来源:医博士 | 2022-02-23 作者:刘雅丽
上颌窦息肉 (ACP) 被认为是最常见的鼻孔息肉之一。它们占一般人群所有鼻息肉的约4-6%,占儿童年龄组鼻息肉的三分之一。ACP 患者的年龄通常在5-80岁之间,平均年龄为 40 岁。大约只有4%的患者年龄小于10岁。
病例介绍
9岁女孩因单侧鼻塞、打鼾和阻塞性睡眠呼吸暂停 (OSA) 主诉到耳鼻喉科门诊就诊。其症状在就诊前5个月开始出现,并逐渐恶化,白天嗜睡,注意力不集中,鼻内皮质类固醇药物治疗但症状无明显改善。
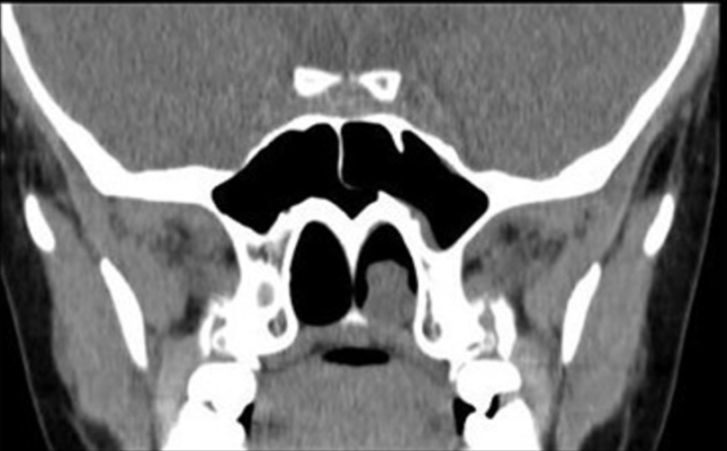
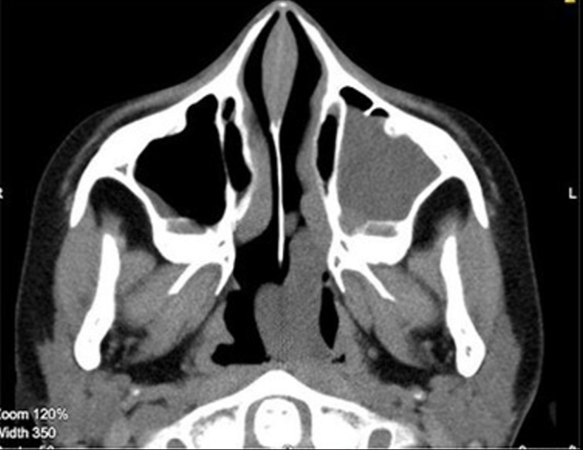
前鼻镜检查显示下鼻甲肥大,粘膜过敏,分泌物增多,未见新生物。鼻内无持续性脓性鼻漏。在咽喉检查中,见一个巨大的红色草莓状肿物在口咽部向后脱垂。对左鼻孔进行了鼻内窥镜检查 (FNE),显示从中鼻道延伸到后鼻孔的息肉和清晰的右气道。进行了计算机断层扫描 (CT) 扫描(图1和图2)显示从左中鼻道产生的软组织肿物,向后延伸并到达左侧后鼻孔(图 2)。

图1

图2
在接下来的一周内,进行了左侧鼻窦息肉的内窥镜切除术。在全身麻醉下,可以看到一充血肿物从左上颌窦延伸到后鼻孔(图3)。手术切除息肉并进行组织病理学检查(图 4),术后在医院观察4小时,无任何特殊不适。出院当天使用了鼻减充血剂、鼻内类固醇和镇痛药。术后1个月,患者复诊诉呼吸、睡眠质量和学习成绩均有显著改善。FNE显示左气道通畅,无复发。息肉的病理报告为炎症性,提示ACP。

图3

图4
讨论
鼻息肉是有蒂的良性肿块,继发于慢性水肿和鼻粘膜炎症。鼻息肉最常见的起源部位是筛窦,其通常多发且体积较小。另一方面,后鼻孔息肉的特征是孤立、单侧、较大且具有梨形外观。
ACP 起源于上颌窦,通过上颌口延伸到后鼻孔,最终可能脱垂到鼻咽。这些息肉通常由两部分组成——囊性部分和实性部分。囊性窦部通常位于上颌窦,实性部分来自副口或自然口,向中鼻道延伸并进入后鼻孔。
多年来,ACP 的病理生理学一直不清楚,有几种假设可以解释其发展。其中最重要的理论认为慢性炎症和过敏是其主要诱因。口内和中鼻道水平的相关炎症解剖改变导致上颌窦内压力梯度的变化,导致息肉突出到鼻腔 。
ACP 的临床表现因人群而异。最常见的症状是单侧鼻塞,可能会出现咽鼓管功能障碍的症状,随后出现耳胀满、听力损失和潜在的中耳积液。其他症状包括流鼻涕、脓性鼻涕、鼻漏回流以及呼吸急促。更严重的主诉包括鼻衄、鼻漏、OSA、吞咽困难和体重减轻。
鼻内镜检查和 CT 扫描放射学评估是诊断 ACP 的金标准。鼻内窥镜检查显示 ACP 为从中鼻道出现的平滑息肉状肿块,延伸至后鼻孔和鼻咽。CT 扫描的主要发现是软组织肿块,不会侵蚀相邻的骨结构。CT 扫描也用于 ACP 的分期分类。磁共振成像可用于辅助诊断并排除血管瘤性息肉。
诊断确认是通过息肉的组织病理学,证明假复层纤毛上皮可能含有水肿和血管基质。它还证明了可变炎症细胞的浸润。很少存在黏膜下腺体和上皮杯状细胞高度提示后鼻孔息肉。
ACP 的治疗主要是外科手术,功能性内窥镜鼻窦手术 (FESS) 是首选治疗方法,其恢复时间较短,风险最小,尤其是在儿童中 。其他手术方法包括 FESS 与经鼻窦镜检查、迷你 Caldwell-Luc、Caldwell-Luc 或简单息肉切除术。这些可以单独使用或组合使用。完全切除息肉对于降低复发风险至关重要。
医博士编译自:Bakheet M, Althawadi N, Albinali S, et al. Day case endoscopic excision of an antrochoanal polyp in a paediatric patient. Journal of Surgical Case Reports. 2021; 2021(6):rjab234. doi:10.1093/jscr/rjab234.
声明: 所有注明“来源:医博士”的文字、图片和音视频资料,版权均属于医博士所有,转载须注明“来源:医博士”;所有转载文章系出于传递更多信息之目的,且明确注明来源和作者,不希望被转载的媒体或个人可与我们联系,我们将立即进行删除处理。