来源:医博士 | 2021-11-29 作者:李胜佳
肿瘤坏死因子(TNF)主要由单核巨噬细胞系统产生。它是一种抑制炎症细胞凋亡的促炎症因子。然而,它也诱导肠上皮细胞凋亡,破坏肠粘膜屏障,引起肠道炎症。克罗恩病(CD)是一种病因不明的非特异性肠道炎症反应。目前认为是多因素相互作用引起的。CD患者的肠单核细胞表达高水平的TNF,TNF参与了肠黏膜的炎症损伤。抗TNF-α单克隆抗体英夫利昔单抗被用于炎症性肠病(IBD)的临床治疗。然而,当用于免疫介导的炎症性疾病时,TNF抑制剂与感染风险和恶性肿瘤的发生有关。
在这里,本病案描述了一名CD患者,既往接受过英夫利昔单抗治疗,发展为结直肠癌(CRC)的病例。
病例介绍
2017年,一名40岁男性因CD接受了横结肠造口术。随后,患者发展为横结肠造口进行性挛缩,并出现排便困难。
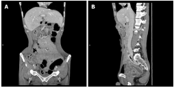
回顾既往病史,患者于2014年出现反复腹泻和腹胀,被诊断为CD。确诊后,接受了对症治疗。2017年,由于腹痛和肠梗阻症状急性加重,进行了横向结肠造口术,有效缓解了患者的症状。后来,患者接受了美沙拉秦治疗,但反应不佳。对比增强CT未观察到肿瘤发生(图1)。因此,2018年开始接受英夫利昔单抗诱导治疗(第1周、第2周和第6周静脉滴注5mg/kg,此后每8周一次)。10个月后,患者因横结肠造口进行性挛缩而返回医院。患者除海鲜过敏外,无特殊病史。无吸烟史,家族癌症史阴性。

图1. 腹部增强计算机断层扫描图像
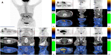
体格检查显示,患者体温36.6℃,心率78bpm,呼吸频率20次/min,血压125/60mmHg。骨瘦如柴,腹部见舟状骨。收缩的横结肠位于上腹部。实验室检查中,血液分析显示贫血,血红蛋白水平为11.1g/dL。血小板计数正常,生化和血浆电解质无明显变化。血清CEA浓度为4.48ng/mL,CA19-9为762.80u/mL,CA24-2>150.00u/mL。正电子发射断层扫描(PET)和计算机断层扫描(CT)显示毗邻横向造口见一巨大软组织肿块,伴有高水平的糖代谢。腹腔内多发结节,均伴有糖代谢增强。提示胃肠道癌已广泛转移(图2)。

图2. 腹部正电子发射断层扫描图像。A:腹腔内多发性病变,糖代谢增高;B:横向造口附近见巨大软组织肿块,伴高水平的糖代谢;C:升结肠葡萄糖代谢水平高;D:直肠膀胱壁多发结节,糖代谢水平高
经肛门结肠镜检发现一个离直肠5cm的肿块。内窥镜活检标本的病理检查显示直肠高分化腺癌(图3)。根据影像学检查和内镜检查,患者被诊断为晚期大肠癌。

图3. 直肠的内镜和病理表现。A:10个月后,经肛门结肠镜检查发现一个离直肠5cm的肿块;B:内镜活检标本的病理检查显示直肠中有高分化腺癌
患者于2019年11月18日接受姑息性回肠造口术以解除梗阻。手术中,在小肠的肠系膜上发现了一个小的结节性肿块。切除结节性肿块,并对标本进行组织病理学检查。结节性肿块的病理检查显示纤维脂肪组织中有腺癌浸润(图4)。

图4. 小肠肠系膜结节性肿块的病理学表现。A:病理学检查为纤维脂肪组织腺癌;高倍镜下腺癌浸润
手术成功完成,患者恢复良好,术后第18天出院。然而,患者因晚期恶性肿瘤于2020年6月去世。
结论
目前,IBD的治疗多采用生物疗法,英夫利昔单抗是最常用的治疗方法。然而,英夫利昔单抗可能与恶性肿瘤的发生有关。尽管这种联系尚不确定,但在大多数情况下,肿瘤是在英夫利昔单抗治疗后诊断的,并且经常有广泛的转移,这表明英夫利昔单抗治疗可能是癌症发生的危险因素。因此,对于使用英夫利昔单抗或其他TNF-α抑制剂的患者,临床医生必须密切关注恶性肿瘤的可能性。
医博士编译自:Xiao L, Sun L, Zhao K, et al. Crohn's disease with infliximab treatment complicated by rapidly progressing colorectal cancer: A case report. World Journal of Gastrointestinal Oncology. 2021; 13(4):305-311.
声明: 所有注明“来源:医博士”的文字、图片和音视频资料,版权均属于医博士所有,转载须注明“来源:医博士”;所有转载文章系出于传递更多信息之目的,且明确注明来源和作者,不希望被转载的媒体或个人可与我们联系,我们将立即进行删除处理。