个人可与我们联系,我们将立即进行删除处理。