来源:医博士 | 2021-11-23 作者:李胜佳
肾上腺偶发瘤(AI)是一种常见的内分泌疾病,是指在进行放射学检查以评估非肾上腺疾病时偶然发现的直径大于1cm的肾上腺肿块。多学科检查联合实验室和放射学分析对于作出正确的诊断十分必要。虽然AIs在大多数情况下是非功能性和良性的,但在大约20%的情况下,它们可能是恶性的或分泌性的。
肾上腺皮质癌(ACC)是一种严重的疾病,约占AI病例的2%。功能性AI病变更为常见,约占所有AI病例的15%。研究表明,随着年龄的增长,AIs的患病率增加。ACC作为罕见的侵袭性恶性肿瘤,有两个不同的发病高峰:5岁以前和40-60岁之间。大多数ACC病例为散发性,但也可与其他肿瘤综合征相关,如多发性内分泌肿瘤1型(MEN1基因)、Beckwith-Wiedemann综合征(11p15I基因异常)和Li-Fraumeni综合征(TP53基因)。
本病案报告一位AI患者,两次细针穿刺(FNA)均未能正确诊断ACC。
病例介绍
61岁男性患者,因突发呼吸急促到医院就诊。肺部CT扫描诊断为肺栓塞和一个0.5cm的小肺结节,偶然发现一个9cm的左肾上腺肿块。患者因肺栓塞接受抗凝治疗。没有表现出任何肾上腺功能亢进及减退的症状,常规测定血清副肾碱和皮质醇以确定肾上腺腺瘤的分泌状态,两者均在正常范围内。左肾上腺结节的活检没有诊断性价值。然而,在第一次活检三周后再次活检发现肾上腺皮质组织。
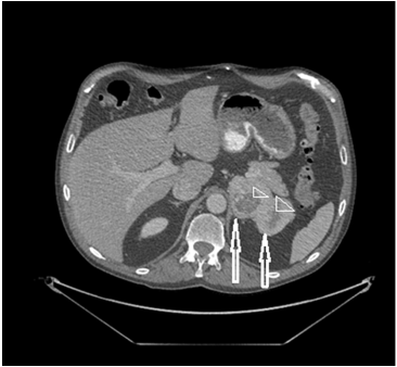
患者没有显示任何体重增加、虚弱或失眠的病史。性欲和毛发分布没有任何变化。有超过10年的高血压病史,由两种药物控制。体检显示生命体征正常,无库欣综合征症状,体重指数(BMI)正常。尿液中儿茶酚胺和皮质醇在正常范围内,血清醛固酮对肾素活性、电解质和硫酸脱氢表雄酮(DHEA-S)水平也在正常范围内。在第一次CT扫描后4个月,再次对腹部进行CT扫描,发现左侧肾上腺有一个9 x 5.5 cm的双叶不均匀肿块,中心低密度。可能为坏死(图1)。

图1. 图像显示左侧肾上腺有一个双叶肿块(两个箭头),大小为9 x 5.5厘米。中央有低密度的迹象表明坏死(两个箭头)
怀疑肿块为ACC。患者肺部CT扫描显示肺结节增大至0.8cm。患者随后接受了肺结节的细针穿刺。
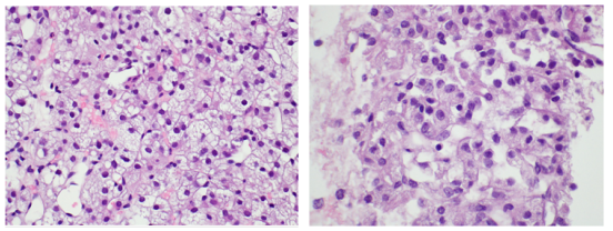
肾上腺穿刺活检和肺结节细针抽吸被送往病理科。肾上腺穿刺活检的组织学结果显示类似肾上腺皮质的细胞(图2)。细胞核低度分化,轻度增大,核仁不明显,染色质细。大多数细胞富含脂质,主要的生长方式为巢状。左肺结节的细针穿刺活检显示出类似的富脂细胞,具有丰富的毛细血管网络(图3)。形态学模式与肾上腺活检非常相似,与转移性ACC一致。患者随后被送至癌症中心接受治疗。患者在米托坦治疗后出现肾上腺功能不全,开始服用氢化可的松。

图2. 活检显示肾上腺皮质组织可能为肿瘤(苏木精和伊红染色,40倍放大)
图3. 左肺小结细针穿刺结果显示与肾上腺穿刺活检结果相似的富脂细胞,表明肾上腺皮质肿瘤转移(苏木精和伊红染色,60倍放大)
结论
尽管ACC是一种罕见的疾病,但在影像学上表现出某些特征的AIs患者仍应怀疑为ACC。FNA不建议作为评估的一部分,可能会产生误导。对于>4cm的病灶,目前的指南建议切除。
医博士编译自:Hazimeh Y, Sigel C, Carie C, et al. Adrenocortical Carcinoma: A Case of Missed Diagnosis. Cureus. 2021; 13(4):e14235. doi:10.7759/cureus.14235.
声明: 所有注明“来源:医博士”的文字、图片和音视频资料,版权均属于医博士所有,转载须注明“来源:医博士”;所有转载文章系出于传递更多信息之目的,且明确注明来源和作者,不希望被转载的媒体或个人可与我们联系,我们将立即进行删除处理。