来源:医博士 | 2021-11-15 作者:李胜佳
异位妊娠是指受精卵在子宫腔外着床发育的异常妊娠过程,确切病因机制尚未完全被阐明。一般来说,有盆腔手术史、既往宫外孕、使用宫内节育器、不孕症和盆腔炎病史是宫外孕高发病率的相关因素。异位妊娠占妊娠总数的1.2%-1.4%,95%的异位妊娠位于输卵管内,位于卵巢、输卵管中线、剖宫产瘢痕、宫颈和腹腔的病例约占所有异位妊娠的5%。
病例介绍
27岁产妇,P2G0,既往病史包括因胎儿染色体异常在妊娠中期终止妊娠。过去几天由于阴道出血,并伴有下腹深部轻度疼痛就诊。该患者已被诊断为不明部位妊娠10天左右。根据最后一次月经,患者目前的怀孕时间是8周零2天。
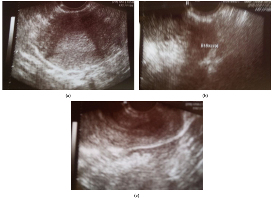
每隔2天进行一次β-绒毛膜促性腺激素水平的定量检查,结果显示胎儿发育不稳定(第一次检测4113mIU/ml,第二次检测3904mIU/ml,第三次检测4207mIU/ml),可能是异位妊娠的迹象。入院时的实验室值为Ht 33.9%,Hb 10.8% gr/dl、PLT 243x10^3/ml、WBC 9.9x10^3/ml、NEUT占79.9%,凝血机制及生化检查未见病理改变。妇科双合诊检查显示,子宫颈和右附件触诊时严重敏感。经阴道超声(图1a-c)显示子宫内膜腔内无妊娠囊,右附件解剖区域有不确定的肿块,道格拉斯囊内有血凝块。

图1. 经阴道超声图像,支持异位妊娠的诊断。(a)子宫内膜腔中未见妊娠囊;(b)右侧附件解剖区肿块;(c) 道格拉斯囊内有血凝块
超声检查结果结合β-HCG定量和患者的临床状况,患者被确诊为异位妊娠,由于估计即将发生的血流动力学不稳定,决定对患者进行手术治疗。术中,观察到右侧卵巢肿胀,其表面有出血性红色肿块(图2),腹腔内以及骨盆内可见游离血和血凝块。诊断为异位卵巢妊娠,并对受累卵巢进行楔形切除和缝合(图3)。手术标本的组织学检查证实了诊断(图4)。术后β-HCG水平下降,患者于术后第3天出院。三周后β-HCG水平为零。

图2. 术中发现异位卵巢妊娠
图3. 对受累卵巢进行楔形切除和缝合
图4. 异位卵巢妊娠的组织学检查结果
讨论
卵巢妊娠是非输卵管异位妊娠的最常见形式,约占所有病例的0.5%-3%。作为妊娠特征的血管增多以及异位植入的滋养层与卵巢和子宫血管的接近可导致大量出血,危及生命。卵巢异位妊娠的确切病因机制尚未完全阐明。迄今为止,已证明导致受精卵在卵巢区域植入的主要危险因素是使用避孕装置。与一般人群相比,具有宫内节育器的女性以及接受胚胎移植体外受精的女性,发生卵巢异位妊娠的风险更高。其他危险因素还包括盆腔炎史和盆腔手术史,这也与输卵管妊娠的发生率高度相关。
由于临床表现与异位输卵管妊娠没有实质性差异,所以卵巢妊娠的术前诊断并不容易。除临床标准外,经阴道超声检查结合β-HCG水平定量显著提高了异位卵巢妊娠诊断的准确性。
卵巢异位妊娠的治疗根据最初诊断的时间分为手术治疗和保守治疗。甲氨蝶呤是使用最广泛,疗效最佳的药物,可用于血液动力学稳定的早期患者。对于延迟诊断并伴有严重出血的病例,可能需要进行卵巢切除术或附件切除术。
医博士编译自:Thanasa E, Thanasas I, Koutalia N, et al. Surgical Treatment of Ovarian Pregnancy. Case Reports in Obstetrics and Gynecology. 2021; doi:10.1155/2021/6618751. [Epub ahead of print]
声明: 所有注明“来源:医博士”的文字、图片和音视频资料,版权均属于医博士所有,转载须注明“来源:医博士”;所有转载文章系出于传递更多信息之目的,且明确注明来源和作者,不希望被转载的媒体或个人可与我们联系,我们将立即进行删除处理。