来源:医博士 | 2022-01-28 作者:李胜佳
肛门闭锁是一种常见的先天性畸形,通常在产前超声检查时发现。肛门闭锁胎儿的预后取决于直肠末端的位置,分为低位、中位和高位,以及是否存在其他先天性复合体,如VACTERL联合或21三体。其中,中/高型有直肠尿道瘘,可导致胎粪和尿液在肠内混合,使胎儿肠道钙化。同时,胎儿肠道钙化提示可能存在直肠尿道瘘,并提示中/高位型肛门闭锁。
尽管近年来在新生儿管理方面取得了进展,但肺发育不全仍然是新生儿死亡的最重要原因。肺发育不全可由多种因素引起,然而,从来没有任何报告显示肛门闭锁和肺发育不全之间可能存在因果关系。在这里,本病案报告一例产前诊断为肛门闭锁的病例,由于进行性肠扩张和羊水过少导致肺发育不全,其中由于尿道梗阻,尿液从膀胱流向结肠。
病例介绍
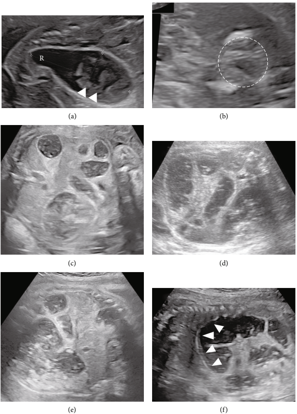
30岁孕妇,在怀孕19周时进行胎儿腹腔囊肿的产前评估。胎儿超声检查显示结肠扩张伴有肠钙化、直肠远端囊及肛门粘膜不可见,提示存在中/高位肛门闭锁伴直肠尿道瘘(图1 a-b)。未发现其他异常及胎儿生长受限。妊娠20周时的胎儿超声检查显示结肠扩张进展,羊水相对减少,但尚未出现羊水过少。即使告知父母胎儿可能预后不良,但父母仍不希望终止妊娠及羊膜穿刺术。从妊娠26周开始,胎儿超声检查显示肠道进一步扩张,导致胸部压迫,妊娠28周后羊水突然减少。尽管膀胱充满液体,但未见输尿管积水及肾积水,这意味着胎儿尿液流出阻塞的存在,而不是尿液产量的减少(图1 c-f)。

图1. 胎儿超声检查与胎儿肠道改变
进行超声检查以对胎儿健康状况进行评估,包括大脑中动脉、脐带动脉和静脉导管的多普勒速度测定,以及生物物理分析,结果均正常。在妊娠30周时进行磁共振成像以评估肺发育,提示可能存在肺发育不全(图2)。妊娠32周时,尽管胎儿膀胱已充盈,但羊水过少持续存在,没有任何胎膜早破、胎盘功能不全、输尿管积水及肾积水的迹象。再加上肠扩张使胎儿腹部膨胀,胎儿尿道狭窄/梗阻,被认为引发了尿液从膀胱通过瘘管流向结肠。由于羊水过少和肠道扩张的恶化导致胸部压迫,最终导致进行性肺发育不全,预测期待治疗会恶化胎儿的预后。因此,产前给予糖皮质激素治疗,并在妊娠32周零5天时剖腹产分娩男婴。

图2. 胎儿MRI。妊娠30周,胎儿T2加权磁共振成像显示小肠扩张、羊水过少和肺发育不全。箭头表示膈膜
新生儿出生体重2473 g,1分钟Apgar得分为5分, 5分钟Apgar得分为7分,脐动脉血pH值 7.30、pCO2 45.8、PO2 24.1、BE-3.9。新生儿体格检查证实肛门闭锁,腹部明显肿胀。由于严重呼吸衰竭伴持续性肺动脉高压,新生儿需要立即插管和高频振荡通气并吸入一氧化氮治疗(图3a)。对于肛门闭锁,在第一天进行膀胱造口术,腹部超声显示尿道内有结石样高回声物。出生后36天,膀胱尿道造影显示高位肛门闭锁伴直肠尿道瘘未闭,下尿路无梗阻,直肠尿道瘘远端尿道狭窄(图3b)。出生后核磁共振没有显示任何脑异常,包括脑室周围白质软化及脑室内出血。新生儿经后矢状位肛门成形术后出院,无呼吸系统并发症,出生后19个月恢复良好。

图3. 新生儿胸部X线和膀胱尿道造影
结论
本文报告首例高位孤立性肛门闭锁伴一过性尿道梗阻致肺发育不良的病例。尿道梗阻使得尿液从膀胱经直肠尿道瘘流至结肠,导致羊水过少,肠扩张进展,肺发育不全,需要终止妊娠以治疗,并在出生后给予呼吸支持。肛门闭锁的产前诊断很重要,因为新生儿的处理因肛门闭锁亚型和其他先天性异常如泌尿系统异常的存在而不同。
胎儿肛门闭锁伴尿道梗阻所引发的肺发育不全十分罕见。在处理肛门闭锁合并瘘管的胎儿时,仔细的产科处理是必不可少的,包括对胎儿肠扩张和羊水量进行仔细的随访,以评估可能发生的肺发育不全。
医博士编译自:Toshimitsu M, Iriyama T, Sayama S, et al. A Fetus with Imperforate Anus Developing Pulmonary Hypoplasia Triggered by Transient Urethral Obstruction. Case Reports in Obstetrics and Gynecology. 2021; 2021:9950578. doi:10.1155/2021/9950578
声明: 所有注明“来源:医博士”的文字、图片和音视频资料,版权均属于医博士所有,转载须注明“来源:医博士”;所有转载文章系出于传递更多信息之目的,且明确注明来源和作者,不希望被转载的媒体或个人可与我们联系,我们将立即进行删除处理。