来源:医博士 | 2021-11-24 作者:李胜佳
托吡酯是一种氨基磺酸取代的单糖,美国食品和药物管理局(FDA)批准托吡酯作为10岁及以上部分发作或原发性全身强直阵挛发作患者的初始单一疗法,作为2至16岁部分发作或原发性全身强直阵挛发作的成人和儿童患者的辅助疗法,2岁及以上伴有Lennox-Gastaut综合征的癫痫患者。也被批准用于预防偏头痛。
托吡酯的使用与一些认知/神经精神方面的不良事件有关,很少报道其急性毒性。本病案描述了一例5岁男孩,托吡酯治疗后出现急性神经症状。
病例介绍
5岁男孩,因精神状态改变、躁动和视幻觉被送往急诊室。患者母亲报告说,患儿晚上经30分钟的短途回家后,行为发正异常,出现好斗,情绪激动。身体状况正常。患儿在急诊科就诊时,生命体征在其年龄的正常范围内:脉搏69/min;血压112/55 mmHg;呼吸频率18/min;体温97.8°F,室内空气中氧饱和度(SpO2)100%。头部、眼睛、耳朵、鼻子和喉咙的检查不明显。脖子柔软。心脏、肺、腹部和皮肤检查均无异常。神经学检查显示迷失方向、间歇性躁动,反射和音调正常。
鉴别诊断包括败血症、代谢紊乱、电解质紊乱、内分泌紊乱、高血压、肝功能衰竭、肾功能衰竭和药物中毒。全血计数正常。血清电解质如下:钠141 mmol/L;钾3.8 mmol/L;氯化物108 mmol/L;碳酸氢盐17 mmol/L(正常,23-32 mmol/L);血尿素氮16 mg/dL;肌酐0.44 mg/dL;葡萄糖110 mg/dL;钙9.4 mg/dL。安非他明、巴比妥类、大麻素、可卡因、美沙酮和阿片类药物的尿液毒理学试验呈阴性。血清中对乙酰氨基酚和水杨酸盐检测不到。脑部计算机断层扫描(CT)显示没有病理结构,脑电图(EEG)正常。考虑到病毒性脑炎/脑膜炎,患者入院观察并进行腰椎穿刺。
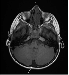
患者因精神状态恶化(AMS)被转移到儿科重症监护室(PICU),在短时间内得到缓解,然后被转移到普通病房接受进一步护理。进行MRI和EEG检查,考虑癫痫活动或颅内病变。MRI显示左侧小脑半球左侧后颅窝有一个小的蛛网膜囊肿(图1)。进一步调查包括氨、促甲状腺激素(TSH)、镁、血沉(ESR)、降钙素原均为阴性。EBV血清学试验也呈阴性。进行唾液毒理学筛查以评估潜在的药物摄入。血清托吡酯水平为3487.8 ng/ml。患者的症状在48小时内消失。根据进一步的询问,发现其母亲使用托吡酯减肥。患儿随后出院,情况稳定。

图1. MRI显示左小脑半球左后窝有一个小的蛛网膜囊肿
讨论
托吡酯是一种抗癫痫药,使用过程中可能会出现一些认知/神经精神方面的不良事件。除了用于批准的疾病外,托吡酯还常被用于(目前未经FDA批准)治疗代谢紊乱,包括糖尿病和肥胖症;饮食紊乱,如暴饮暴食症和神经性贪食症;其他冲动控制,如病理性赌博;以及药物滥用紊乱,包括酒精中毒,尼古丁依赖和可卡因滥用、丛集性头痛、原发性震颤、急性躁狂和抽动秽语综合征。临床医生遇到急性脑病患者时,应仔细询问在家中是否接触药物。认真记录病史,以确定任何潜在的暴露因素。
医博士编译自:Baidoun M & Elgendy M. Acute Topiramate Toxicity in a Five-Year-Old Child. Cureus. 2021; 13(3):e13747. doi:10.7759/cureus.13747.
声明: 所有注明“来源:医博士”的文字、图片和音视频资料,版权均属于医博士所有,转载须注明“来源:医博士”;所有转载文章系出于传递更多信息之目的,且明确注明来源和作者,不希望被转载的媒体或个人可与我们联系,我们将立即进行删除处理。