来源:医博士 | 2021-12-02 作者:李胜佳
病例介绍
一名65岁女性患者,在过去6个月内右上腹部偶有轻微疼痛。疼痛为非辐射性的,与任何特定的加重或缓解因素无关。患者以前每个月都有两到三次这样的经历。既往无腰痛、血尿、下尿路症状、发热、体重减轻、骨痛或食欲不振。一般体格检查未见异常。腹部检查显示右腹部有一质软、边界不清的光滑、坚硬肿块,向下延伸至右侧腰部,向内延伸至上腹部。
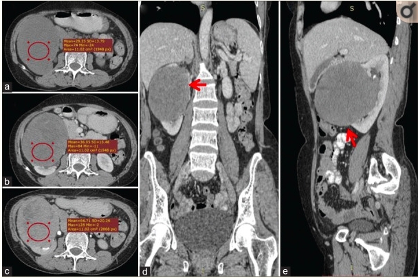
腹部超声显示右肾上极和中极有一个大的异质性高回声占位性病变。对腹部进行了对比增强计算机断层扫描,发现右肾上极和中极有一个大小为12cm×10cm的不均匀强化肿块,累及肾窦。肾静脉未见癌栓(图1)。附近的组织没有被累及。进行转移性检查(肝功能、血清碱性磷酸酶和胸部X光检查),结果均在正常范围内。建议患者接受开放性右侧根治肾切除术。术中,肿块紧贴肝脏,从中仔细解剖。肾动脉被双重结扎并分开,然后以相同的方式处理肾静脉。将根治性肾切除标本送去组织病理学检查。术后过程平稳,术后4天患者出院。

图1. 右肾有一巨大、包裹良好的肿块,起源于前皮质,累及肾窦。
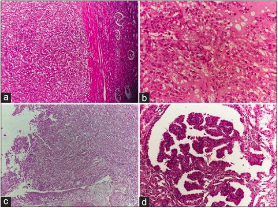
在大体检查中,带有完整包膜的根治性肾切除标本尺寸为14cm×11cm×6cm。病灶切面呈斑片状圆形生长,有出血性淡黄色和坏死区。在显微镜下,可见增厚的纤维胶原包膜,肿瘤细胞未侵及该包膜。立方细胞呈长索状排列,局部呈梭形细胞形态。这些上皮结构排列在轻度嗜碱性粘液或粘液物质的背景下。细胞核呈球形或椭圆形,染色质细,核仁小。有丝分裂像不常见。粘液背景包含肥大细胞、成簇的泡沫组织细胞和胆固醇裂缝。在免疫组织化学上,肿瘤细胞CK7阳性,p63阴性(图2-3)。其特征与右肾上极MTSCC的诊断一致。

图2. a 具有完整包膜的肾脏肿瘤(HE,x10);b 肿瘤细胞呈小管和索状排列,并向梭形细胞转变(HE,x20);c充满肾盂的肿瘤细胞(HE,x20);d 乳头状腺瘤(HE,x20)。

图3. a 阿尔辛蓝突出粘液基质(×40);b 甲苯胺染色突出肥大细胞 (×40);c 肿瘤细胞CK7阳性(IHC×40);d 肿瘤细胞P63呈阴性 (IHC × 40)。
结论
MTSCC是RCC的一种罕见变体。组织形态学特征是诊断和鉴别具有肉瘤样特征的乳头状RCC的金标准,其具有组织学相似性。免疫组织化学可用作诊断的辅助手段。如果局限于肾脏,完全切除预后良好。在转移性疾病中,已经尝试使用酪氨酸激酶抑制剂进行治疗,但整体疗效尚未得到证实。
医博士编译自:Bharti JN, Choudhary GR, Madduri VKS,et al. Mucinous tubular and spindle cell carcinoma: A difficult diagnosis. Urol Ann. 2021; 13(2):180-182.
来源:https://pubmed.ncbi.nlm.nih.gov/34194148/
声明: 所有注明“来源:医博士”的文字、图片和音视频资料,版权均属于医博士所有,转载须注明“来源:医博士”;所有转载文章系出于传递更多信息之目的,且明确注明来源和作者,不希望被转载的媒体或个人可与我们联系,我们将立即进行删除处理。