来源:医博士 | 2022-01-13 作者:李胜佳
肺癌仍然是全世界癌症相关死亡的主要原因。表皮生长因子受体(EGFR)-酪氨酸激酶抑制剂(TKI)已成为治疗携带EGFR激活突变的晚期非小细胞肺癌(NSCLC)患者的一线选择。但是,大多数患者在不到一年的时间内出现获得性耐药。最常见的获得性突变EGFR C797S发生在外显子20,在10-26%的病例中介导了对二线奥西替尼治疗的耐药。然而,迄今为止还没有针对这种突变的明确的治疗方案。
在这里,本病案报告一位难治性晚期非小细胞肺癌患者,出现EGFR 19Del-T790M-cis-C797S和HER2扩增,并接受了大量的预处理,经过阿法替尼和阿帕替尼的联合治疗后取得了超过10个月的无进展生存期。
病例介绍
一位69岁男性患者,无吸烟史,于2013年1月因背部和下肢疼痛就诊。患者的治疗史如图1所示。正电子发射断层扫描/计算机断层扫描(PET/CT)显示左肺病变伴纵隔淋巴结病和多发骨转移(图2A)。经支气管镜肺活检,确诊为肺腺癌Ⅳ期。

图1. 疾病管理过程图

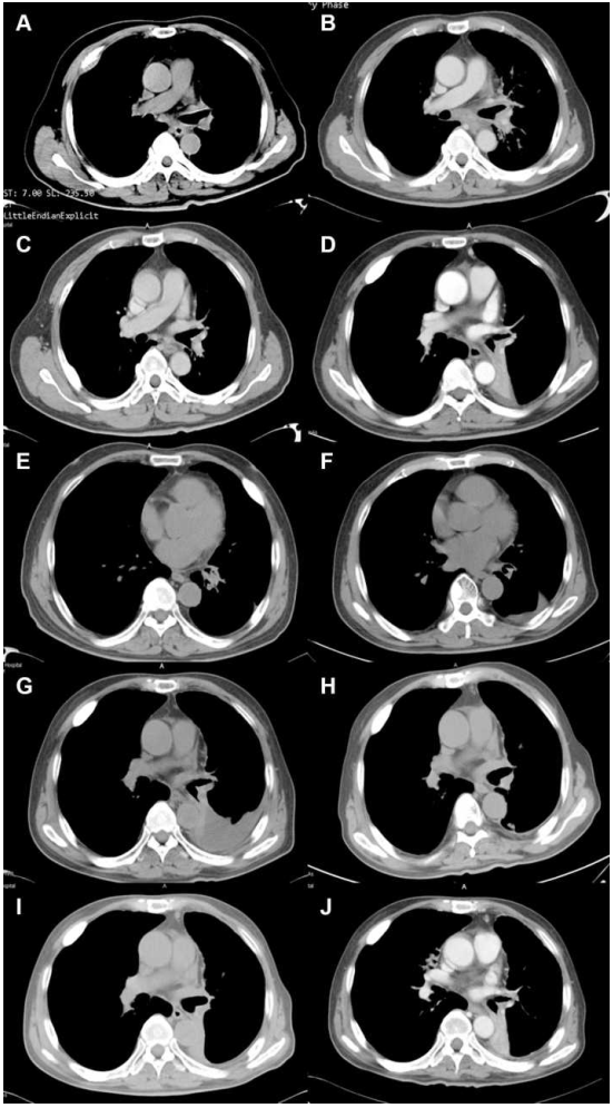
图2.(A)2013年1月诊断时的基线CT扫描。(B)2014年8月化疗后的PD。(C)2015年2月伊可替尼治疗后的PR。(D)2015年12月伊可替尼治疗后的PD。(E)2016年9月奥西莫替尼治疗后的PR。(F)2017年12月奥西莫替尼治疗后的PD。(G)2018年4月化疗后的PD。(H)2018年11月,阿法他尼和阿帕替尼联合治疗后的PR。(I)2019年2月,阿法他尼和阿帕替尼联合治疗后的PD。(J)2019年7月,白蛋白结合紫杉醇和托瑞帕利单抗治疗后的PR
患者最初接受培美曲塞和顺铂一线化疗,紫杉醇脂质体(紫杉醇的一种剂型,不同于nab紫杉醇)和卡铂二线化疗。患者总共获得了16个月的无进展生存期。2014年8月,患者出现进展性疾病(PD)(图2B)。患者在进展过程中没有任何组织或液体活检,对原发性肺组织进行了EGFR检测,结果显示EGFR外显子19缺失。
随后,患者在2014年10月接受了伊可替尼作为第三线治疗。伊可替尼是一种EGFR-TKI,已于2011年被国家医药管理局(NMPA)批准用于治疗EGFR突变型NSCLC。根据实体瘤1.1(RECIST 1.1)的疗效评价标准,伊可替尼获得部分疗效(PR),PFS为13.5个月(图2C,2D)。然后,患者转为吉西他滨和奈达铂的4个周期治疗,并实现了PFS 7.5个月。
2016年8月1日,疾病再次进展,基因检测显示EGFR T790M呈阳性。患者随后接受了奥西替尼治疗。1个月后,患者达到PR(图2E,2F),持续了16个月。进展后,患者改用长春瑞滨联合洛铂治疗,2.5个月后出现PD(图2G)。
随后,对患者的血浆和活检组织样本进行基于捕获的靶向测序,在血浆和组织样本中显示EGFR 19 del和EGFR T790M。此外,仅从血浆中检测到EGFR T790M-cis、EGFR C797S,而仅在组织样品中观察到拷贝数为3.5的HER2(ERBB2)扩增。2018年4月,患者接受阿法替尼联合阿帕替尼治疗,获得PR(图2H),PFS超过10个月。
2019年2月,患者出现左叶肿块增大的PD(图2I)。再次行纤维支气管镜活检及分子检测。结果显示在肿瘤组织中有EGFR 19del和T790M,无HER2扩增,在血浆中有EGFR 19del-T790M-cis-C797S。2019年4月1日,治疗方案改为白蛋白结合紫杉醇和PD1抑制剂托瑞帕利单抗4个周期。在治疗过程中,患者没有出现严重的不良反应。经过2.5个月的治疗,患者达到PR(图2J)。然而,由于经济困难,治疗被终止。患者于2019年9月去世,总生存期为80个月。
结论
本研究结果为阿法替尼联合阿帕替尼治疗EGFR C797S-T790M-19Del突变株和HER2扩增的NSCLC患者提供了初步的临床证据。在奥西替尼治疗失败后,通过NGS动态监测为靶向治疗和克服奥西莫替尼耐药,延长患者生存提供了重要的意义和可能的机会。
医博士编译自:Klaniewska M, Jedrzejowska M, Rydzanicz M, et al. Significant Benefits of Afatinib and Apatinib in a Refractory Advanced NSCLC Patient Resistant to Osimertinib: A Case Report. OncoTargets and Therapy. 2021; 14:3063-3067. doi:10.2147/OTT.S300556.
声明: 所有注明“来源:医博士”的文字、图片和音视频资料,版权均属于医博士所有,转载须注明“来源:医博士”;所有转载文章系出于传递更多信息之目的,且明确注明来源和作者,不希望被转载的媒体或个人可与我们联系,我们将立即进行删除处理。