来源:医博士 | 2022-02-15 作者:刘雅丽
硬化性肠系膜炎(SM),又称回缩性肠系膜炎,是一种罕见的疾病,其特征是肠系膜脂肪组织的慢性炎症。由于症状不明确,该病很难诊断。临床表现包括腹痛、发热、体重减轻、腹泻和呕吐。在体检中,可能的症状是腹部压痛、腹部包块和腹部肿胀。
由于该病的良性特征,通常不建议活检。影像学检查和临床表现足以确定诊断。在大多数病例中,硬化性肠系膜炎是一种自限性疾病,这就是为什么无症状病例得不到治疗的原因。对于出现症状的患者,治疗方案包括免疫抑制剂和手术。
据我们所知,这是第一个病例报告,提出了糖皮质激素治疗对硬化性肠系膜炎加重的糖尿病代谢控制的影响。
病例介绍
一位患有2型糖尿病和高血压的57岁男性住院,以获得更好的代谢控制。他还患有良性前列腺增生症、高脂血症,有35年的吸烟史。入院时体重为93公斤(BMI=26.6公斤/平方米)。他用二甲双胍治疗(3×1000 mg)及每日多次在正餐前注射人常规胰岛素和睡前注射NPH胰岛素(中效胰岛素)(胰岛素的总平均日剂量为51 IU SC)。自我监测后,他出现高血糖水平(16.65–26.6 mmol/l)和血压升高。他还报告多饮、多尿、体重减轻(3个月内减轻16公斤)。此外还表现为左腹部持续疼痛,在移动和触诊时疼痛加剧。体格检查显示腹部没有任何病理迹象。
血液检查显示高糖化血红蛋白水平(12%,108mmol/mol)和白细胞增多(13.57%×103/μl) 其他炎症标志物(C反应蛋白、血沉)无增加。腹部超音波显示左肾有小肾囊肿(图1)。

图1
作为初始治疗,连续静脉注射胰岛素。在住院的第三天,我们用每日多次注射胰岛素代替静脉胰岛素输注。尽管静脉注射胰岛素,血糖控制仍然不理想。由于这一事实和持续的腹痛,计算机断层扫描(CT)进行。CT显示肠系膜脂肪组织有不典型的增强区。双肾均可见肾囊肿;但是被排除在腹痛的原因之外。结肠镜和胃镜检查没有发现任何异常。
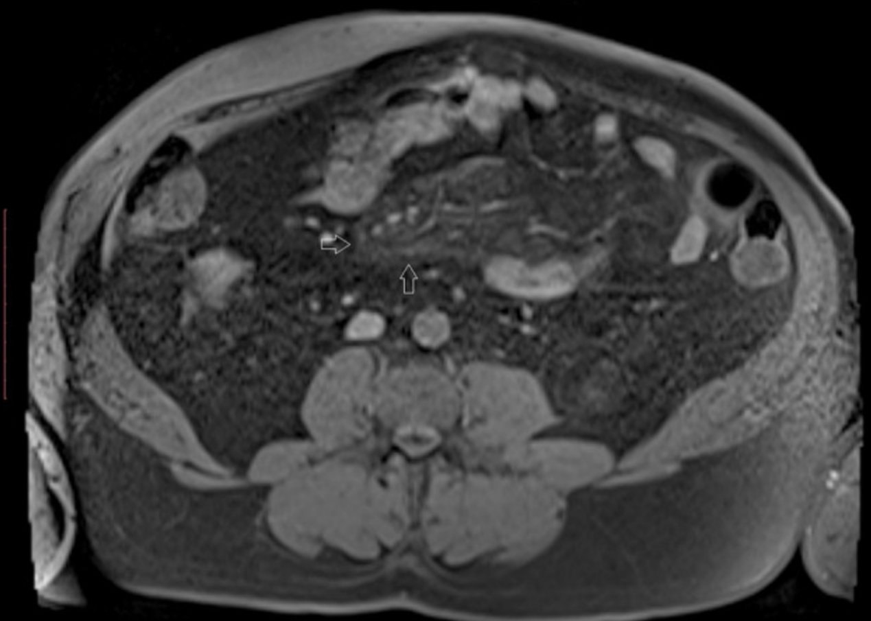
腹部增强磁共振成像(MRI)证实了肠系膜异常。硬化性肠系膜炎根据CT和MRI诊断。由于患者出现持续性腹痛,每天给予强的松40mg。该治疗减少了腹痛,改善了血糖控制,这表明胰岛素需求量较低(胰岛素的总平均日剂量为32 IU SC)。
在随访中,经过2个月的糖皮质激素治疗后,患者报告腹痛减轻,MRI显示肠系膜异常明显减少(图2)。糖化血红蛋白水平降至8.8%(73mmol/mol),逐渐降低泼尼松的日剂量至5毫克/天。一年后,核磁共振显示肠系膜病变进一步消退。平均血糖水平在5–8.33 mmol/L范围内,周期性平均水平约为10 mmol/L。

图2
小结
在糖尿病患者腹痛的鉴别诊断中应包括硬化性肠系膜炎。此外,当寻找糖尿病患者代谢失代偿的原因时,应该考虑这种疾病。在大多数情况下,使用糖皮质激素会导致血糖水平显著升高,但在硬化性肠系膜炎患者中,使用糖皮质激素治疗可能会导致更好的血糖控制。
医博士编译自:Mrozikiewicz-Rakowska B, Zygmunciak M, Głażewski T, et al. The Use of Glucocorticoids for Better Control of Diabetes Mellitus: The Paradox of Sclerosing Mesenteritis (The Rare Could Become Common). American Journal of Case Reports. 2021;22:e930453. doi:10.12659/AJCR.930453.
声明: 所有注明“来源:医博士”的文字、图片和音视频资料,版权均属于医博士所有,转载须注明“来源:医博士”;所有转载文章系出于传递更多信息之目的,且明确注明来源和作者,不希望被转载的媒体或个人可与我们联系,我们将立即进行删除处理。