来源:医博士 | 2021-12-14 作者:李胜佳
肾上腺皮质癌(ACC)是一种罕见的侵袭性肿瘤,晚期/转移性肿瘤的标准治疗方法是依托泊苷、阿霉素、顺铂加米托坦(EDP-M)的联合应用。一大型多中心随机临床试验的结果表明,该方案的疗效有限,疾病应答率约为25%,中位总生存期为14个月。另外,在一系列案例分析中,发现只有极少数的患者(7%)可以获得病理完全缓解和长期的疾病控制。这些数据表明,EDP-M方案有时可能非常有效。
最近的一项回顾性研究发现,单药替莫唑胺作为晚期ACC的二线治疗方法,有效率为20%。然而,获得的疾病控制率比较短暂。本文报告一例女性ACC晚期患者的病例,对替莫唑胺治疗产生显著的反应。
病例介绍
22岁女性患者,于2019年8月在肿瘤科就诊,患有严重高血压、多毛症、月经过少和上腹部疼痛。CT扫描显示巨大的左肾上腺肿块(100x110mm)和多发性肺转移。激素评估显示血浆和尿皮质醇水平升高,雄激素水平升高。由于严重的库欣综合征,患者的一般情况受到影响。肿瘤活检证实了ACC的诊断。
患者立即接受EDP-M方案的一线化疗,并与甲吡酮联用,以快速控制激素分泌过多。两个化疗周期后,肺转移的疾病反应极小,原发肿瘤病灶无变化。患者的一般情况得到改善。继续进行抗肿瘤治疗,然而在5个周期后出现疾病进展。
患者随后于2020年1月转院治疗。入院时,一般情况很差(ECOG 3分)。主诉无法忍受的疼痛、恶心、乏力和呼吸困难。血氧饱和度低(SpO2 88%),因此开始进行连续氧疗。
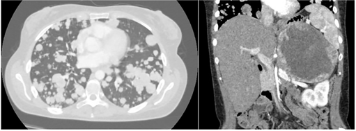
CT扫描证实巨大的左肾上腺肿块(大小为160x110mm),并显示肺部疾病显著进展,同时有多个肺转移病变( 图1 )。

图1. CT扫描(2020年1月)检测到多个肺转移病变和肾上腺肿块
由于病情严重,一致认为患者没必要进一步的化疗。随后患者出院接受家庭姑息治疗,处方为口服替莫唑胺,剂量为200mg/m2/日,每28天一次,每次连续5天。同时还建议每天服用160 mg乙酸孕甾酮,以支持食欲和患者的运动感觉。米托坦继续使用。
随着血氧饱和度和疼痛的控制,患者的一般情况逐渐改善。替莫唑胺治疗耐受性良好,无任何相关毒性。2个月后,患者的生活质量恢复正常,继续替莫唑胺和米托坦治疗,中断醋酸孕甾酮的使用。2020年3月进行的CT复查显示,肺转移有部分反应,肾上腺肿块有轻微反应。在2020年6月的CT检查中,肺部疾病的程度进一步降低。9月,CT扫描显示肺转移的完全缓解和腹部病变的部分缓解,尺寸缩小(60 mm)(图2)。FDG PET扫描证实了肺部病变的完全反应,腹部肿块周围区域的吸收很小,中心区域广泛,没有FDG(氟脱氧葡萄糖)摄取(图2)。

图2. 替莫唑胺治疗8个周期后,CT扫描显示双侧肺转移完全缓解,原发性肾上腺病变减轻
FDG PET证实了肺部病变的完全缓解,残余肾上腺肿块周围FDG摄取面积小(2020年9月)。
2020年12月的CT扫描显示,与9月相比病情稳定。在2021年2月25日的最后一次随访检查中,患者一般情况良好(ECOG 0分)。仍在接受替莫唑胺治疗(共12个周期)和米托坦治疗,14个月内无进展。
下一代测序(NGS)分析,发现在CTNN1B外显子3(p.Met14Leu)中发现一个基因变异。该变异从未在文献中作为致病因子发表过,并且在ClinVar中不存在,而在VARSOME数据库中被归类为VUS(不确定性的变异)。由于肿瘤材料的不足,无法评估O6-甲基鸟嘌呤DNA甲基转移酶(MGMT)和孕酮受体(PgR)的表达。
结论
在本病案中,替莫唑胺在ACC患者中获得了异常而持久的疾病反应,表明该药物在这种情况下可能非常有效。应在ACC患者中进行替莫唑胺疗效的进一步测试,以确定疗效的预测因素,从而选择对该药物有显著临床益处的患者。
医博士编译自:Cosentini D, Turla A, Carminati O, et al. Case Report: Exceptional Response to Second Line Temozolomide Therapy in a Patient With Metastatic Adrenocortical Carcinoma. Frontiers in Endocrinology (Lausanne). 2021; 12:674039. doi:10.3389/fendo.2021.674039.
声明: 所有注明“来源:医博士”的文字、图片和音视频资料,版权均属于医博士所有,转载须注明“来源:医博士”;所有转载文章系出于传递更多信息之目的,且明确注明来源和作者,不希望被转载的媒体或个人可与我们联系,我们将立即进行删除处理。