来源:医博士 | 2022-01-11 作者:刘雅丽
1984年slore和Khardori首次报道了糖尿病性乳腺病,也称为淋巴细胞性乳腺病。目前认为乳腺肿块可能是结缔组织异常的另一表现,与免疫性甲状腺疾病有关。患有糖尿病并发症的绝经前妇女,如手关节疾病,更容易患上糖尿病性乳腺病。糖尿病性乳腺病的临床表现为无痛性肿块,边界不清,形态不规则,影像学表现也容易与乳腺癌混淆。因此,除非进行穿刺以获得病理结果,否则很难做出准确的诊断。
1989年,Logan和Hoffman正式将其命名为糖尿病性乳腺病,并提出了诊断该病的三个条件。本病的发病机制尚不清楚,目前尚无有效的诊断和治疗方法。此外,一些研究指出手术后复发率很高。近年来,糖尿病性乳腺病的病例报道很少。本文报告一位高龄女性病人,术前误诊为乳癌,为临床诊断提供参考。
病例介绍
一位来自亚洲的69岁失业妇女出现双侧乳房无痛肿块的症状。鉴于这些持续的症状,病人选择在我们医院接受进一步治疗。患者于2020年6月首次发现双侧乳腺肿块,无疼痛。2020年9月7日在另一家医院进行了乳房X光检查,显示两个乳房均有钙化灶(BI-RADS 3)。此外,在右乳上部有一个病灶,中间有不对称阴影(BI-rads4b)。乳腺超声提示乳腺肿块可能为乳腺恶性肿瘤。然而,病人拒绝了针刺活检。病人来我们医院做手术治疗。
病人有20年的2型糖尿病病史,接受长期胰岛素治疗,每天早上22 U Humalog 25R,晚上20 U Humalog 25R皮下注射,并口服voglibose片(0.2 mg),血糖控制不佳,至今未发现糖尿病并发症。无家族史。
体格检查显示乳房对称,无桔皮外观改变,无酒窝,双乳头无回缩或凸出。在右乳1点钟位置可触及一肿块(大小2cm× 2cm),无压痛,边界不清,形状不规则,活动性差,皮肤粘连(-)。在左乳12点和1点位置,肿块(约0.5 cm× 0.5cm和1.5cm× 2cm)边界不清,形态不规则,活动性差,皮肤粘连(-)。锁骨上、锁骨下及双侧腋下未见肿大淋巴结(图1)。

图1
血清糖化血红蛋白为8.3%,超过3.6%~6.0%的参考范围。血清胆固醇为8.53mmol/L,超过参考上限5.18mmol/L。血清甘油三酯为2.89mmol/L,也高于参考上限1.70mmol/L。其他血常规、凝血功能、肝功能、肿瘤标志物检测均正常。
乳腺超声表现为:(1)双侧乳房上外侧象限实性占位(BI-rads4c);(2)左乳12点位置的实性肿块(BI-RADS 4B)。双侧腋下及左锁骨上区淋巴结。右锁骨未见肿大淋巴结(图1)(图2)。乳腺增强磁共振成像(MRI)表现为:右乳上内象限不规则增强(BI-rads4c);左乳上外侧象限斑片状异常信号(BI-rads4b);两个乳房的纤维囊性改变(BI-RADS 2)(图3)。

图2

图3
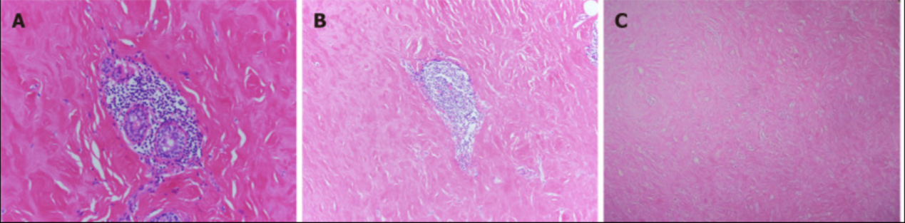
大体解剖显示右乳病变9cm× 8cm× 3cm大小,中间灰红色,1cm× 0.5cm× 0.5cm。剩余的乳腺组织呈灰白色,柔软。左乳病变4cm× 2.5cm× 2.2cm,灰白色,质地柔软。组织病理学结果显示小叶周围有密集的淋巴细胞浸润,周围基质广泛纤维化,上皮样肌成纤维细胞(图4)。诊断为糖尿病性乳腺病。

图4
围手术期降糖方案调整为:早上22 U Humalog 25R,晚上20 U Humalog 25R皮下注射,二甲双胍缓释片(0.5 g)早晚口服,Empagliflozin片(10 mg)早上口服。严密监测血糖,血糖控制良好。结合患者影像学检查及年龄,认为乳腺肿块为恶性。手术中,肿块及腺体周围组织被完全切除。肿块大小约3cm×3cm和2cm×2cm, 双侧乳腺腺体僵硬变性,边缘不清,无明显包膜,颜色灰白,质地坚硬。术中冰冻病理提示右乳硬化性腺病伴小病灶上皮增生,左乳腺病伴胶原纤维增生。右乳残腔周围的腺体皮瓣被用来重塑乳房。患者术后恢复良好,随访2个月无复发。
小结
糖尿病性乳腺病是临床上少见的良性疾病,其发病机制尚不清楚。临床表现为无痛、不规则、单侧或双侧乳腺肿块。糖尿病性乳腺病的诊断需要与乳腺癌、粘膜相关淋巴瘤和浸润性小叶癌相鉴别。有时手术和活检无法避免,给患者造成心理负担。
医博士编译自:Chen XX, Shao SJ & Wan H. Diabetic mastopathy in an elderly woman misdiagnosed as breast cancer: A case report and review of the literature. World Jurnal of Clinical Cases. 2021; 9(14):3458-3465.
声明: 所有注明“来源:医博士”的文字、图片和音视频资料,版权均属于医博士所有,转载须注明“来源:医博士”;所有转载文章系出于传递更多信息之目的,且明确注明来源和作者,不希望被转载的媒体或个人可与我们联系,我们将立即进行删除处理。